Чудная пневмония.

Пол пациента: 
Тип патологии: 
Методы исследования: 

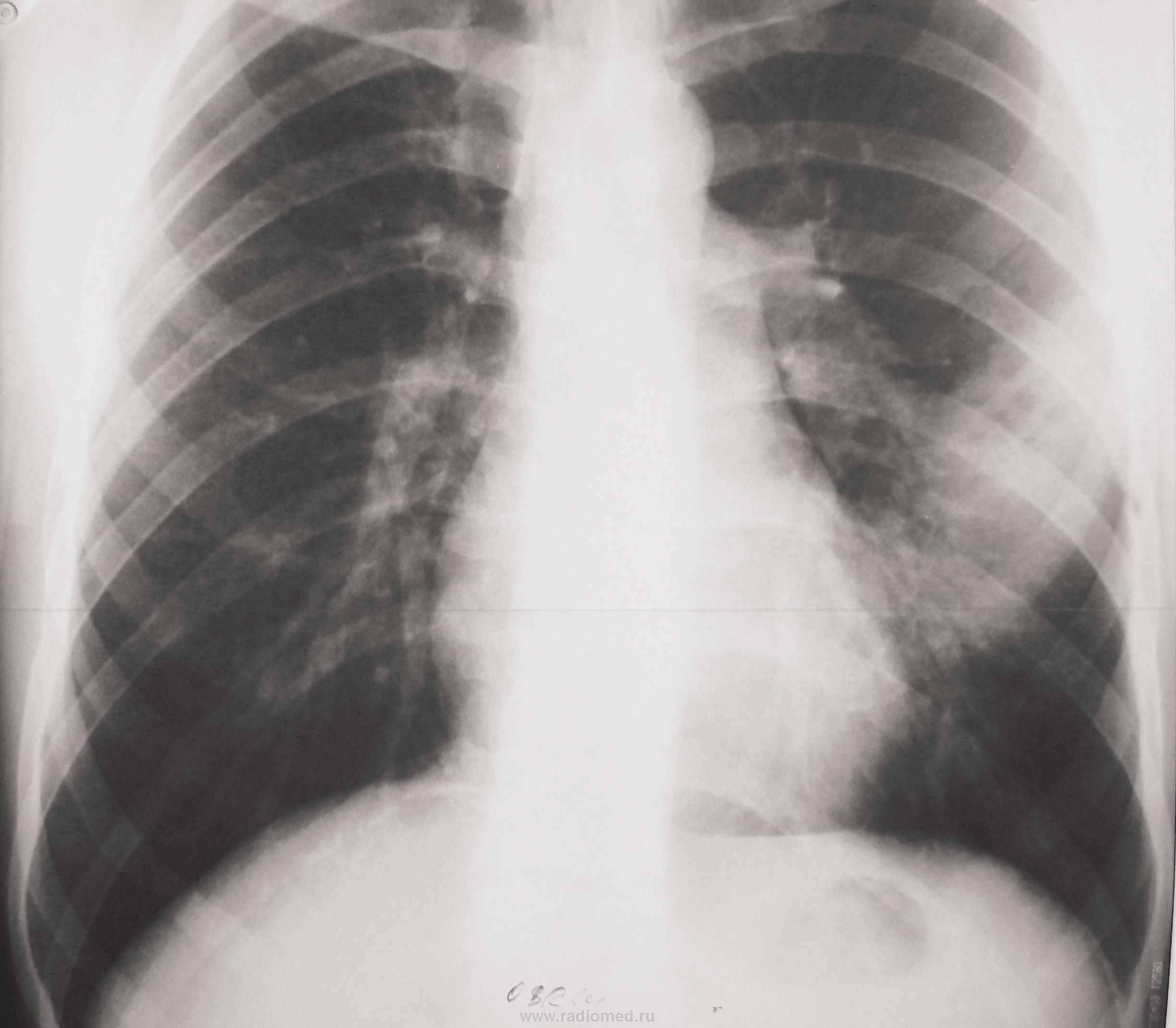
Молодой человек поступил в инфекционное отделени с тонзилитом. В день поступления флю - норма. Явления тонзилита прошли, но температура не снижалась. Сделали повторную флю и выставили пневмонию. Выставляю флюорограммы с интервалом в 1 неделю. Данные изменения держатся месяц без како-либо динамики. В анализах только повышенное СОЭ, колеблется от 20 до 38. В плане КТ. 

 

 

  • https://radiomed.ru/sites/default/files/styles/case_slider_image/public/user/12810/2.jpg?itok=sPR1BiLe
  • https://radiomed.ru/sites/default/files/styles/case_slider_image/public/user/12810/3.jpg?itok=Ske1Zwu-
  • https://radiomed.ru/sites/default/files/styles/case_slider_image/public/user/12810/4.jpg?itok=QJ3b1giD
  • https://radiomed.ru/sites/default/files/styles/case_slider_image/public/user/12810/img_0123.jpg?itok=uC9j-ij4
  • https://radiomed.ru/sites/default/files/styles/case_slider_image/public/user/12810/img_0124.jpg?itok=t315Pca0
  • https://radiomed.ru/sites/default/files/styles/case_slider_image/public/user/12810/img_0126.jpg?itok=TQV0lvON
  • https://radiomed.ru/sites/default/files/styles/case_slider_image/public/user/12810/img_0130.jpg?itok=kUMplgm2
  • https://radiomed.ru/sites/default/files/styles/case_slider_image/public/user/12810/img_0131.jpg?itok=7mYIm2T8
  • https://radiomed.ru/sites/default/files/styles/case_slider_image/public/user/12810/img_0129.jpg?itok=LRo9Dcsy
  • https://radiomed.ru/sites/default/files/styles/case_slider_image/public/user/12810/img_0132.jpg?itok=6tRwJIKo
ID:20516
Любовь С. аватар
Не на сайте
Был на сайте: 9 лет 5 месяцев назад
Зарегистрирован: 23.12.2010 - 01:58
Публикации: 2324

Возможно, формируется послевоспалительная псевдоопухоль. Что СОЭ через месяц после пневмонии держится - практически нормальное явление. Я бы рекомендовала ФЛГ-контроль еще через месяц, если на данный момент нет никакой клиники. А уж если там будут изменения, тогда КТ. ИМХО).

"Предоставляя весь смысл и совершенство в распоряжение одного только Бога, вы избавляете себя от бездны хлопот." Джон Уитборн.

Катенёв Валентин Львович аватар
Не на сайте
Был на сайте: 7 лет 2 недели назад
Зарегистрирован: 22.03.2008 - 22:15
Публикации: 54876

Порой перисциссурит тянется довольно долго, особенно тогда, когда он не лечится полноценно.

Чижевский Вадим Алексеевич аватар
Не на сайте
Был на сайте: 3 года 2 недели назад
Зарегистрирован: 12.11.2008 - 21:21
Публикации: 43

перисциссурит поддерживаю

Чижевский Вадим Алексеевич аватар
Не на сайте
Был на сайте: 3 года 2 недели назад
Зарегистрирован: 12.11.2008 - 21:21
Публикации: 43

+ осумкованный плеврит

Катенёв Валентин Львович аватар
Не на сайте
Был на сайте: 7 лет 2 недели назад
Зарегистрирован: 22.03.2008 - 22:15
Публикации: 54876

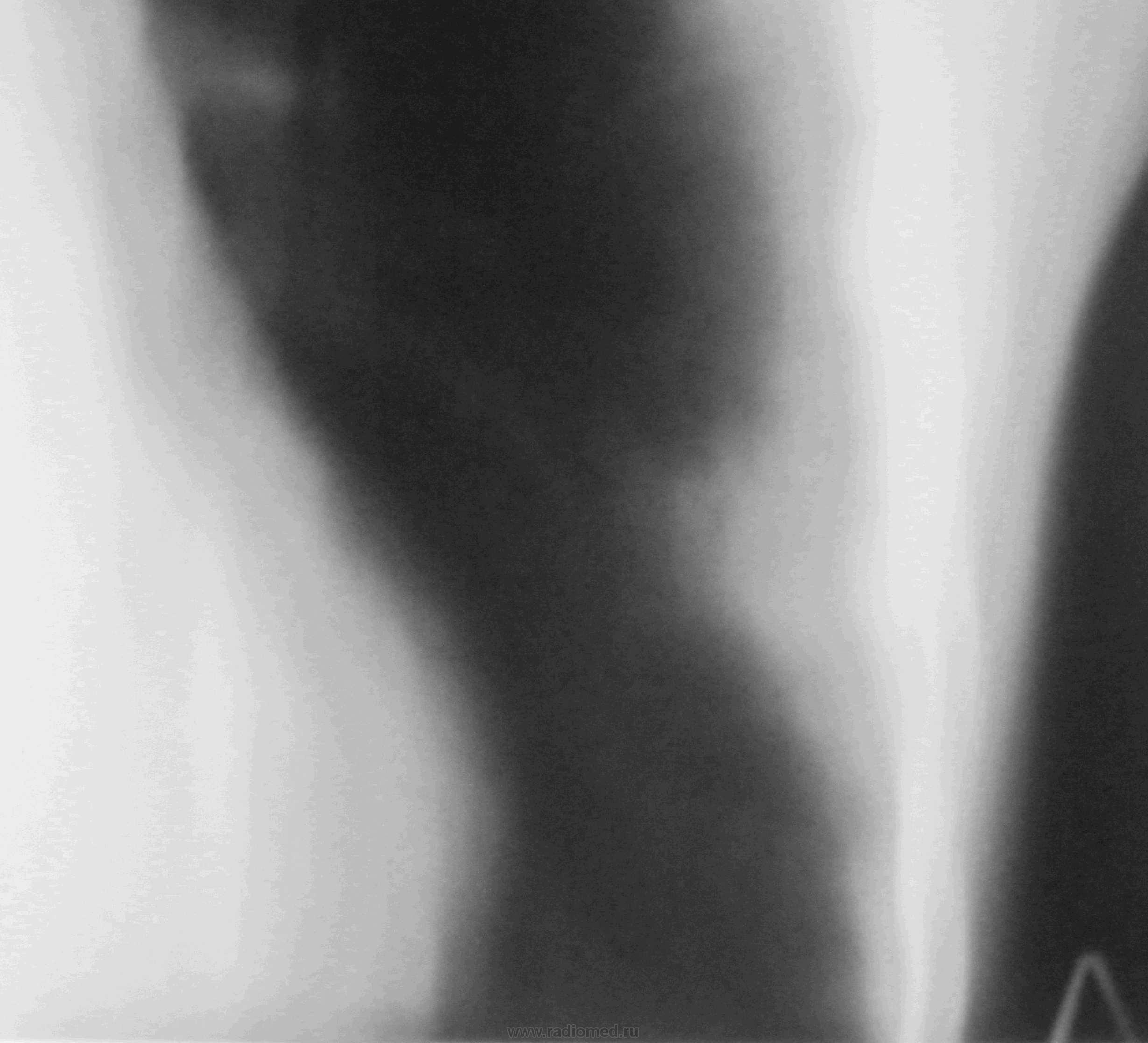
Интересно, какие мысли будут по поводу этой "блямбы"

 

Приложения: 
img_0132._boyamba.jpg
Nikolas аватар
Не на сайте
Был на сайте: 1 месяц 3 недели назад
Зарегистрирован: 21.12.2010 - 20:37
Публикации: 4559

молодому человеку? По критериям ВОЗ молодой это от 18 до 29 лет.

Nikolas аватар
Не на сайте
Был на сайте: 1 месяц 3 недели назад
Зарегистрирован: 21.12.2010 - 20:37
Публикации: 4559

снимки пометить датами или номерами. Сижу и гадаю. Давно  бы ответ дал, но запутался в снимках.

maker4ik аватар
Не на сайте
Был на сайте: 8 лет 7 месяцев назад
Зарегистрирован: 19.10.2011 - 17:49
Публикации: 2682

А насколько человек молодой? Тонзиллит лечится антибиотиками, и пневмония на их фоне была бы крайне странной...

И.Бондаренко аватар
Не на сайте
Был на сайте: 1 день 12 часов назад
Зарегистрирован: 13.09.2011 - 22:55
Публикации: 9206

Молодому человеку 20 лет. Снимки разместил по порядку с периодичностью в неделю. С момента поступления прошло полтора месяца. За это время, после инфекционного отделения, лечился в туберкулёзном, а после в пульмонологии (до настоящего времени).Последние рентгенограммы сделаны 2,04., а томограммы 4.04. По поводу кругляшки, особенно после туб.отд., думаю, что может выскочить и ТБЦ. Такое уже было, правда там был распад.

Nikolas аватар
Не на сайте
Был на сайте: 1 месяц 3 недели назад
Зарегистрирован: 21.12.2010 - 20:37
Публикации: 4559

от первых двух рентгенограмм (обз.+ бок) до 2, 4.04.2012 прошло 1,5 мес. Во- первых, Вы подразумеваете, что после короткого пребывания в ПТД у него развился внутригоспитальный туберкулез, что находит свое отражение в круглой тени. Во-вторых, раз пациент лечится у пульмонологов, туберкулез фтизиатры исключили.  Это так?

И.Бондаренко аватар
Не на сайте
Был на сайте: 1 день 12 часов назад
Зарегистрирован: 13.09.2011 - 22:55
Публикации: 9206

Фтизиатры своё исключили. Поэтому он и оказался в пульмонологии. Флюшка от 1 марта чистая.

Nikolas аватар
Не на сайте
Был на сайте: 1 месяц 3 недели назад
Зарегистрирован: 21.12.2010 - 20:37
Публикации: 4559

коллега.  В МБК (Х) диагноз туберкулеза подтверждается: выявлением  МБТ или обнаружением туберкулезной гранулёмы. Если Ваши фтизиатры не нашли этих признаков туберкулёза, значит его нет.  В таком случае, моя мысль о тбс отпадает. Nik

Сан Саныч1 аватар
Не на сайте
Был на сайте: 11 месяцев 2 недели назад
Зарегистрирован: 07.06.2010 - 21:17
Публикации: 2114

Nikolas wrote:

молодому человеку? По критериям ВОЗ молодой это от 18 до 29 лет.

По украинскому законодательству молодой - от 14-35 лет. По ВОЗ - до 45 лет.

Хочешь сделать что-то нормально - сделай это сам!

Nikolas аватар
Не на сайте
Был на сайте: 1 месяц 3 недели назад
Зарегистрирован: 21.12.2010 - 20:37
Публикации: 4559

в итоге?

cupitur аватар
Не на сайте
Был на сайте: 11 лет 10 месяцев назад
Зарегистрирован: 19.09.2011 - 10:42
Публикации: 262

ДА, очень интересно продолжение!

Петрович аватар
Не на сайте
Был на сайте: 7 лет 2 месяцев назад
Зарегистрирован: 22.03.2009 - 01:13
Публикации: 3908

Тонзиллит, какой этиологии привёл его в инфекционное отделение?

Неоднозначно всё

Сан Саныч1 аватар
Не на сайте
Был на сайте: 11 месяцев 2 недели назад
Зарегистрирован: 07.06.2010 - 21:17
Публикации: 2114

Какой интересный междолевой плеврит.

Хочешь сделать что-то нормально - сделай это сам!

Dr_Olya аватар
Не на сайте
Был на сайте: 12 лет 12 месяцев назад
Зарегистрирован: 27.04.2012 - 19:33
Публикации: 18

Левосторонняя S4-S5 пневмония, осложненная абсцедированием.По пятому по счету снимку явно на фоне инфильтрации видны зоны распада.А впоследствии и абсцесс сформировался-ТМГ тому подтверждение.Отдавайте торакалистам .

Nikolas аватар
Не на сайте
Был на сайте: 1 месяц 3 недели назад
Зарегистрирован: 21.12.2010 - 20:37
Публикации: 4559

Запомнилась надолго. Чем дело кончилось?