Cr Пенкоста

 

Мужчина, 42 года. Прошел флюорографию. Направлен на дообследование.

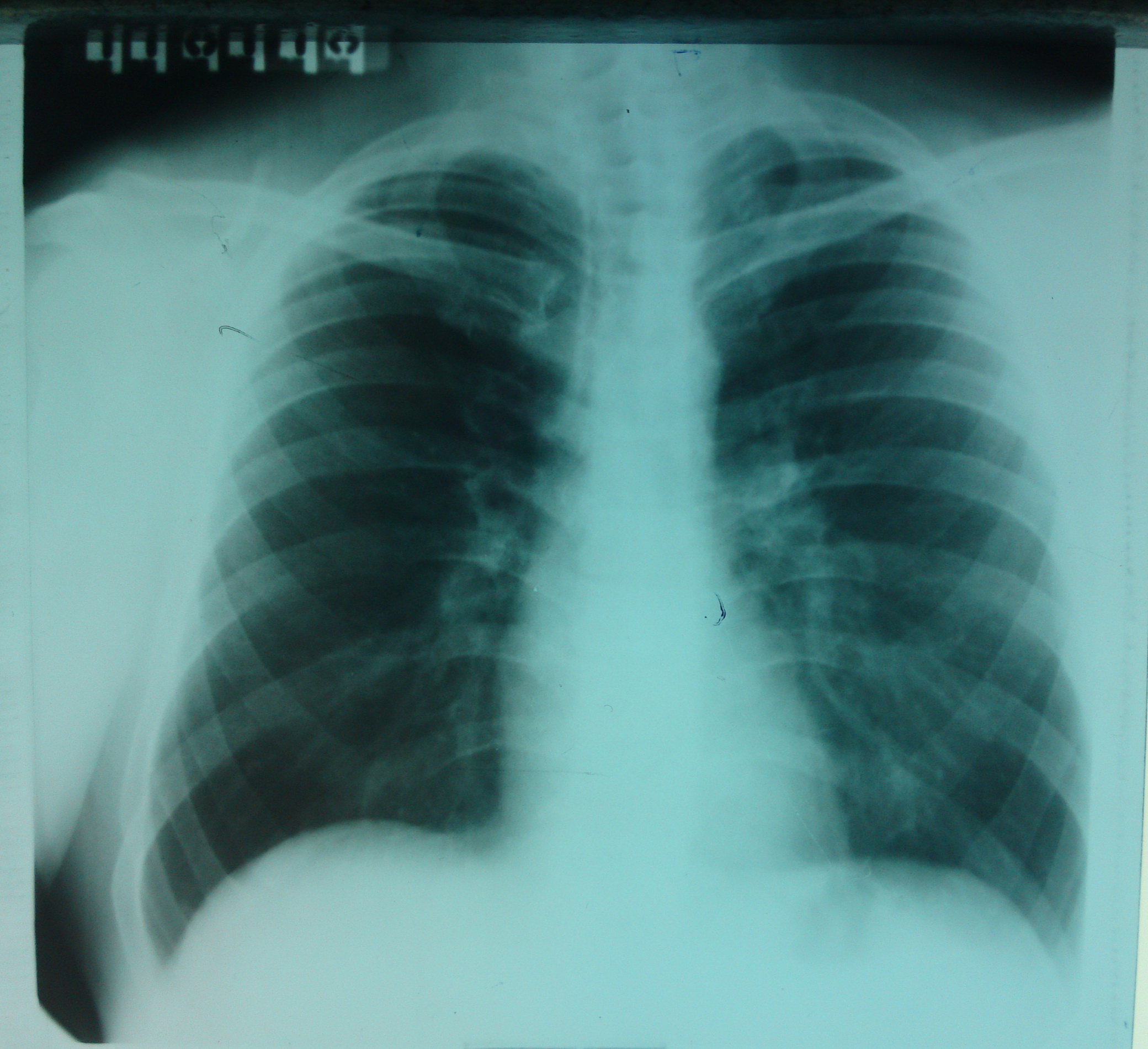
Предыдущая флюорография 11.01.10

Снимок после дообследования в прямой передней и левой боковой проекциях:

И томограммы:

При беседе больной отмечает боли в левом плечевом суставе с иррадиацией в левую руку. Симптомов триады Горнера не отмечено (из беседы с участковым терапевтом).

С диагнозом Cr верхней доли левого легкого. Cr Пенкоста. направлен в онкодиспансер. Диагноз верифицирован. Стадия IV. Получает ХТ. 

  • https://radiomed.ru/sites/default/files/styles/case_slider_image/public/user/11/29082011236.jpg?itok=LFXZbAHY
  • https://radiomed.ru/sites/default/files/styles/case_slider_image/public/user/11/29082011237.jpg?itok=vuO2Bp7L
  • https://radiomed.ru/sites/default/files/styles/case_slider_image/public/user/11/29082011235.jpg?itok=zoj2EZ84
  • https://radiomed.ru/sites/default/files/styles/case_slider_image/public/user/11/29082011234.jpg?itok=ZncXA9BG
  • https://radiomed.ru/sites/default/files/styles/case_slider_image/public/user/11/29082011233.jpg?itok=sAnvUqYo
ID:52253
Helios аватар
Не на сайте
Был на сайте: 1 год 1 месяц назад
Зарегистрирован: 06.08.2010 - 15:16
Публикации: 4417

Печально)))

stovbav аватар
Не на сайте
Был на сайте: 2 года 8 месяцев назад
Зарегистрирован: 20.12.2009 - 17:28
Публикации: 7066

Раз уж пошел об этом разговор...вот случай с прошлой недели...ситуация клинически очень схожая, боли в плече, лечился у терапевта и у специалиста нетрадиционной медицины...пришел на ФГ...

Правда есть и некоторые различия в картинке.

Диагноз в тот же день подтвержден на КТ.

Приложения: 
g1.jpgg2.jpgg3.jpgg4.jpgg5.jpgg6.jpg
Катенёв Валентин Львович аватар
Не на сайте
Был на сайте: 7 лет 6 месяцев назад
Зарегистрирован: 22.03.2008 - 22:15
Публикации: 54876

Вопрос в автору ветки.

А почему Вы решили, что в давнном случае Панкост?

Катенёв Валентин Львович аватар
Не на сайте
Был на сайте: 7 лет 6 месяцев назад
Зарегистрирован: 22.03.2008 - 22:15
Публикации: 54876

stovbav wrote:

Раз уж пошел об этом разговор...вот случай с прошлой недели...ситуация клинически очень схожая, боли в плече, лечился у терапевта и у специалиста нетрадиционной медицины...пришел на ФГ...

Правда есть и некоторые различия в картинке.

Диагноз в тот же день подтвержден на КТ.

Здравствуйте Виктор Григорьевич!

А, ту "розу" в правом корне, на уровне дуги аорты, Вы расценили как "мета"?

stovbav аватар
Не на сайте
Был на сайте: 2 года 8 месяцев назад
Зарегистрирован: 20.12.2009 - 17:28
Публикации: 7066

Катенёв Валентин Львович wrote:

....А, ту "розу" в правом корне, на уровне дуги аорты, Вы расценили как "мета"?

Здравствуйте, Валентин Львович!

Да, как "мета"...но там есть еще зона интереса и в базальном отделе справа...

Жаль, что после КТ он ко мне не вернулся...

Катенёв Валентин Львович аватар
Не на сайте
Был на сайте: 7 лет 6 месяцев назад
Зарегистрирован: 22.03.2008 - 22:15
Публикации: 54876

Да, КТ-ологи работают автономно - "пришел, увидел, написал", нам от этого стало только хуже, обратная связь оборвана...

Rg-Doc аватар
Не на сайте
Был на сайте: 9 лет 2 месяцев назад
Зарегистрирован: 22.03.2008 - 12:25
Публикации: 333

Катенёв Валентин Львович wrote:

Вопрос в автору ветки.

А почему Вы решили, что в давнном случае Панкост?

Я не решил. Я высказал предположение соответсвенно локализации и клинике болевого синдрома. А верификация диагноза в онкодиспансере.

Катенёв Валентин Львович аватар
Не на сайте
Был на сайте: 7 лет 6 месяцев назад
Зарегистрирован: 22.03.2008 - 22:15
Публикации: 54876

Вот флюшка.

Приложения: 
1.ff_.29082011238_0a.jpg2.ff_.29082011238_0av.jpg
Катенёв Валентин Львович аватар
Не на сайте
Был на сайте: 7 лет 6 месяцев назад
Зарегистрирован: 22.03.2008 - 22:15
Публикации: 54876

А, это чуть больше чем через год?

Приложения: 
1.29082011236.jpg2.29082011236p.jpg1.29082011236g.jpg2.29082011236ga.jpg3.29082011236gal.jpg1.29082011237.jpg2.29082011237a.jpg1.29082011233a.jpg2.29082011233b.jpg3.29082011233bv.jpg