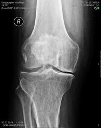
В принципе, можете про них вообще ничего не описывать. Суставная щель сужена, суставные поверхности раширены за счёт остеофитов, и всё )) отметьте обызвествления стенок сосудов. Гонартроз 2 ст.
В принципе, можете про них вообще ничего не описывать. Суставная щель сужена, суставные поверхности раширены за счёт остеофитов, и всё )) отметьте обызвествления стенок сосудов. Гонартроз 2 ст.
В принципе, можете про них вообще ничего не описывать. Суставная щель сужена, суставные поверхности раширены за счёт остеофитов, и всё )) отметьте обызвествления стенок сосудов. Гонартроз 2 ст.
Как бы IIIст. Выраженные краевые остеофиты.
При 3 ст. (по Косинской, конечно) суставная щель должна быть почти не видна..
2-я стрелка - это свободное суставное тело? А первая - обызвествление связки?
То что на суставной поверхности бедра (первая стрелка) - остеофит, вы их описываете фразой "суставные поверхности расширены за счёт остеофитов" или как вам больше нравится. По поводу второй стрелки мнения разошлись, но я бы ничего не писал про нее.
Слева направо 1 стрелка - остеофит суставной поверхности бедра, 2 стрелка - сесамовидная кость fabella, 3 - кожная складка.
В принципе, можете про них вообще ничего не описывать. Суставная щель сужена, суставные поверхности раширены за счёт остеофитов, и всё )) отметьте обызвествления стенок сосудов. Гонартроз 2 ст.
"Слушай всех, прислушивайся к немногим, решай сам".©
Всё-таки вторая стрелка не фабелла, остеофит или хондромное тело.
Окостенение связки, тендиноз
При 3 ст. (по Косинской, конечно) суставная щель должна быть почти не видна..
Андрей Юрьевич
кальцифицирующий склероз Менкеберга
Андрей Юрьевич
Надо запомнить и блеснуть перед коллегами
Блещите, не жалко.
Андрей Юрьевич
2-я стрелка - это свободное суставное тело? А первая - обызвествление связки?
То что на суставной поверхности бедра (первая стрелка) - остеофит, вы их описываете фразой "суставные поверхности расширены за счёт остеофитов" или как вам больше нравится. По поводу второй стрелки мнения разошлись, но я бы ничего не писал про нее.
Ну, полноценной суставной поверхностью это, все-таки, не назовешь, скорее краевой остеофит.
Андрей Юрьевич