Детские снимки 2

Пол пациента: 
Тип патологии: 
Методы исследования: 

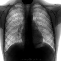
Опять "о. бронхит". 8-9лет, м."Хрипов нет", Т до 38. Жалобы на слабость и все. Тут уж рентгенолог не искл. пневмонию, " слева и справа? в н/доле?" А Ваше мнение?

  • https://radiomed.ru/sites/default/files/styles/case_slider_image/public/user/17212/4_10.jpg?itok=AKR-2Ac1
ID:36980
Сольвейг аватар
Не на сайте
Был на сайте: 3 года 8 месяцев назад
Зарегистрирован: 05.02.2013 - 20:25
Публикации: 2239

Тмг ч/корни тут не помешали бы.

NIL аватар
NIL
Не на сайте
Был на сайте: 1 неделя 2 дня назад
Зарегистрирован: 25.11.2013 - 20:50
Публикации: 18209

Миргалина wrote:
Тмг ч/корни тут не помешали бы.
Может, сначала ОРВИ полечим?


"Слушай всех, прислушивайся к немногим, решай сам".©

Сольвейг аватар
Не на сайте
Был на сайте: 3 года 8 месяцев назад
Зарегистрирован: 05.02.2013 - 20:25
Публикации: 2239

Разве тмг мешают лечению? Вы уверены, что здесь только ОРВИ?А, может не только ОРВИ? А Тмг-мы помогли бы в коррекции диагноза и лечения, если потребуется. А то будем потом "репу" чесать! Уже диф. ряд ,как минимум,из 3 составляющих выстраивается.И все 3 лечатся по-разному. ИМХО

maker4ik аватар
Не на сайте
Был на сайте: 8 лет 9 месяцев назад
Зарегистрирован: 19.10.2011 - 17:49
Публикации: 2682

Правый бок доснять, мне средние отделы совсем не нравятся.

NIL аватар
NIL
Не на сайте
Был на сайте: 1 неделя 2 дня назад
Зарегистрирован: 25.11.2013 - 20:50
Публикации: 18209

maker4ik wrote:

Правый бок доснять, мне средние отделы совсем не нравятся.

И мне тоже. Но до пневмонии как-то не дотягивает. Пока.


"Слушай всех, прислушивайся к немногим, решай сам".©

NIL аватар
NIL
Не на сайте
Был на сайте: 1 неделя 2 дня назад
Зарегистрирован: 25.11.2013 - 20:50
Публикации: 18209

Миргалина wrote:
Разве тмг мешают лечению? Вы уверены, что здесь только ОРВИ?А, может не только ОРВИ? А Тмг-мы помогли бы в коррекции диагноза и лечения, если потребуется. А то будем потом "репу" чесать! Уже диф. ряд ,как минимум,из 3 составляющих выстраивается.И все 3 лечатся по-разному. ИМХО
Миргалина, а своему ребёнку Вы бы сделали вот так сразу томограмму?. Я бы воздержалась.Учитывая гипертермию. А ещё анализов не знаем. 


"Слушай всех, прислушивайся к немногим, решай сам".©

Сольвейг аватар
Не на сайте
Был на сайте: 3 года 8 месяцев назад
Зарегистрирован: 05.02.2013 - 20:25
Публикации: 2239

Да, сделала бы и успокоилась. Вреда бы не было. Летаем же на самолетах с детьми, и-ничего( а там, говорят, доза несравненно выше, чем тмг-обследование).Но Вы правы насчет анализов.

atexta аватар
Не на сайте
Был на сайте: 3 года 3 недели назад
Зарегистрирован: 08.02.2014 - 18:41
Публикации: 4842

NIL wrote:

Миргалина wrote:
Тмг ч/корни тут не помешали бы.
Может, сначала ОРВИ полечим?

+ 1

Не нам судить…

Дмитрий Волегов аватар
Не на сайте
Был на сайте: 3 года 9 месяцев назад
Зарегистрирован: 22.05.2013 - 00:32
Публикации: 1148

Пневмония справа - на первом месте. Нужен правый бок.

С Уважением, Дмитрий.

алкс аватар
Не на сайте
Был на сайте: 10 лет 3 месяцев назад
Зарегистрирован: 24.10.2012 - 22:55
Публикации: 2915

Дмитрий Волегов wrote:

Пневмония справа - на первом месте. Нужен правый бок.

Контроль ч\з 7дней.

 

Приложения: 
6.jpg7.jpg
Сергей Кузьминов аватар
Не на сайте
Был на сайте: 1 год 3 месяцев назад
Зарегистрирован: 06.10.2012 - 15:51
Публикации: 11813

Миргалина дело говорит.В прикорневых зонах с обеих сторон напряжёнка.

NIL аватар
NIL
Не на сайте
Был на сайте: 1 неделя 2 дня назад
Зарегистрирован: 25.11.2013 - 20:50
Публикации: 18209

Соглашусь с Дмитрием, что справа в среднем поле была пневмония. Считаю, динамику положительной.А нормализация рентгеновской картины может и через месяц только наступить.Но можно и у фтизиатра проконсультировать, коль есть сомнения. Пусть свои пробы ставит.


"Слушай всех, прислушивайся к немногим, решай сам".©

Сольвейг аватар
Не на сайте
Был на сайте: 3 года 8 месяцев назад
Зарегистрирован: 05.02.2013 - 20:25
Публикации: 2239

Коллеги, дело в том, что инфильтрация в прикорневых зонах+температура+с-мы интоксикации=показания для проведения тмг-дообследование. И чего Вы так расшумелись? Вот уже и к фтизиатрам направляете, а там-те же тмг. В чем я не права?

NIL аватар
NIL
Не на сайте
Был на сайте: 1 неделя 2 дня назад
Зарегистрирован: 25.11.2013 - 20:50
Публикации: 18209

Ой, Миргалина, ну кто ж шумит. Обсуждение идёт вяло, на грани затухания. Народ устал. Все спать хотят..

Каждый исходит из своих реалий. Наш фтизиатр детей под томограф не суёт. Поставит Манту, понаблюдает в течение Н-ного времени. И , если всё в порядке, отпустит с миром.Но зато есть гарантия, что ребёнок будет наблюдаем до нормализации всех параметров.


"Слушай всех, прислушивайся к немногим, решай сам".©

Сольвейг аватар
Не на сайте
Был на сайте: 3 года 8 месяцев назад
Зарегистрирован: 05.02.2013 - 20:25
Публикации: 2239

Дак я ж не враг детей, даже-наоборот.А наш фтизиатр сует. Но гарантии тоже дает. Опять я поздно пришла, NIL. Сейчас вечер трудного дня (недели) -опять все затухать будет. Жаль, столько интересненького!