Динамика.

Пол пациента: 
Тип патологии: 
Область исследования: 
Методы исследования: 

Динамика.

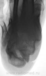
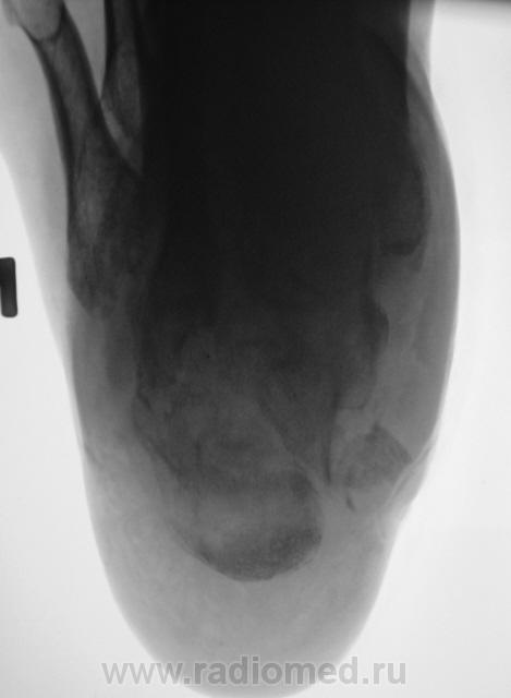
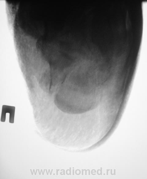
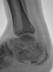
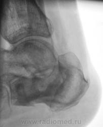
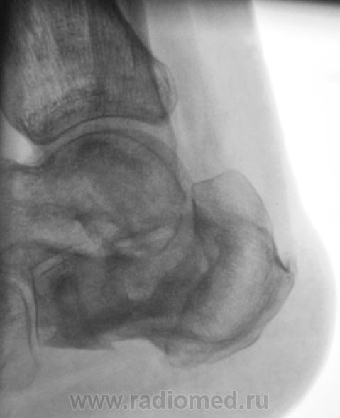
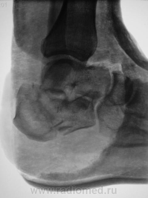
Лечение состояло из "множества рентгенов" и гипса. Срок - 5 месяцев.

Сейчас думают об остеомиелите.

  • https://radiomed.ru/sites/default/files/styles/case_slider_image/public/user/12/2.pb020023.jpg?itok=tzlclh5Q
  • https://radiomed.ru/sites/default/files/styles/case_slider_image/public/user/12/3.pb020024.jpg?itok=YGmQ6wU0
  • https://radiomed.ru/sites/default/files/styles/case_slider_image/public/user/12/4.pb020025.jpg?itok=KIh7Fttp
  • https://radiomed.ru/sites/default/files/styles/case_slider_image/public/user/12/5.pb020026.jpg?itok=jmvokqQd
  • https://radiomed.ru/sites/default/files/styles/case_slider_image/public/user/12/6.pb020027.jpg?itok=MuMIT8gj
  • https://radiomed.ru/sites/default/files/styles/case_slider_image/public/user/12/7.pb020028.jpg?itok=KGXv7lu5
  • https://radiomed.ru/sites/default/files/styles/case_slider_image/public/user/12/8..pb020029.jpg?itok=mLqQWThB
  • https://radiomed.ru/sites/default/files/styles/case_slider_image/public/user/12/9..pb020030.jpg?itok=XAYaSrEr
  • https://radiomed.ru/sites/default/files/styles/case_slider_image/public/user/12/10.pb020031.jpg?itok=-wE_2JCu
  • https://radiomed.ru/sites/default/files/styles/case_slider_image/public/user/12/11.pb020032.jpg?itok=0kv4Ggeh
  • https://radiomed.ru/sites/default/files/styles/case_slider_image/public/user/12/12.pb020033.jpg?itok=nE9XmQa6
  • https://radiomed.ru/sites/default/files/styles/case_slider_image/public/user/12/13.pb020034.jpg?itok=muZ5IwEt
  • https://radiomed.ru/sites/default/files/styles/case_slider_image/public/user/12/14.pb020035.jpg?itok=sy-Z7Es2
ID:8565
Helios аватар
Не на сайте
Был на сайте: 7 месяцев 2 недели назад
Зарегистрирован: 06.08.2010 - 15:16
Публикации: 4417

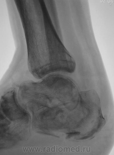
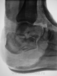
Контуры пяточной кости относительно четкие, разрежение структуры пяточного бугра, в проекции перелома уплотнение структуры кости( имею в виду последние снимки).Клиника остеомиелита есть?

Катенёв Валентин Львович аватар
Не на сайте
Был на сайте: 7 лет 2 недели назад
Зарегистрирован: 22.03.2008 - 22:15
Публикации: 54876

Клиники остеомиелита, с моей точки зрения, нет.

Helios аватар
Не на сайте
Был на сайте: 7 месяцев 2 недели назад
Зарегистрирован: 06.08.2010 - 15:16
Публикации: 4417

А что Вы в протоколе написали?Я тоже не вижу остеомиелита.

Андрей Юрьевич аватар
Не на сайте
Был на сайте: 5 дней 17 часов назад
Зарегистрирован: 16.11.2008 - 22:16
Публикации: 18098

Во-первых, деформация пяточной кости; во-вторых, отсутствие консолидации, через некоторое время и ложный сустав сформируется. Неоднородное уплотнение костной структуры в теле кости может быть обусловдено как остеомиелитом, так и перераспределением нагрузки.

Андрей Юрьевич

Сан Саныч1 аватар
Не на сайте
Был на сайте: 11 месяцев 2 недели назад
Зарегистрирован: 07.06.2010 - 21:17
Публикации: 2114

Признаков остеомиелита не вижу, только консолидир перелом с неуд стоянием отломков.

Хочешь сделать что-то нормально - сделай это сам!