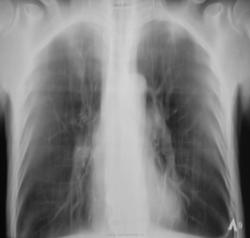
"Динамика"..., или "гнилой" случай...

Пол пациента: 
Тип патологии: 
Методы исследования: 

"Динамика"..., или "гнилой" случай...

Как всегда зацепили по "флюшке"..., и сами не рады, дообследовали.

Но, фтизиатр не "возбудился", решил понаблюдать, назначил контроль через 2 месяца.

И, ещё контроль через 6 месяцев.

И, еще через 6 месяцев.

И, еще через 6 месяцев.

И, еще через 6 месяцев.

"Флюшка" - от вчера.

Какие мнения будут уважаемые коллеги?

  • https://radiomed.ru/sites/default/files/styles/case_slider_image/public/user/12/2.p6140042.jpg?itok=EX5xCkYa
  • https://radiomed.ru/sites/default/files/styles/case_slider_image/public/user/12/3.p6140043.jpg?itok=shEVRU8g
  • https://radiomed.ru/sites/default/files/styles/case_slider_image/public/user/12/4.p6140044.jpg?itok=SWQUpa17
  • https://radiomed.ru/sites/default/files/styles/case_slider_image/public/user/12/1.p6140045.jpg?itok=3IN_RHzb
  • https://radiomed.ru/sites/default/files/styles/case_slider_image/public/user/12/2.p6140046.jpg?itok=qU2ALj4C
  • https://radiomed.ru/sites/default/files/styles/case_slider_image/public/user/12/3.p6140047.jpg?itok=6N-KYJS-
  • https://radiomed.ru/sites/default/files/styles/case_slider_image/public/user/12/4.p6140048.jpg?itok=6Lztg4-8
  • https://radiomed.ru/sites/default/files/styles/case_slider_image/public/user/12/1.p6140049.jpg?itok=27fRnAIo
  • https://radiomed.ru/sites/default/files/styles/case_slider_image/public/user/12/2.p6140050.jpg?itok=Hl3WAF18
  • https://radiomed.ru/sites/default/files/styles/case_slider_image/public/user/12/3.p6140051.jpg?itok=7DPHPP1e
  • https://radiomed.ru/sites/default/files/styles/case_slider_image/public/user/12/4.p6140052.jpg?itok=-aV0EmrA
  • https://radiomed.ru/sites/default/files/styles/case_slider_image/public/user/12/1.p6140039.jpg?itok=AO2EjFLW
  • https://radiomed.ru/sites/default/files/styles/case_slider_image/public/user/12/2.p6140039a.jpg?itok=sB0IDDf2
  • https://radiomed.ru/sites/default/files/styles/case_slider_image/public/user/12/3.p6140040.jpg?itok=D4gBZZ3V
  • https://radiomed.ru/sites/default/files/styles/case_slider_image/public/user/12/4.p6140040a.jpg?itok=aXe44p-y
ID:21716
И.Бондаренко аватар
Не на сайте
Был на сайте: 21 час 36 минут назад
Зарегистрирован: 13.09.2011 - 22:55
Публикации: 9213

"История похождения бравого туберкулёза"