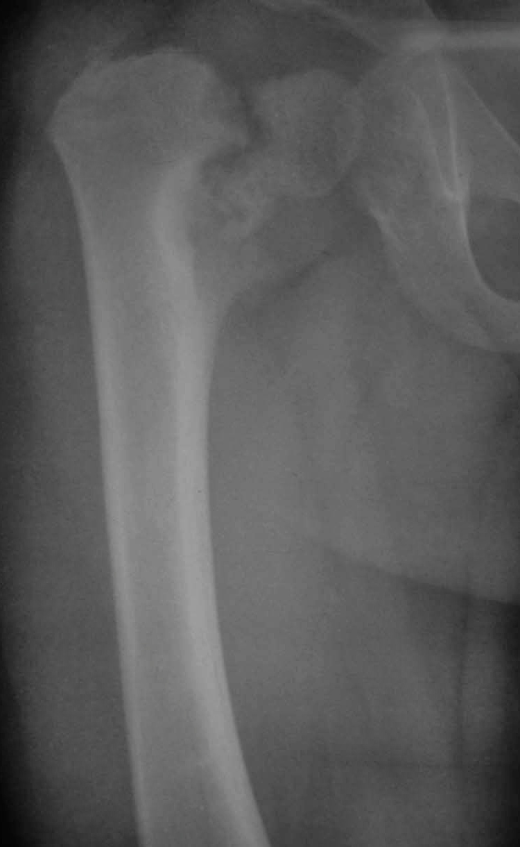
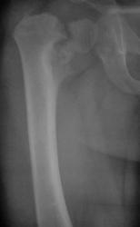
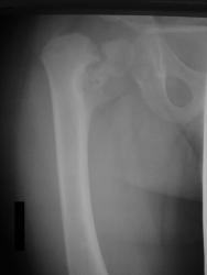
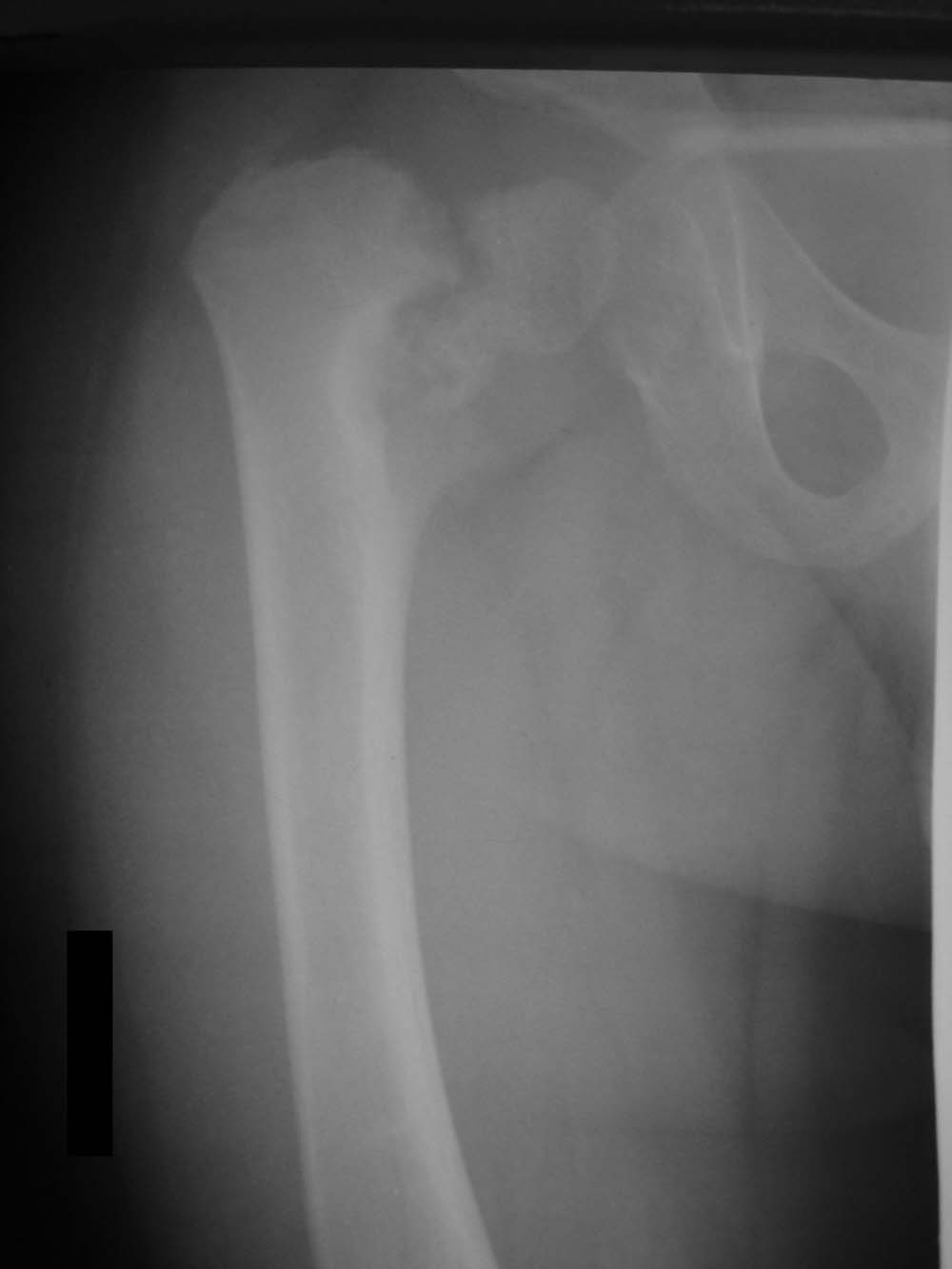
До конца непонятно, по каким причинам coxa vara включена в группу приобретенных дефектов развития, как «самостоятельное заболевание».
В представленном случае, по всей видимости, имеет место застарелый перелом со смещением отломков, в результате чего и произошло уменьшение шеечно-диафизарного угла.
В данном случае, по всей видимости, генез травматический, но возникает некоторое недоумение тот факт, что в понятие «детской дистрофической coxa vara» включены патологические состояния врожденного, травматического рахитического, эндокринного и т.д. генеза.
По всей видимости в данном случае имел место «не диагностированный перелом»?
Нет, травмы в данном случае не было. Имеет место дистрофическая coxa vara, вероятнее всего, врождённаяю. Эпифизеолиз головки, который мы видим на снимке, как мы считаем, наступил вследствие нарушений биомеханики в суставе - ШДУ практически 90 градусов. Добавлю, что факт травмы родители категорически отрицают. Ребёнок постепенно начал хромать, хромата усиливалась на протяжении 6 месяцев.
Спасибо Vega за интересный случай.
До конца непонятно, по каким причинам coxa vara включена в группу приобретенных дефектов развития, как «самостоятельное заболевание».
В представленном случае, по всей видимости, имеет место застарелый перелом со смещением отломков, в результате чего и произошло уменьшение шеечно-диафизарного угла.
В данном случае, по всей видимости, генез травматический, но возникает некоторое недоумение тот факт, что в понятие «детской дистрофической coxa vara» включены патологические состояния врожденного, травматического рахитического, эндокринного и т.д. генеза.
По всей видимости в данном случае имел место «не диагностированный перелом»?
Нет, травмы в данном случае не было. Имеет место дистрофическая coxa vara, вероятнее всего, врождённаяю. Эпифизеолиз головки, который мы видим на снимке, как мы считаем, наступил вследствие нарушений биомеханики в суставе - ШДУ практически 90 градусов. Добавлю, что факт травмы родители категорически отрицают. Ребёнок постепенно начал хромать, хромата усиливалась на протяжении 6 месяцев.
P.s. Сегодня этого ребёнка мы прооперировали.