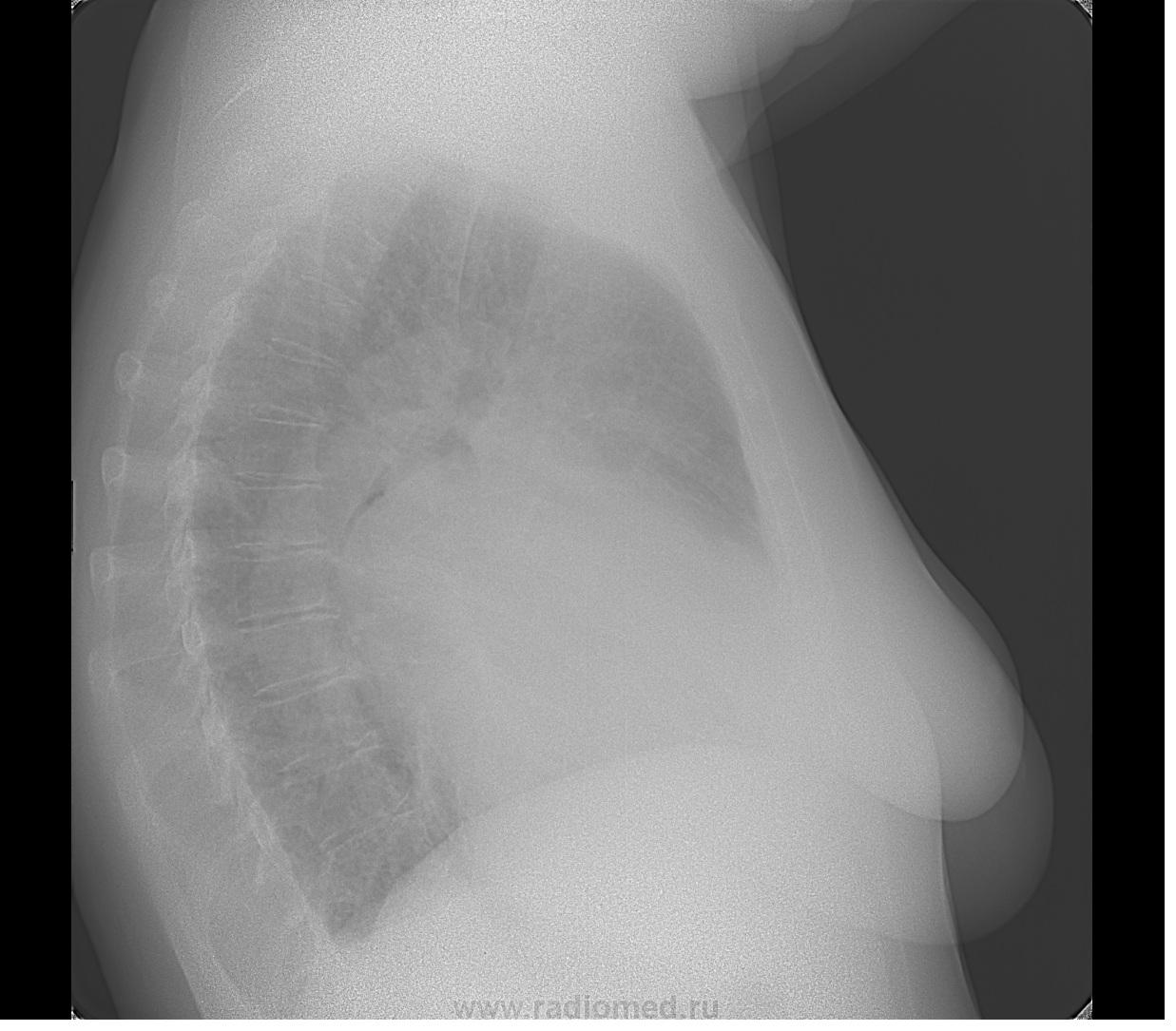
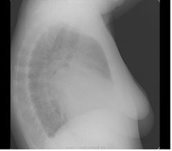
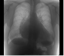
Пол пациента: Женский пол Тип патологии: Другое Область исследования: Средостение и сердце Методы исследования: Rg https://radiomed.ru/sites/default/files/styles/case_slider_image/public/user/5536/2_1.jpg?itok=5gIAUs0v https://radiomed.ru/sites/default/files/styles/case_slider_image/public/user/5536/3_1.jpg?itok=DAF4_PHJ ID:21733 Чт, 14/06/2012 - 22:44 #1 И.Бондаренко Не на сайте Был на сайте: 1 день 12 часов назад Зарегистрирован: 13.09.2011 - 22:55 Публикации: 9213 Отдайте функционалам. Это их хлеб. Чт, 14/06/2012 - 22:46 #2 Mitkampfer Не на сайте Был на сайте: 11 лет 6 месяцев назад Зарегистрирован: 27.07.2010 - 07:43 Публикации: 1454 уже) Не ограничивайте свою мысль Живешь пока учишьсяEcrasez l’infame
Отдайте функционалам. Это их хлеб.
уже)
Не ограничивайте свою мысль
Живешь пока учишься
Ecrasez l’infame