Пол пациента:
Тип патологии:
Область исследования:
Методы исследования:
- https://radiomed.ru/sites/default/files/styles/case_slider_image/public/user/1787/dsc00490.jpg?itok=XKUVWooq
- https://radiomed.ru/sites/default/files/styles/case_slider_image/public/user/1787/dsc00485.jpg?itok=FNDo0Eit
- https://radiomed.ru/sites/default/files/styles/case_slider_image/public/user/1787/dsc00486.jpg?itok=_NpLCXvp
- https://radiomed.ru/sites/default/files/styles/case_slider_image/public/user/1787/dsc00487.jpg?itok=1pw7PfP4
ID:8502
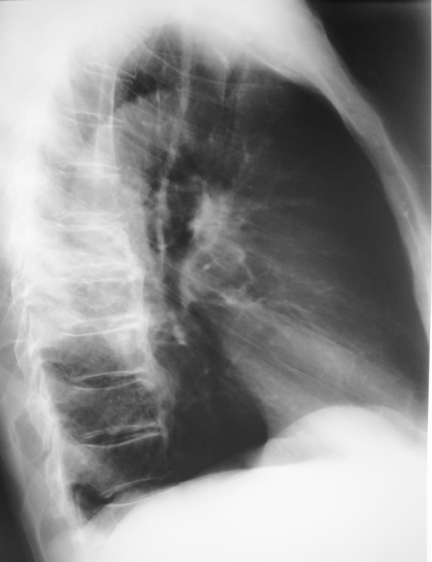
боковая
Виктор.
... боковая - явно не инвалида случая!..
--------------
"Просто, по видимости, не видеть логики в очевидных вещах - это тоже одно из свойств некоторых умов, наряду с грустными думами о свойствах ума других." © Vega 08/10/2011
Снимки выполнены на разных аппаратах разными людьми с интервалом 3-4 дня..
Виктор.
Да, боковая явно не инвалида 1939 года рождения.
Хочешь сделать что-то нормально - сделай это сам!
Зато, на "этой боковой" хорошо виден перелом грудины....
На мой взгляд, такой корень обязательно должен быть оттомографирован при адекватных режимах.
Виктор Владимирович!
Сегодня ни с одного браузера на сайт зайти не мог, зашел на "Опера". Только сейчас понял волнение уважаемой Гелиос по поводу "глаза"... На "Опера", Вы совсем другой...
перелома не вижу...
--------------
"Просто, по видимости, не видеть логики в очевидных вещах - это тоже одно из свойств некоторых умов, наряду с грустными думами о свойствах ума других." © Vega 08/10/2011
к своему, многому стыду вот боковая...
Виктор.
Ага, признал!
Вот и "корешок" отобразился - явно нехороший.
--------------
"Просто, по видимости, не видеть логики в очевидных вещах - это тоже одно из свойств некоторых умов, наряду с грустными думами о свойствах ума других." © Vega 08/10/2011
ага признал! конечно это только объяснение: много файлов в тот день загружал по ошибке нажал не на тот...
Виктор.