Драма на охоте или не рой другому яму.

Пол пациента: 
Тип патологии: 
Область исследования: 
Методы исследования: 

ИзображениеИзображениеИзображениеИзображениеИзображениеИзображениеИзображениеИзображение 

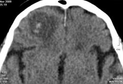
Мужчина, 70 лет. На охоте споткнулся о заячью ловушку, упал на сучок. В результате проникающий оскольчатый перелом крыши орбиты, контузионный очаг (черные стрелки) в лобной доле с небольшими кровоизлияниями (красные стрелки), пузырек воздуха (голубая стрелка).

 

Катенёв Валентин Львович аватар
Не на сайте
Был на сайте: 7 лет 2 недели назад
Зарегистрирован: 22.03.2008 - 22:15
Публикации: 54876

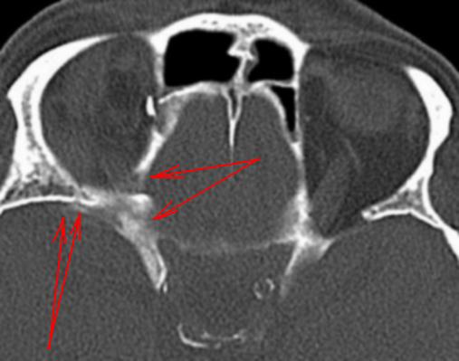
Желтые стрелки - это фрагменты костных отломков? Красная стрелка - это перелом или нет. А откуда появился фрагмент (он потолще всех) - зеленая стрелка.

Катенёв Валентин Львович аватар
Не на сайте
Был на сайте: 7 лет 2 недели назад
Зарегистрирован: 22.03.2008 - 22:15
Публикации: 54876

А это перелом или "естественное отверстие"?

 

Катенёв Валентин Львович аватар
Не на сайте
Был на сайте: 7 лет 2 недели назад
Зарегистрирован: 22.03.2008 - 22:15
Публикации: 54876

Помеченное красными стрелками можно также расценивать, как нарушение целостности костной ткани?

 

Nela аватар
Не на сайте
Был на сайте: 6 лет 3 недели назад
Зарегистрирован: 12.05.2009 - 20:43
Публикации: 1847

Желтые стрелки - это оскольчатый перелом, зеленая - костный отломок, сместившийся в орбиту. Там, где красные стрелки переломов нет. По нижней стенке орбиты инфраорбитальная борозда, переходящая в инфраорбитальное отверстие, открывающееся кпереди ниже нижнего края орбиты.

Катенёв Валентин Львович аватар
Не на сайте
Был на сайте: 7 лет 2 недели назад
Зарегистрирован: 22.03.2008 - 22:15
Публикации: 54876

Спасибо за разъяснения.