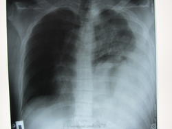
Пол пациента: Мужской пол Тип патологии: Травма Область исследования: Грудная клетка и верхние дыхательные пути Методы исследования: Rg Молодой человек попал в ДТП. В итоге разрыв диафрагмы слева, эвентрация кишечника в левую плевральную полость . https://radiomed.ru/sites/default/files/styles/case_slider_image/public/user/12810/img_0484.jpg?itok=XIFvARKg https://radiomed.ru/sites/default/files/styles/case_slider_image/public/user/12810/img_0487.jpg?itok=oc4Y7inH ID:27003 Втр, 12/03/2013 - 22:08 #1 Almo Не на сайте Был на сайте: 1 неделя 6 дней назад Зарегистрирован: 28.09.2008 - 18:50 Публикации: 8302 R-граммы №2 и№3 архивные? Втр, 12/03/2013 - 23:14 #2 И.Бондаренко Не на сайте Был на сайте: 14 часов 10 минут назад Зарегистрирован: 13.09.2011 - 22:55 Публикации: 9213 Almo wrote: R-граммы №2 и№3 архивные? Нет. После операции. Разница в один день. Втр, 12/03/2013 - 23:16 #3 алкс Не на сайте Был на сайте: 10 лет 5 месяцев назад Зарегистрирован: 24.10.2012 - 22:55 Публикации: 2915 2 и 3 последние. Это классные хирурги на последних снимках. Страшное дело, можно было и ушиб написать по экстренке. А позвоночник ничего? Ср, 13/03/2013 - 08:42 #4 UZY Не на сайте Был на сайте: 7 лет 10 месяцев назад Зарегистрирован: 18.10.2011 - 17:04 Публикации: 54 Молодцы хирурги! Чт, 14/03/2013 - 20:35 #5 И.Бондаренко Не на сайте Был на сайте: 14 часов 10 минут назад Зарегистрирован: 13.09.2011 - 22:55 Публикации: 9213 алкс wrote: 2 и 3 последние. Это классные хирурги на последних снимках. Страшное дело, можно было и ушиб написать по экстренке. А позвоночник ничего? Позвоночник цел. Перелом дистального метафиза правой бедренной кости.
R-граммы №2 и№3 архивные?
Нет. После операции. Разница в один день.
2 и 3 последние. Это классные хирурги на последних снимках. Страшное дело, можно было и ушиб написать по экстренке. А позвоночник ничего?
Молодцы хирурги!
Позвоночник цел. Перелом дистального метафиза правой бедренной кости.