ДТП. Травма грудной клетки.

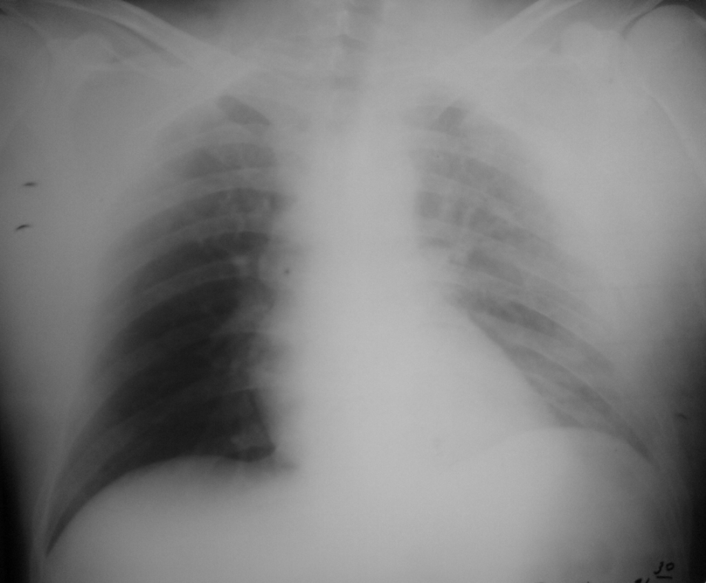
Вчера поступил мужчина 33 лет, был за рулем. Боли слева. Прошу прощения за каКчество снимков, первый в операционной, второй в отделении на месте через 5 часов, оба лежа. В операционной плевральная пункция, эвакуировано 500 мл воздуха и около 100 мл крови, поставлен дренаж по Бюлау. За прошедшие сутки по дренажу ничего, слева не выслушивается дыхание в нижних отделах + тупой перкуторный звук. 

 

____________________________________

КТ сегодня:

  • https://radiomed.ru/sites/default/files/styles/case_slider_image/public/user/2841/sdc10013.21.30.jpg?itok=7ETNLKpX
  • https://radiomed.ru/sites/default/files/styles/case_slider_image/public/user/2841/33g_m_25.030005.jpg?itok=lAAvpGZr
  • https://radiomed.ru/sites/default/files/styles/case_slider_image/public/user/2841/33g_m_25.030006.jpg?itok=tQmyI8Sn
  • https://radiomed.ru/sites/default/files/styles/case_slider_image/public/user/2841/33g_m_25.030007.jpg?itok=rmx3f_j6
  • https://radiomed.ru/sites/default/files/styles/case_slider_image/public/user/2841/33g_m_25.030008.jpg?itok=DdSglD1T
  • https://radiomed.ru/sites/default/files/styles/case_slider_image/public/user/2841/33g_m_25.030010.jpg?itok=L8cu49fs
  • https://radiomed.ru/sites/default/files/styles/case_slider_image/public/user/2841/33g_m_25.030011.jpg?itok=wCQljuk7
  • https://radiomed.ru/sites/default/files/styles/case_slider_image/public/user/2841/33g_m_25.030012.jpg?itok=yv7xMRBh
  • https://radiomed.ru/sites/default/files/styles/case_slider_image/public/user/2841/33g_m_25.030013.jpg?itok=2k-F5NCm
  • https://radiomed.ru/sites/default/files/styles/case_slider_image/public/user/2841/33g_m_25.030014.jpg?itok=4mupKl0c
  • https://radiomed.ru/sites/default/files/styles/case_slider_image/public/user/2841/33g_m_25.030015.jpg?itok=TjOW29td
  • https://radiomed.ru/sites/default/files/styles/case_slider_image/public/user/2841/33g_m_25.030001.jpg?itok=PnBD5GhW
  • https://radiomed.ru/sites/default/files/styles/case_slider_image/public/user/2841/33g_m_25.030002.jpg?itok=XUCEwmjz
  • https://radiomed.ru/sites/default/files/styles/case_slider_image/public/user/2841/33g_m_25.030003.jpg?itok=sLD7N_Yx
  • https://radiomed.ru/sites/default/files/styles/case_slider_image/public/user/2841/33g_m_25.030004.jpg?itok=QkU8hCRM
  • https://radiomed.ru/sites/default/files/styles/case_slider_image/public/user/2841/33g_m_25.030009.jpg?itok=YE_DQS8Y
  • https://radiomed.ru/sites/default/files/styles/case_slider_image/public/user/2841/33g_m_25.030016.jpg?itok=GgN9Phww
  • https://radiomed.ru/sites/default/files/styles/case_slider_image/public/user/2841/33g_m_25.030017.jpg?itok=HpWUEgPH
  • https://radiomed.ru/sites/default/files/styles/case_slider_image/public/user/2841/33g_m_25.030018.jpg?itok=kSptkzCX
ID:54879
Vikkur аватар
Не на сайте
Был на сайте: 4 года 7 месяцев назад
Зарегистрирован: 24.09.2009 - 14:34
Публикации: 1749

.... снимок после суток бы глянуть... возможно кровотечение продолжается... а на котором через 5 часов...похоже остался пневмроторакс....

Виктор.

Евгений1313 аватар
Не на сайте
Был на сайте: 13 лет 5 дней назад
Зарегистрирован: 15.10.2010 - 19:13
Публикации: 808

Всё ясно и понятно:переломы ребер слева,гемоторакс в условиях  растекания. Мне кажется что и лопатка слева того...

арнольд аватар
Не на сайте
Был на сайте: 1 год 11 месяцев назад
Зарегистрирован: 22.12.2008 - 16:50
Публикации: 196

Вижу переломы 3-4-5 ребер слева по ППЛ. Снижение прозрачности легочного поля при отсутствии гемо-, пневмо-   -  ушиб легкого (геморрагическое пропитывание легочной ткани) На втором снимке прямоугольное расширение тени средостения - медиастенит.

Dat.Dicat.Dedicat.

ЛГ аватар
Не на сайте
Был на сайте: 8 лет 10 месяцев назад
Зарегистрирован: 06.01.2010 - 12:31
Публикации: 3523

Я описала по снимкам перелом четырех ребер слева, гидропневмоторакс. На контроле мне показалось, что легкое расправлено.

КТ. Лопатки целые.

ЛГ аватар
Не на сайте
Был на сайте: 8 лет 10 месяцев назад
Зарегистрирован: 06.01.2010 - 12:31
Публикации: 3523

Цель направления на КТ: уточнение травматических повреждений и что не так с дренажной трубкой.

Vikkur аватар
Не на сайте
Был на сайте: 4 года 7 месяцев назад
Зарегистрирован: 24.09.2009 - 14:34
Публикации: 1749

а вот кт не дождалси...  но вроде бы имбибиция ткани легкого и подкожная и межмышечная эмфизема осталась...

Виктор.

Vikkur аватар
Не на сайте
Был на сайте: 4 года 7 месяцев назад
Зарегистрирован: 24.09.2009 - 14:34
Публикации: 1749

а дренаж чевой то не вижу..

Виктор.

ЛГ аватар
Не на сайте
Был на сайте: 8 лет 10 месяцев назад
Зарегистрирован: 06.01.2010 - 12:31
Публикации: 3523

С дренажом разбиралась долго)): полоска в левом легком на последних 3-х картинках, от 6-го межреберья по средней подмышечной линии до переднего средостения.

Vikkur аватар
Не на сайте
Был на сайте: 4 года 7 месяцев назад
Зарегистрирован: 24.09.2009 - 14:34
Публикации: 1749

тогда понятно почему нет эвакуации..

Виктор.

stovbav аватар
Не на сайте
Был на сайте: 2 года 2 месяцев назад
Зарегистрирован: 20.12.2009 - 17:28
Публикации: 7066

А что с рукояткой грудины?...как по мне - там перелом в нижнем ее отделе....

ЛГ аватар
Не на сайте
Был на сайте: 8 лет 10 месяцев назад
Зарегистрирован: 06.01.2010 - 12:31
Публикации: 3523

Перелом рукоятки есть, небольшая гематома ретростернально и кпереди от места перелома (антестернально - непривычное слово)))

ЛГ аватар
Не на сайте
Был на сайте: 8 лет 10 месяцев назад
Зарегистрирован: 06.01.2010 - 12:31
Публикации: 3523

Грудина, ребра слева со 2-го по 7-е, альвеолярное кровоизлияние - ушиб верхней доли левого легкого, свободный гемоторакс (около 1200 мл), передний малый осумкованный пневмоторакс - два даже (по типу оставшейся полости?), подкожная и межмышечная эмфизема. Единственное, что вызвало недоумение - как конец дренажной трубки оказался у переднего средостения. Не через лёгкое же его ввели... Наверное (моя фантазия), при пункции добавили воздуха, а при удалении воздуха легкое почти полностью расправилось, вот дренаж и "зажало" под междолевой плеврой. Бред?)) Карррроче, он не функционирует, не в жидкости, не в воздухе.

Приложения: 
33g_m_25.0300060.jpg33g_m_25.0300140.jpg33g_m_25.0300020.jpg33g_m_25.0300030.jpg33g_m_25.0300170.jpg
Андрей Юрьевич аватар
Не на сайте
Был на сайте: 2 дня 23 часа назад
Зарегистрирован: 16.11.2008 - 22:16
Публикации: 18098

Людмила Григорьевна wrote:
... Карррроче, он не функционирует....

Не беда, переустановят.

Андрей Юрьевич

ЛГ аватар
Не на сайте
Был на сайте: 8 лет 10 месяцев назад
Зарегистрирован: 06.01.2010 - 12:31
Публикации: 3523

Подтянули, за сутки 600 мл кровянистого содержимого.

гана аватар
Не на сайте
Был на сайте: 4 года 3 недели назад
Зарегистрирован: 12.01.2011 - 09:43
Публикации: 84

а как вы смотритете на перелом 11грудного позвонка (на 17 снимке)

ЛГ аватар
Не на сайте
Был на сайте: 8 лет 10 месяцев назад
Зарегистрирован: 06.01.2010 - 12:31
Публикации: 3523

В позвонках смотрела, перелома не нашла. Там "хороший" остеохондроз для 33-х лет. Да и жалоб со стороны позвоночника нет.

Vikkur аватар
Не на сайте
Был на сайте: 4 года 7 месяцев назад
Зарегистрирован: 24.09.2009 - 14:34
Публикации: 1749

Людмила Григорьевна wrote:

Подтянули, за сутки 600 мл кровянистого содержимого.

 для этого КТологи и нужны  ))))

Виктор.