2 случай - наблюдал такую картину множественных метастазов рака молочной железы у молодой женщины. А 1 случай рискну предположить капиллярный тип застоя, мелкоочаговый гемосидероз.
Здравствуйте, Валентин Львович и участники обсуждения. Интересные наблюдения, подпишусь!
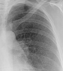
Редко приходится смотреть обычные рентгенограммы, но рискну предположить, что в первом случае ретикулярные изменения, а во втором - нодулярные.
По первой пусть будет альвеоларный протеиноз или какая-нибудь лимфогенная диссеминация, по второй - по типу центрилобулярных очагов, хаотично расположенных - гиперчувствительный пневмонит, тубер, ранние стадии гистиоцитоза, мтс тоже, но в меньшей степени.
Наблюдения, конечно интересные. Представлен синдром, так называемой "диссеминации", и это правильно. При употреблении термина "диссеминация", мы однозначно, подразумеваем "очаговую диссеминацию", т.е. наличие скиалогии, основным компонентом, которой является очаг. А эти иллюстрации зародили в душе моей сомнения, если в первом случае "очаговая компонента" не вызывает сомнений - мелкоочаговые тени, то во втором случае, явно не очаг, а как Вы правильно заметили "нодулюс", следовательно, термин "нодулярная диссеминация", имеет право на жизнь?
Отчего же такие фрагменты маленькие? Локализация очагов и состояние корней, а также сердца и всего средостения тоже дают важные для понимания симптомы.
наверное нельзя исключить пневмокониоз и метастазы?
Профанамнеза нет.
2 случай - наблюдал такую картину множественных метастазов рака молочной железы у молодой женщины. А 1 случай рискну предположить капиллярный тип застоя, мелкоочаговый гемосидероз.
Здравствуйте, Валентин Львович и участники обсуждения. Интересные наблюдения, подпишусь!
Редко приходится смотреть обычные рентгенограммы, но рискну предположить, что в первом случае ретикулярные изменения, а во втором - нодулярные.
По первой пусть будет альвеоларный протеиноз или какая-нибудь лимфогенная диссеминация, по второй - по типу центрилобулярных очагов, хаотично расположенных - гиперчувствительный пневмонит, тубер, ранние стадии гистиоцитоза, мтс тоже, но в меньшей степени.
С уважением, С.Н. Нагорный
Здравствуйте Сергей Николаевич!
Наблюдения, конечно интересные. Представлен синдром, так называемой "диссеминации", и это правильно. При употреблении термина "диссеминация", мы однозначно, подразумеваем "очаговую диссеминацию", т.е. наличие скиалогии, основным компонентом, которой является очаг. А эти иллюстрации зародили в душе моей сомнения, если в первом случае "очаговая компонента" не вызывает сомнений - мелкоочаговые тени, то во втором случае, явно не очаг, а как Вы правильно заметили "нодулюс", следовательно, термин "нодулярная диссеминация", имеет право на жизнь?
Отчего же такие фрагменты маленькие? Локализация очагов и состояние корней, а также сердца и всего средостения тоже дают важные для понимания симптомы.
Неоднозначно всё
Помне- так это один и тот же пациент в разные сроки.