Два случая....

Пол пациента: 
Тип патологии: 
Область исследования: 
Методы исследования: 

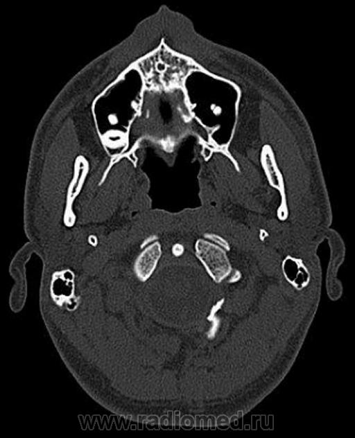
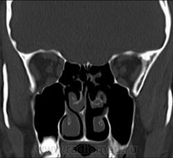
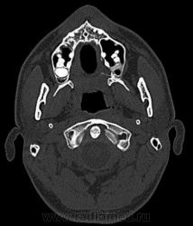
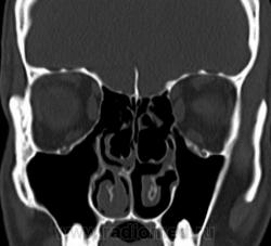
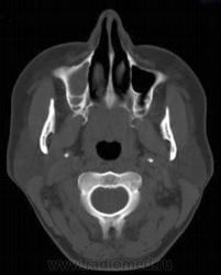
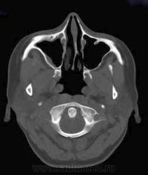
1. Эктопия зуба?

2. Хронический гайморит?

  • https://radiomed.ru/sites/default/files/styles/case_slider_image/public/user/12/2.risunok50.jpg?itok=cGmfCs5K
  • https://radiomed.ru/sites/default/files/styles/case_slider_image/public/user/12/3.risunok49.jpg?itok=kdaVCD-T
  • https://radiomed.ru/sites/default/files/styles/case_slider_image/public/user/12/4.risunok48.jpg?itok=WnoMVsnE
  • https://radiomed.ru/sites/default/files/styles/case_slider_image/public/user/12/5.risunok52.jpg?itok=gWhllEi1
  • https://radiomed.ru/sites/default/files/styles/case_slider_image/public/user/12/1e.risunok36.jpg?itok=KYWlJXBQ
  • https://radiomed.ru/sites/default/files/styles/case_slider_image/public/user/12/2e.risunok37.jpg?itok=mJTae83L
  • https://radiomed.ru/sites/default/files/styles/case_slider_image/public/user/12/3e.risunok38.jpg?itok=ZkLoXsWt
  • https://radiomed.ru/sites/default/files/styles/case_slider_image/public/user/12/4e.risunok39.jpg?itok=AZ3Bd5aF
  • https://radiomed.ru/sites/default/files/styles/case_slider_image/public/user/12/5e.risunok40.jpg?itok=EzyREAun
  • https://radiomed.ru/sites/default/files/styles/case_slider_image/public/user/12/6e.risunok41.jpg?itok=5coSglML
  • https://radiomed.ru/sites/default/files/styles/case_slider_image/public/user/12/7e.risunok42.jpg?itok=8DWSG1PT
  • https://radiomed.ru/sites/default/files/styles/case_slider_image/public/user/12/8e.risunok43.jpg?itok=35JyETxL
  • https://radiomed.ru/sites/default/files/styles/case_slider_image/public/user/12/9e.risunok44.jpg?itok=3pqYAtc3
  • https://radiomed.ru/sites/default/files/styles/case_slider_image/public/user/12/10e.risunok45.jpg?itok=o2wxqGmb
  • https://radiomed.ru/sites/default/files/styles/case_slider_image/public/user/12/11e.risunok46.jpg?itok=Vrx5k5Ur
  • https://radiomed.ru/sites/default/files/styles/case_slider_image/public/user/12/12e.risunok47.jpg?itok=YJbZa7Uq
  • https://radiomed.ru/sites/default/files/styles/case_slider_image/public/user/12/1h.risunok8.jpg?itok=p_0vbq0n
  • https://radiomed.ru/sites/default/files/styles/case_slider_image/public/user/12/2h.risunok9.jpg?itok=xlezbVm5
  • https://radiomed.ru/sites/default/files/styles/case_slider_image/public/user/12/3h.risunok10.jpg?itok=zSz-oYmi
  • https://radiomed.ru/sites/default/files/styles/case_slider_image/public/user/12/4h.risunok11.jpg?itok=e7aiFKWh
  • https://radiomed.ru/sites/default/files/styles/case_slider_image/public/user/12/5h.risunok12.jpg?itok=5qaQOuIu
  • https://radiomed.ru/sites/default/files/styles/case_slider_image/public/user/12/6h.risunok13.jpg?itok=A7Kx3Sg3
  • https://radiomed.ru/sites/default/files/styles/case_slider_image/public/user/12/7h.risunok14.jpg?itok=5mPSZ8Cv
  • https://radiomed.ru/sites/default/files/styles/case_slider_image/public/user/12/8h.risunok15.jpg?itok=bZmyVzh3
  • https://radiomed.ru/sites/default/files/styles/case_slider_image/public/user/12/9h.risunok16.jpg?itok=kVWHykcF
  • https://radiomed.ru/sites/default/files/styles/case_slider_image/public/user/12/10h.risunok17.jpg?itok=ktPvVFZn
  • https://radiomed.ru/sites/default/files/styles/case_slider_image/public/user/12/11h.risunok18.jpg?itok=NyeRvSi5
  • https://radiomed.ru/sites/default/files/styles/case_slider_image/public/user/12/1h.risunok19.jpg?itok=g4n3GHtx
  • https://radiomed.ru/sites/default/files/styles/case_slider_image/public/user/12/2h.risunok20.jpg?itok=8aO10okv
  • https://radiomed.ru/sites/default/files/styles/case_slider_image/public/user/12/3h.risunok21.jpg?itok=IG48HoEp
ID:11212