Двое из ларца.

Пол пациента: 
Тип патологии: 
Методы исследования: 

Прямо с приёма терапевта,с утра пораньше мужички с кашлем и субфебрилом 2 недели.Поразмыслим?

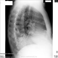
  • https://radiomed.ru/sites/default/files/styles/case_slider_image/public/user/17114/s_priyoma_bok.jpg?itok=MLUJqydx
  • https://radiomed.ru/sites/default/files/styles/case_slider_image/public/user/17114/s_priyoma2.jpg?itok=tSvaDaxr
ID:34523
Евгений Дорофеев аватар
Не на сайте
Был на сайте: 11 лет 1 месяц назад
Зарегистрирован: 06.06.2013 - 17:28
Публикации: 1746

Сергей здравствуйте, а что на архиве? Я как понимаю, что не без его величества ?

Dima аватар
Не на сайте
Был на сайте: 7 лет 2 месяцев назад
Зарегистрирован: 05.08.2012 - 17:39
Публикации: 2467

В первом случае подумал бы на мтс, от второго туберкулезом пахнет.

Терпимость - это когда прощают чужие ошибки; такт - когда не замечают их. (Артур Шницлер)

Евгений Дорофеев аватар
Не на сайте
Был на сайте: 11 лет 1 месяц назад
Зарегистрирован: 06.06.2013 - 17:28
Публикации: 1746

Dima wrote:

В первом случае подумал бы на мтс, от второго туберкулезом пахнет.

На счёт первого случая думаю, что надо дифференцировать, а второй реально на "носителя палок" похож.

Сергей Кузьминов аватар
Не на сайте
Был на сайте: 1 год 2 недели назад
Зарегистрирован: 06.10.2012 - 15:51
Публикации: 11813

Архивов нет(не обращались лет 10).Лаборантки нет(на учёбе).Времени думать нет(последний день перед отпуском).Не резал(за ними толпа).

Евгений Дорофеев аватар
Не на сайте
Был на сайте: 11 лет 1 месяц назад
Зарегистрирован: 06.06.2013 - 17:28
Публикации: 1746

Сергей Кузьминов wrote:

Архивов нет(не обращались лет 10).Лаборантки нет(на учёбе).Времени думать нет(последний день перед отпуском).Не резал(за ними толпа).

Так если не секрет, что в заключении написали?

Сергей Кузьминов аватар
Не на сайте
Был на сайте: 1 год 2 недели назад
Зарегистрирован: 06.10.2012 - 15:51
Публикации: 11813

А подождём ещё мнений.

Сергей Кузьминов аватар
Не на сайте
Был на сайте: 1 год 2 недели назад
Зарегистрирован: 06.10.2012 - 15:51
Публикации: 11813

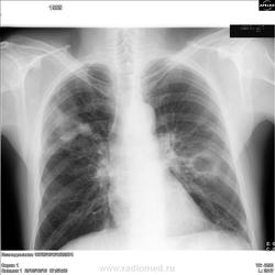
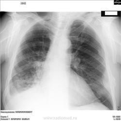
Не буду томить:первому поставил центральный рак справа и мтс, второму-диссеменированный туберкулёз в фазе распада.На следующей неделе сверка с онкологом и ПТД.

И.Бондаренко аватар
Не на сайте
Был на сайте: 2 дня 2 часа назад
Зарегистрирован: 13.09.2011 - 22:55
Публикации: 9206

1. Вначале написал бы пневмонию. Спарава жидкость есть. Слева или осумкование идёт, или утощение плевры в месте перелома.

2. Возможен и тбц. Посевы , лечение, наблюдение. Не снимал бы версию полостной формы с мтс.

Dima аватар
Не на сайте
Был на сайте: 7 лет 2 месяцев назад
Зарегистрирован: 05.08.2012 - 17:39
Публикации: 2467

Сергей Кузьминов wrote:

Не буду томить:первому поставил центральный рак справа и мтс, второму-диссеменированный туберкулёз в фазе распада.На следующей неделе сверка с онкологом и ПТД.

Сергей, сколько на этом аппарате снимков за смену (6 часов) делаете?

Терпимость - это когда прощают чужие ошибки; такт - когда не замечают их. (Артур Шницлер)

Mila85 аватар
Не на сайте
Был на сайте: 3 года 1 месяц назад
Зарегистрирован: 15.03.2012 - 16:59
Публикации: 1790

Ага, я бы тоже написала у первого мтс и правосторонний выпот, а второму тбц - на полостные метастазы не тянет, очень уж положение изменений "туберкулезное"

Попралю себя - со второго взгляда в первом случае все же ателектаз нижней доли.. 

Сергей Кузьминов аватар
Не на сайте
Был на сайте: 1 год 2 недели назад
Зарегистрирован: 06.10.2012 - 15:51
Публикации: 11813

20-30 снимков в смену.

Daniel' аватар
Не на сайте
Был на сайте: 1 месяц 2 недели назад
Зарегистрирован: 27.06.2013 - 22:21
Публикации: 2210

боковой снимок к первому или второму в прямой проекции относится?

Dima аватар
Не на сайте
Был на сайте: 7 лет 2 месяцев назад
Зарегистрирован: 05.08.2012 - 17:39
Публикации: 2467

Сергей Кузьминов wrote:

20-30 снимков в смену.

Спасибо!

Терпимость - это когда прощают чужие ошибки; такт - когда не замечают их. (Артур Шницлер)

Dima аватар
Не на сайте
Был на сайте: 7 лет 2 месяцев назад
Зарегистрирован: 05.08.2012 - 17:39
Публикации: 2467

рентгенолог без опыта работы wrote:

боковой снимок к первому или второму в прямой проекции относится?

Проследите изменения и ответьте сами на свой вопрос.

Терпимость - это когда прощают чужие ошибки; такт - когда не замечают их. (Артур Шницлер)

Сольвейг аватар
Не на сайте
Был на сайте: 3 года 5 месяцев назад
Зарегистрирован: 05.02.2013 - 20:25
Публикации: 2239

Да-а,красивые!Вы правы,у второго точно туберкулез,только не диссеминированный,а инфильтративный,в фазе распада и обсеменения.А с первым надо поработать-там много чего!

Алексей Игоревич Чернявский аватар
Не на сайте
Был на сайте: 6 лет 10 месяцев назад
Зарегистрирован: 08.08.2012 - 21:52
Публикации: 786

С первым согласен. Со вторым тоже, но написал бы инфильтративный туберкулёз в фазе распада и диссеминации

"Обучая других - учишься сам". Н.И.Пирогов
 

Евгений Дорофеев аватар
Не на сайте
Был на сайте: 11 лет 1 месяц назад
Зарегистрирован: 06.06.2013 - 17:28
Публикации: 1746

Миргалина wrote:
Да-а,красивые!Вы правы,у второго точно туберкулез,только не диссеминированный,а инфильтративный,в фазе распада и обсеменения.А с первым надо поработать-там много чего!
+1 Первый случай надо дифференцировать

Катенёв Валентин Львович аватар
Не на сайте
Был на сайте: 7 лет 2 недели назад
Зарегистрирован: 22.03.2008 - 22:15
Публикации: 54876

Миргалина wrote:
А с первым надо поработать-там много чего!

Интересно, а чего там много?

Катенёв Валентин Львович аватар
Не на сайте
Был на сайте: 7 лет 2 недели назад
Зарегистрирован: 22.03.2008 - 22:15
Публикации: 54876

Второй случай, на мой взгляд, весьма затруднителен, по всей видимости, "собака" зарыта в обычном анализе мокроты.

Весьма трудно определиться по поводу "формы туберкулёза", и это довольно странно, если таковой имеется (туберкулёз). Да, и толстостенный "каверкот" слева довольно банально нагловато себя ведет, как бы говорит, что мол вот "Я", она, мол "каверна"...Я...

Сольвейг аватар
Не на сайте
Был на сайте: 3 года 5 месяцев назад
Зарегистрирован: 05.02.2013 - 20:25
Публикации: 2239

Катенёв Валентин Львович wrote:

Второй случай, на мой взгляд, весьма затруднителен, по всей видимости, "собака" зарыта в обычном анализе мокроты.

Весьма трудно определиться по поводу "формы туберкулёза", и это довольно странно, если таковой имеется (туберкулёз). Да, и толстостенный "каверкот" слева довольно банально нагловато себя ведет, как бы говорит, что мол вот "Я", она, мол "каверна"...Я...

Да и каверна ли это?Весьма наглая полость.Может ведь и стафилококк кренделя выписывать,и нам нос утереть.Вопрос к автору ветки-а эти двое не алкоголики,тунеядцы,пьяницы?И возраст каков?

И.Бондаренко аватар
Не на сайте
Был на сайте: 2 дня 2 часа назад
Зарегистрирован: 13.09.2011 - 22:55
Публикации: 9206

 

 

 

[/quote] Да и каверна ли это?Весьма наглая полость.Может ведь и стафилококк кренделя выписывать,и нам нос утереть.Вопрос к автору ветки-а эти двое не алкоголики,тунеядцы,пьяницы?И возраст каков?[/quote]

Стафилококк такую картину не даёт. Обычно множественные мелкие полости.

Сольвейг аватар
Не на сайте
Был на сайте: 3 года 5 месяцев назад
Зарегистрирован: 05.02.2013 - 20:25
Публикации: 2239

И.Бондаренко wrote:

 

 

 

Да и каверна ли это?Весьма наглая полость.Может ведь и стафилококк кренделя выписывать,и нам нос утереть.Вопрос к автору ветки-а эти двое не алкоголики,тунеядцы,пьяницы?И возраст каков?[/quote]

Стафилококк такую картину не даёт. Обычно множественные мелкие полости.

[/quote] А если необычно, с отягощенным жизненным анамнезом(не зря ведь спросила автора)?А вообще-дает.

федя аватар
Не на сайте
Был на сайте: 11 лет 7 месяцев назад
Зарегистрирован: 25.06.2011 - 20:28
Публикации: 260

больше тянет на каверну ,так по периферии видны ацино-нодулярные очаги +уплотнение по типу инфильтрации  справа .что касается формы тбц описал бы как кавернозный тбц с лимфогенным заносом в правую верхнюю долю

Сольвейг аватар
Не на сайте
Был на сайте: 3 года 5 месяцев назад
Зарегистрирован: 05.02.2013 - 20:25
Публикации: 2239

Это не кавернозный туберкулез.

федя аватар
Не на сайте
Был на сайте: 11 лет 7 месяцев назад
Зарегистрирован: 25.06.2011 - 20:28
Публикации: 260

возможно,что вы правы может это даже и плоскоклеточный рак ,но синдромов то много колцевидная тень ,лимфатическая дорожка  к корню ,уплотнение по типу инфильтрации справа ,синдром патологии корня справа (их уже 4)-так ведь получается 4 стадия рака у вас-он жить уже не должен боже упаси

федя аватар
Не на сайте
Был на сайте: 11 лет 7 месяцев назад
Зарегистрирован: 25.06.2011 - 20:28
Публикации: 260

вопрос к автору ,почему сразу Cr?подскажите какие изменения вы дорогой коллега интерпритируете как мтс ,как вы описываете изменения в нижней доле справа и изменения слева,есть ли патология корня справа ,рекомендовали ли вы кт для этого пациента при постановке столь серьезного диагноза?заранее спасибо за интересные наблюдения !!! с уважением федя

Makcimalist аватар
Не на сайте
Был на сайте: 11 лет 8 месяцев назад
Зарегистрирован: 08.05.2010 - 14:28
Публикации: 1994

Сергей Кузьминов wrote:

Не буду томить:первому поставил центральный рак справа и мтс, второму-диссеменированный туберкулёз в фазе распада.На следующей неделе сверка с онкологом и ПТД.

Сергей, думаю, устанет от переизбытка вопросов. Я тоже Вам свой оставлю - может, успеете ответить, как-нибудь...

Можно узнать полный текст Вашего заключения по каждому случаю? По памяти, если не дословно.) Заранее спасибо! Надеюсь, это не много.

--------------

"Просто, по видимости, не видеть логики в очевидных вещах - это тоже одно из свойств некоторых умов, наряду с грустными думами о свойствах ума других."  © Vega 08/10/2011

Дмитрий Волегов аватар
Не на сайте
Был на сайте: 3 года 6 месяцев назад
Зарегистрирован: 22.05.2013 - 00:32
Публикации: 1148

Мнение по первому случаю: перелом ключицы слева и трех ребер (причем перелом со смещением заднего отрезка 7-го ребра с намеком на гематому) - на первое место; нижнедолевую пневмонию справа - на второе. Гиповентиляция справа обусловлена травмой противоположной половины грудной клетки.

Мнение по второму случаю: двусторонняя деструктивная пневмония - на первое место; туберкулез и онко - на второе.

Не ругаетесь, коллеги, но, по-моему, пациенты с раком или tbs никогда не будут с утра пораньше в очереди к врачу первыми.

С Уважением, Дмитрий.

Танюшка аватар
Не на сайте
Был на сайте: 6 лет 2 месяцев назад
Зарегистрирован: 16.12.2013 - 14:23
Публикации: 179

Я думаю, что в первом случае - правосторонняя деструктивная пневмония, осл.плевритом, а слева паракостальный осумкованный плеврит.

 У второго пациента -инфильтративный туберкулез в/доли в фазе распада и обсеменения

Михай

Сергей Кузьминов аватар
Не на сайте
Был на сайте: 1 год 2 недели назад
Зарегистрирован: 06.10.2012 - 15:51
Публикации: 11813

Наизусть уже не помню,но про первого-правое лёгкое уменьшено в объёме,в нём-округлые фокусные тени(симптом "монет").По второму-фокусная теннь справа в верней доле, полость в шестёрке слева,соотв. конс онколога первому,фтизиатра-второму.Информация по дообследованиям будет на след. неделе-годовая сверка,сообщу обязательно.

Катенёв Валентин Львович аватар
Не на сайте
Был на сайте: 7 лет 2 недели назад
Зарегистрирован: 22.03.2008 - 22:15
Публикации: 54876

По второму случаю.

Итак, даже по поводу "формы туберкулёза", если таковой имеет место быть, мнения весьма сильно разнятся. Вариантов "формы" довольно много (не посчитал), даже нет двух одинаковых мнений, а это очень занятно, именно для Величества...

Коллега Николас молчит, а это тоже настараживает.

А случай (второй), конечно весьма интересен, интересен, ежели "конец" (верификацию) увидим, на худой конец, хотя бы контроль...

Катенёв Валентин Львович аватар
Не на сайте
Был на сайте: 7 лет 2 недели назад
Зарегистрирован: 22.03.2008 - 22:15
Публикации: 54876

По первому случаю.

Сергей Кузьминов wrote:

в нём-округлые фокусные тени(симптом "монет").

Конечно, "симптом монет", или "разменной монеты", есть и другие вариации обозвать данную скиалогию, заставляет прежде всего подумать о "мета", но это прежде всего...

Вчера был случай (аналогичный) и в нашей деревеньке, правда без "выпота", но синдром "монетности" имел место. Первое телодвижение было именно к "мета", но архив - великая вещь, вещь величайшая.

Мне сейчас довольно проблемно "грузить картинки", но этот случай постараюсь выставить в данной ветке, как достойное продолжение "разменных монет"...

Сергей Кузьминов аватар
Не на сайте
Был на сайте: 1 год 2 недели назад
Зарегистрирован: 06.10.2012 - 15:51
Публикации: 11813

Про  облико морале пациентов не имел времени выяснить.А пара казусов с утра перед дверью-не редклсть,поболее бывает.

Nikolas аватар
Не на сайте
Был на сайте: 1 месяц 3 недели назад
Зарегистрирован: 21.12.2010 - 20:37
Публикации: 4559

можно предварительно рассматривать как двухсторонний инфильтративный туберкулез легких в фазе распада. Жаль нет левой боковой рентгенограммы. 

Сергей Кузьминов аватар
Не на сайте
Был на сайте: 1 год 2 недели назад
Зарегистрирован: 06.10.2012 - 15:51
Публикации: 11813

Ну,простите,коллеги,без бока,да не резал,непохоже на меня,да уж последний день перед отпуском.Смежники пусть хоть немножко поработают.

Сольвейг аватар
Не на сайте
Был на сайте: 3 года 5 месяцев назад
Зарегистрирован: 05.02.2013 - 20:25
Публикации: 2239

федя wrote:

возможно,что вы правы может это даже и плоскоклеточный рак ,но синдромов то много колцевидная тень ,лимфатическая дорожка  к корню ,уплотнение по типу инфильтрации справа ,синдром патологии корня справа (их уже 4)-так ведь получается 4 стадия рака у вас-он жить уже не должен боже упаси

Когда говорила,что это не кавернозный,я имела в виду формы туберкулеза(т.е. картина ближе к инфильтративному,чем к кавернозному туберкулезу).

Алексей Игоревич Чернявский аватар
Не на сайте
Был на сайте: 6 лет 10 месяцев назад
Зарегистрирован: 08.08.2012 - 21:52
Публикации: 786

Кольцо предполагаемой каверны (тень стенок полости каверны) не замыкается. Каверна имеет более четкий внутренний контур. Здесь не дотягивает немного до каверны, хотя визуально очень похоже. Плюс инфильтративные изменения в правом легком. Форма инфильтративная.

"Обучая других - учишься сам". Н.И.Пирогов
 

Makcimalist аватар
Не на сайте
Был на сайте: 11 лет 8 месяцев назад
Зарегистрирован: 08.05.2010 - 14:28
Публикации: 1994

Сергей Кузьминов wrote:

Наизусть уже не помню,но про первого-правое лёгкое уменьшено в объёме,в нём-округлые фокусные тени(симптом "монет").По второму-фокусная теннь справа в верней доле, полость в шестёрке слева,соотв. конс онколога первому,фтизиатра-второму.Информация по дообследованиям будет на след. неделе-годовая сверка,сообщу обязательно.

Спасибо за ответ. Хотелось надеяться, что описание будет подробнее. Но нет. Информации можно много по снимкам собрать, если немного дольше смотреть, если есть время их вообще качественно прочитать...

Коллеги высказывались за переломы. Дмитрий указал и на перелом ключицы. Не знаю, свежий там перелом, или давно он её сломал. Но странно, что никто не провёл сломанное 7 слева ребро. Я часть его контура так и не нашёл. Думаете такая мягкотканная у него мозоль наросла по внутренней поверхности того ребра? Сомневаюсь. Сильно сомневаюсь в этом я. Мягкотканный компонент mts - больше похоже - добавлю, и в этот раз - на мой взгляд.

Сергей Кузьминов wrote:

Ну,простите,коллеги,без бока,да не резал,непохоже на меня,да уж последний день перед отпуском.Смежники пусть хоть немножко поработают.

Согласен, все должны быть при работе. Сначала нам надлежит найти всё то, что дообследованию подлежит. По-моему, логично всё.

--------------

"Просто, по видимости, не видеть логики в очевидных вещах - это тоже одно из свойств некоторых умов, наряду с грустными думами о свойствах ума других."  © Vega 08/10/2011

Сергей Кузьминов аватар
Не на сайте
Был на сайте: 1 год 2 недели назад
Зарегистрирован: 06.10.2012 - 15:51
Публикации: 11813

По второму пациенту спешу сообщить о выявлении КУМ+ в ПТД,о форме туберкулёза фтизиатры ещё сами не определились.С онкологом ещё не сверялся.

Сольвейг аватар
Не на сайте
Был на сайте: 3 года 5 месяцев назад
Зарегистрирован: 05.02.2013 - 20:25
Публикации: 2239

Спасибо,Сергей,что сообщили.Сомнений не было.А форму фтизиатры,действительно ,"рожают" с трудом(тут есть нюансы,да и долго объяснять).У нас-верят рентгенологам.Осталось дождаться результатов от второго "красавчика "-проблемный.Надеюсь,Вы будете в курсе и сообщите.