Вопрос... уместным ли будет в данном случае предположить возможность импиджмент-синдрома, учитывая наличие дополнительного образования костной плотности у большого бугорка?
Вопрос... уместным ли будет в данном случае предположить возможность импиджмент-синдрома, учитывая наличие дополнительного образования костной плотности у большого бугорка?
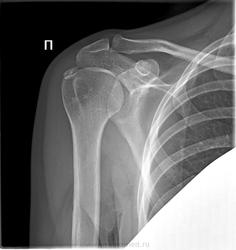
Возможность есть. "Обычно, имеется достаточный промежуток между акромионом и вращательной манжетой, так что сухожилия при движениях в плечевом суставе свободно скользят под акромионом. Однако всякий раз, когда вы поднимаете руку, происходит небольшое сдавление сухожилий и суставной сумки между головкой плечевой кости и акромионом. Это явление носит название импинджмент."
Рис. 2. Больная П., 45 лет. Диагноз: плечелопаточный периартрит. “Каменный” бурсит. В мягких тканях над большим бугорком плечевой головки определяется овальной формы кальцификат гомогенной костной плотности.
Кимерли, снижение высоты диска С 5-6.
Хондроматоз?
Вопрос... уместным ли будет в данном случае предположить возможность импиджмент-синдрома, учитывая наличие дополнительного образования костной плотности у большого бугорка?
Болезни ног: виды, симптомы, причины, профилактика и лечение
Возможность есть. "Обычно, имеется достаточный промежуток между акромионом и вращательной манжетой, так что сухожилия при движениях в плечевом суставе свободно скользят под акромионом. Однако всякий раз, когда вы поднимаете руку, происходит небольшое сдавление сухожилий и суставной сумки между головкой плечевой кости и акромионом. Это явление носит название импинджмент."
Рис. 2. Больная П., 45 лет. Диагноз: плечелопаточный периартрит. “Каменный” бурсит. В мягких тканях над большим бугорком плечевой головки определяется овальной формы кальцификат гомогенной костной плотности.
Что-то похожее.
http://zhuravlev.info/a_137_-%D1%80%D0%B5%D0%BD%D1%82%D0%B3%D0%B5%D0%BD%D0%BE%D0%BB%D0%BE%D0%B3%D0%B8%D1%87%D0%B5%D1%81%D0%BA%D0%B0%D1%8F-%D0%B4%D0%B8%D0%B0%D0%B3%D0%BD%D0%BE%D1%81%D1%82%D0%B8%D0%BA%D0%B0-%D0%B8%D0%B7%D0%BC%D0%B5%D0%BD%D0%B5%D0%BD%D0%B8%D0%B9-%D0%BF%D0%BB%D0%B5%D1%87%D0%B5%D0%B2%D0%BE%D0%B3%D0%BE-%D1%81%D1%83%D1%81%D1%82%D0%B0%D0%B2%D0%B0&
Возможно не бурсит, а кальцинат в толще сухожилия. Надо УЗИ или МРТ провести.
Описал, как оссификацию сухожилия надостной мышцы. Может быть и последствием травмы, не только импинджмента.
С уважением,
Вполне.