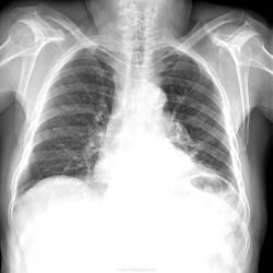
Пол пациента: Мужской пол Тип патологии: Воспалительное заболевание неинфекционной природы Область исследования: Грудная клетка и верхние дыхательные пути Методы исследования: Rg мужчина 1939 гр с направительным диагнозом пневмония? Жалобы на кашель в течении 1.5-2 месяца. Есть ли пневмония? По ФЛГ в апреле этого года -картина похожая с заключением пневмосклероз. https://radiomed.ru/sites/default/files/styles/case_slider_image/public/user/20421/2_z03.jpg?itok=l3QuH2Oc ID:39006 Ср, 18/06/2014 - 20:12 #1 Сольвейг Не на сайте Был на сайте: 3 года 10 месяцев назад Зарегистрирован: 05.02.2013 - 20:25 Публикации: 2239 В таких случаях надо левый бок делать. В данном случае-исключать "непорядок" в нижних долях (10-ках) Ср, 18/06/2014 - 20:43 #2 Татьяна Холод Не на сайте Был на сайте: 2 года 4 месяцев назад Зарегистрирован: 04.06.2014 - 22:28 Публикации: 355 Бок левый, только надо изображение перевернуть-так в программе почему-то получаетсяПриложения: Ср, 18/06/2014 - 20:46 #3 Сергей Кузьминов Не на сайте Был на сайте: 1 год 5 месяцев назад Зарегистрирован: 06.10.2012 - 15:51 Публикации: 11813 Вроде,нет пневмонии. Ср, 18/06/2014 - 20:56 #4 Сольвейг Не на сайте Был на сайте: 3 года 10 месяцев назад Зарегистрирован: 05.02.2013 - 20:25 Публикации: 2239 Не очень на левый бок похоже, но Вам лучше знать. Все равно в 10-ке. Ср, 18/06/2014 - 20:58 #5 NIL Не на сайте Был на сайте: 2 часа 29 минут назад Зарегистрирован: 25.11.2013 - 20:50 Публикации: 18217 А мне S 9 не нравится. Похоже, есть пневмония.Приложения: "Слушай всех, прислушивайся к немногим, решай сам".© Ср, 18/06/2014 - 21:24 #6 алкс Не на сайте Был на сайте: 10 лет 5 месяцев назад Зарегистрирован: 24.10.2012 - 22:55 Публикации: 2915 NIL wrote: А мне S 9 не нравится. Похоже, есть пневмония. Да и 9 и 10! Не очень-то пневмония, больше фиброз. Ср, 18/06/2014 - 21:54 #7 Mila85 Не на сайте Был на сайте: 3 года 6 месяцев назад Зарегистрирован: 15.03.2012 - 16:59 Публикации: 1790 Нет пневмонии Чт, 19/06/2014 - 17:18 #8 maker4ik Не на сайте Был на сайте: 8 лет 11 месяцев назад Зарегистрирован: 19.10.2011 - 17:49 Публикации: 2682 Mila85 wrote: Нет пневмонии + Чт, 19/06/2014 - 19:16 #9 lady.zhaneta Не на сайте Был на сайте: 1 год 6 месяцев назад Зарегистрирован: 06.07.2011 - 21:54 Публикации: 232 NIL wrote: А мне S 9 не нравится. Похоже, есть пневмония. +1
В таких случаях надо левый бок делать. В данном случае-исключать "непорядок" в нижних долях (10-ках)
Бок левый, только надо изображение перевернуть-так в программе почему-то получается
Вроде,нет пневмонии.
Не очень на левый бок похоже, но Вам лучше знать. Все равно в 10-ке.
А мне S 9 не нравится. Похоже, есть пневмония.
"Слушай всех, прислушивайся к немногим, решай сам".©
Да и 9 и 10! Не очень-то пневмония, больше фиброз.
Нет пневмонии
+