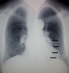
Пациентка 1924 г. рождения. Профосмотр.Жалоб нет.( У меня вопросов нет. Дообследование произведено . Но Mila85 хотела подиагностировать.) ID:45251 Втр, 30/09/2014 - 17:01 #1 svetlana292929 Не на сайте Был на сайте: 3 года 8 месяцев назад Зарегистрирован: 18.06.2012 - 13:53 Публикации: 869 может это не липома в кардио-диафрагмальном, а что-то страшное? Втр, 30/09/2014 - 18:04 #2 stovbav Не на сайте Был на сайте: 2 года 3 месяцев назад Зарегистрирован: 20.12.2009 - 17:28 Публикации: 7066 1.Саркоидоз....медиастинальная форма 2. Мета в бронхопульмональные.... Болезни ног: виды, симптомы, причины, профилактика и лечение Втр, 30/09/2014 - 18:06 #3 Сергей Кузьминов Не на сайте Был на сайте: 1 год 1 месяц назад Зарегистрирован: 06.10.2012 - 15:51 Публикации: 11813 Первая мысль о саркоидозе.Ну, а где здесь про стандарт? Втр, 30/09/2014 - 18:29 #4 svetlana292929 Не на сайте Был на сайте: 3 года 8 месяцев назад Зарегистрирован: 18.06.2012 - 13:53 Публикации: 869 У меня появилось новое мнение )) Левый бок нужноПриложения: Втр, 30/09/2014 - 18:42 #5 NIL Не на сайте Был на сайте: 1 неделя 6 дней назад Зарегистрирован: 25.11.2013 - 20:50 Публикации: 18208 svetka292929 wrote: У меня появилось новое мнение )) Левый бок нужно Ну конечно же! Куда же без него! Если бы изначально было выполнено всё, как положено, не надо было бы вызывать женщину 90 лет на дообследование Приложения: "Слушай всех, прислушивайся к немногим, решай сам".© Втр, 30/09/2014 - 19:16 #6 stovbav Не на сайте Был на сайте: 2 года 3 месяцев назад Зарегистрирован: 20.12.2009 - 17:28 Публикации: 7066 Для 90 лет ТАКАЯ аорта не редкость...в прямой проекции явное ПРОДОЛЖЕНИЕ тени к клюву аорты...что с корнями - тоже 90 лет? Болезни ног: виды, симптомы, причины, профилактика и лечение Втр, 30/09/2014 - 19:33 #7 NIL Не на сайте Был на сайте: 1 неделя 6 дней назад Зарегистрирован: 25.11.2013 - 20:50 Публикации: 18208 stovbav wrote: ...что с корнями - ? Виктор Григорьевич, с корнями ничего страшного. Я её ещё и скопически покрутила, что б уж совсем успокоиться. "Слушай всех, прислушивайся к немногим, решай сам".© Втр, 30/09/2014 - 19:45 #8 stovbav Не на сайте Был на сайте: 2 года 3 месяцев назад Зарегистрирован: 20.12.2009 - 17:28 Публикации: 7066 Спасибо, понял. Болезни ног: виды, симптомы, причины, профилактика и лечение
может это не липома в кардио-диафрагмальном, а что-то страшное?
1.Саркоидоз....медиастинальная форма
2. Мета в бронхопульмональные....
Болезни ног: виды, симптомы, причины, профилактика и лечение
Первая мысль о саркоидозе.Ну, а где здесь про стандарт?
У меня появилось новое мнение )) Левый бок нужно
"Слушай всех, прислушивайся к немногим, решай сам".©
Для 90 лет ТАКАЯ аорта не редкость...в прямой проекции явное ПРОДОЛЖЕНИЕ тени к клюву аорты...что с корнями - тоже 90 лет?
Болезни ног: виды, симптомы, причины, профилактика и лечение
"Слушай всех, прислушивайся к немногим, решай сам".©
Спасибо, понял.
Болезни ног: виды, симптомы, причины, профилактика и лечение