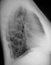
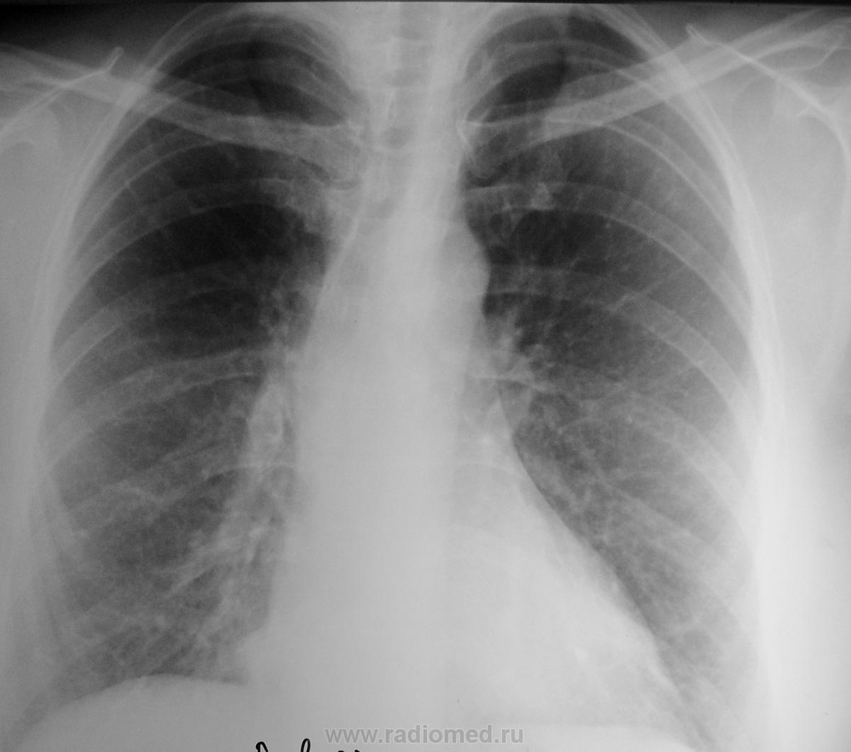
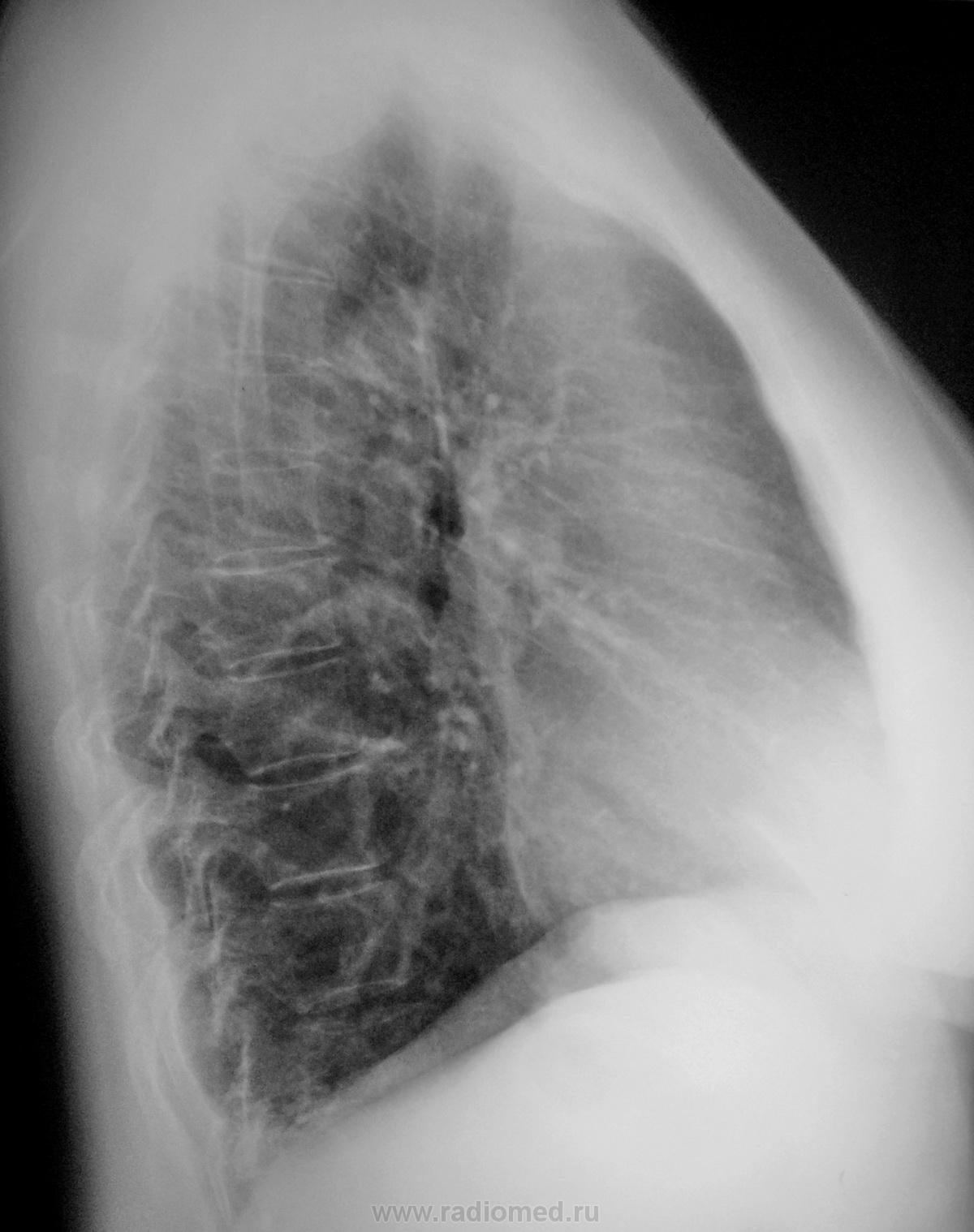
Пол пациента: Женский пол Тип патологии: Инфекция Область исследования: Грудная клетка и верхние дыхательные пути Методы исследования: Rg Женщина 50 лет обратилась с жалобами к терапевту по поводу высокой температуры(39) и кашля, была направлена на снимок. Я поставил пневмонию в S5 правого лёгкого, но немного засомневался. Что скажут уважаемые коллеги? https://radiomed.ru/sites/default/files/styles/case_slider_image/public/user/712/sl274012.jpg?itok=m1MWVr3r ID:17022 Чт, 24/11/2011 - 20:43 #1 DR.RAD Не на сайте Был на сайте: 11 лет 9 месяцев назад Зарегистрирован: 25.03.2009 - 18:22 Публикации: 805 да инфильтрация сомнительна Чт, 24/11/2011 - 22:43 #2 Bob Не на сайте Был на сайте: 11 лет 11 месяцев назад Зарегистрирован: 20.08.2011 - 20:06 Публикации: 218 есть только в S7 Чт, 24/11/2011 - 21:44 #3 Nikolas Не на сайте Был на сайте: 2 месяцев 1 неделя назад Зарегистрирован: 21.12.2010 - 20:37 Публикации: 4559 с носоглоткой у пациентки, точно, не все в порядке. Чт, 24/11/2011 - 22:36 #4 И.Бондаренко Не на сайте Был на сайте: 2 дня 5 часов назад Зарегистрирован: 13.09.2011 - 22:55 Публикации: 9206 Посмотрим, что покажет лечение. Возможно, вы и правы. Чт, 24/11/2011 - 22:45 #5 stovbav Не на сайте Был на сайте: 2 года 2 месяцев назад Зарегистрирован: 20.12.2009 - 17:28 Публикации: 7066 Все таки есть небольшое локальное утолщение передне-базального отдела косой м\долевой плевры справа, да и рядом смазаность легочного рисунка, так что истина недалеко. А вот контроль не помешает. Болезни ног: виды, симптомы, причины, профилактика и лечение Пт, 25/11/2011 - 02:09 #6 Makcimalist Не на сайте Был на сайте: 11 лет 9 месяцев назад Зарегистрирован: 08.05.2010 - 14:28 Публикации: 1994 stovbav wrote: Все таки есть небольшое локальное утолщение передне-базального отдела косой м\долевой плевры справа, да и рядом смазаность легочного рисунка, так что истина недалеко. А вот контроль не помешает. - При таком застое в МКК отмеченные Вами изменения бывают. Инфильтрации в паренхиме не усматриваю... пока! -------------- "Просто, по видимости, не видеть логики в очевидных вещах - это тоже одно из свойств некоторых умов, наряду с грустными думами о свойствах ума других." © Vega 08/10/2011
да инфильтрация сомнительна
есть только в S7
с носоглоткой у пациентки, точно, не все в порядке.
Посмотрим, что покажет лечение. Возможно, вы и правы.
Все таки есть небольшое локальное утолщение передне-базального отдела косой
м\долевой плевры справа, да и рядом смазаность легочного рисунка, так что истина недалеко. А вот контроль не помешает.
Болезни ног: виды, симптомы, причины, профилактика и лечение
- При таком застое в МКК отмеченные Вами изменения бывают.
Инфильтрации в паренхиме не усматриваю... пока!
--------------
"Просто, по видимости, не видеть логики в очевидных вещах - это тоже одно из свойств некоторых умов, наряду с грустными думами о свойствах ума других." © Vega 08/10/2011