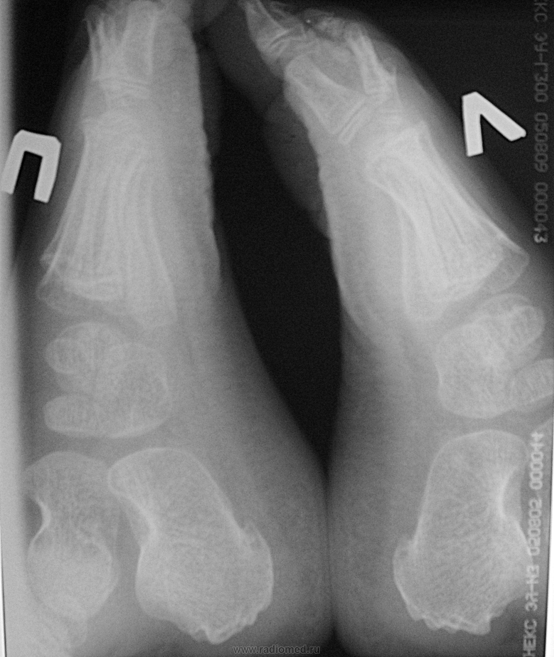
Пол пациента: Женский пол Тип патологии: Травма Область исследования: Скелетно-мышечная система Методы исследования: Rg Девочка 9 лет обратилась с жалобами на боль в пяточной кости после прыжка(худ. гимнастика). ID:13842 Пт, 13/05/2011 - 05:09 #1 10dent I.A. Не на сайте Был на сайте: 11 лет 4 месяцев назад Зарегистрирован: 25.04.2011 - 15:53 Публикации: 47 - Р-признаков переломов не отмечается - Любопытны "шпоры" обеих пяточных костей, и есть ли у нее плоскостопие? ...я мало видел, еще меньше знаю...
- Р-признаков переломов не отмечается
- Любопытны "шпоры" обеих пяточных костей, и есть ли у нее плоскостопие?
...я мало видел, еще меньше знаю...