А, "это" - не наше....

Пол пациента: 
Тип патологии: 
Методы исследования: 

А, "это" - не наше....

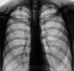
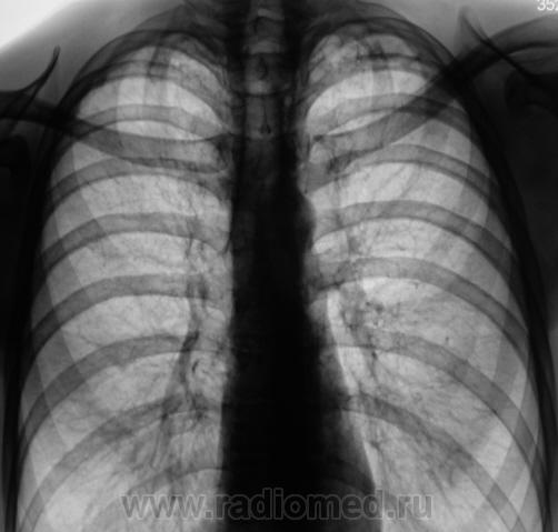
В 2009 году взяли пациента на контроль стандартно дообследовали.

Картинка была типичной, отправили на консультацию к фтизиатру, сделали все необходимые "отметки" в журналах и компе и успокоились, по поводу пациента.

Однако, в 2010 году пациент высвечивается, как прошедший профилактическую флюшку. Звоню к фтизиатрам, мол, что-же Вы братья по разуму "тубаря" на флюшку направили?

Как, мне объяснила Маня, Маня - это старшая из м/с по "бумажкам", гражданина не взяли на учет и даже под какое-то наблюдение и отпустили с "миром" в МИР.

Оказалось, что была сделана интересная запись - "Данных за активный туб. процесс не выявлено", объяснили, что МБТ в мокроте не были обнаружены, а что там было в баночке, возможно, половино "слюны", так то неизвестно...

Иногда, возникает в таких случаях справедливое "ожесточение" на коллег фтизиатров, решили сделать только срез "8".

Сравнили две "8" за 2009 и 2010 годы, и вновь, направили пациента на консультацию к фтизиатру.

  • https://radiomed.ru/sites/default/files/styles/case_slider_image/public/user/12/2.pc060006.jpg?itok=ouz4QfNi
  • https://radiomed.ru/sites/default/files/styles/case_slider_image/public/user/12/3.pc060007.jpg?itok=TKEsBlDH
  • https://radiomed.ru/sites/default/files/styles/case_slider_image/public/user/12/4.pc060008.jpg?itok=vmvGyN7f
  • https://radiomed.ru/sites/default/files/styles/case_slider_image/public/user/12/11.pc060009.jpg?itok=CcXfM7eZ
  • https://radiomed.ru/sites/default/files/styles/case_slider_image/public/user/12/12.pc060009a.jpg?itok=Gb-8VtSz
  • https://radiomed.ru/sites/default/files/styles/case_slider_image/public/user/12/13.pc060010.jpg?itok=UuDBAcZi
  • https://radiomed.ru/sites/default/files/styles/case_slider_image/public/user/12/14.pc060011.jpg?itok=-ZvNK1cq
  • https://radiomed.ru/sites/default/files/styles/case_slider_image/public/user/12/3.pc060007_1.jpg?itok=z7qiJ7XH
  • https://radiomed.ru/sites/default/files/styles/case_slider_image/public/user/12/11.pc060009_1.jpg?itok=KRglooR4
ID:9794
Грицько Виталий аватар
Не на сайте
Был на сайте: 8 лет 11 месяцев назад
Зарегистрирован: 05.01.2010 - 14:06
Публикации: 1058

Это-"наше все". А в лордозе у вас не снимают? Фтизиатры это любят, может им так будет яснее?

Катенёв Валентин Львович аватар
Не на сайте
Был на сайте: 7 лет 2 недели назад
Зарегистрирован: 22.03.2008 - 22:15
Публикации: 54876

Наши фтизиатры любят томограммы.

Helios аватар
Не на сайте
Был на сайте: 7 месяцев 2 недели назад
Зарегистрирован: 06.08.2010 - 15:16
Публикации: 4417

Катенёв Валентин Львович wrote:

Наши фтизиатры любят томограммы.

А сами их читают или только любят?

Катенёв Валентин Львович аватар
Не на сайте
Был на сайте: 7 лет 2 недели назад
Зарегистрирован: 22.03.2008 - 22:15
Публикации: 54876

Нет. У нас в ОПТД стандарт - томограммы.