ФКТЛ.

Пол пациента: 
Тип патологии: 
Методы исследования: 

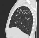
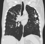
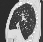
Пациент, впервые заболел в 02 году в ЗК, после рецидив в 07, потом в 11году. Сейчас состоит по активной группе с диагнозом: ФКТЛ легких , 1А (-)ГДУ. А по КТ оказалось, что все и не плохо.

  • https://radiomed.ru/sites/default/files/styles/case_slider_image/public/user/16789/img-0002-00001_23.jpg?itok=0N_R4-J-
  • https://radiomed.ru/sites/default/files/styles/case_slider_image/public/user/16789/img-0003-00001_19.jpg?itok=I1y4unyC
  • https://radiomed.ru/sites/default/files/styles/case_slider_image/public/user/16789/img-0004-00001_18.jpg?itok=CRJBqg9P
  • https://radiomed.ru/sites/default/files/styles/case_slider_image/public/user/16789/img-0005-00001_16.jpg?itok=s5ZJif3b
  • https://radiomed.ru/sites/default/files/styles/case_slider_image/public/user/16789/img-0006-00001_13.jpg?itok=A7Z8GBqz
  • https://radiomed.ru/sites/default/files/styles/case_slider_image/public/user/16789/img-0009-00001_11.jpg?itok=oMjtNUmK
  • https://radiomed.ru/sites/default/files/styles/case_slider_image/public/user/16789/img-0010-00001_10.jpg?itok=_FVFYwTY
  • https://radiomed.ru/sites/default/files/styles/case_slider_image/public/user/16789/img-0011-00001_7.jpg?itok=k8JMXUDJ
  • https://radiomed.ru/sites/default/files/styles/case_slider_image/public/user/16789/img-0012-00001_10.jpg?itok=WBllKpG3
  • https://radiomed.ru/sites/default/files/styles/case_slider_image/public/user/16789/img-0013-00001_8.jpg?itok=JCFDxCWh
  • https://radiomed.ru/sites/default/files/styles/case_slider_image/public/user/16789/img-0014-00001_6.jpg?itok=rcVMpjeX
ID:30659
НАДЕЖДА ЮРЬЕВНА аватар
Не на сайте
Был на сайте: 7 лет 4 месяцев назад
Зарегистрирован: 30.07.2012 - 13:14
Публикации: 360

Еще картинки.

Приложения: 
img-0015-00001.jpgimg-0016-00001.jpgimg-0017-00001.jpgimg-0018-00001.jpgimg-0020-00001.jpgimg-0021-00001.jpg
НАДЕЖДА ЮРЬЕВНА аватар
Не на сайте
Был на сайте: 7 лет 4 месяцев назад
Зарегистрирован: 30.07.2012 - 13:14
Публикации: 360

Остатки сканов..

Приложения: 
img-0023-00001.jpgimg-0024-00001.jpgimg-0025-00001.jpgimg-0026-00001.jpgimg-0027-00001.jpgimg-0028-00001.jpg
Сергей Кузьминов аватар
Не на сайте
Был на сайте: 1 год 5 месяцев назад
Зарегистрирован: 06.10.2012 - 15:51
Публикации: 11813

Чегоже здесь неплохого?

И.Бондаренко аватар
Не на сайте
Был на сайте: 13 часов 51 минут назад
Зарегистрирован: 13.09.2011 - 22:55
Публикации: 9213

Кроме ФКТ, думаю, что ещё и множество туберкулём. Или это очагами называете? Если туберкулёмы, то в 6-ке справа похоже на распад.