Пол пациента:
Тип патологии:
Область исследования:
Методы исследования:
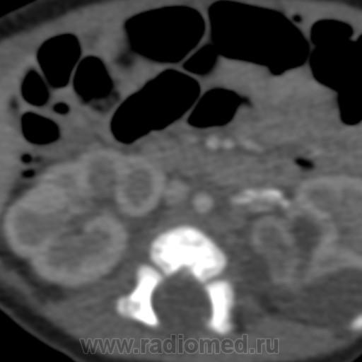
Девочка, 1 месяц, по УЗИ - кисты в области верхнего полюса левой почки. Сделали КТ, кисты оказались уретерогидронефрозом верхней половины удвоенной почки, с отсутствием функции. А вот что за кальцинаты по ходу почечной вены???
Дайкомы тут: https://cloud.mail.ru/public/c242ddc58f0a/ureterohydro.zip
- https://radiomed.ru/sites/default/files/styles/case_slider_image/public/user/2849/00042.jpg?itok=Hss4Exjq
- https://radiomed.ru/sites/default/files/styles/case_slider_image/public/user/2849/00043.jpg?itok=myJoNyh-
- https://radiomed.ru/sites/default/files/styles/case_slider_image/public/user/2849/00044.jpg?itok=8B7V-CRc
- https://radiomed.ru/sites/default/files/styles/case_slider_image/public/user/2849/00046.jpg?itok=o3ntkicL
- https://radiomed.ru/sites/default/files/styles/case_slider_image/public/user/2849/00047.jpg?itok=4HPCeSQw
- https://radiomed.ru/sites/default/files/styles/case_slider_image/public/user/2849/11138.jpg?itok=GwTNbTNo
- https://radiomed.ru/sites/default/files/styles/case_slider_image/public/user/2849/11139.jpg?itok=6yXJou8h
- https://radiomed.ru/sites/default/files/styles/case_slider_image/public/user/2849/11140.jpg?itok=917FN9Up
- https://radiomed.ru/sites/default/files/styles/case_slider_image/public/user/2849/11141.jpg?itok=gTD2Le6G
- https://radiomed.ru/sites/default/files/styles/case_slider_image/public/user/2849/11142.jpg?itok=0cu8xAgH
- https://radiomed.ru/sites/default/files/styles/case_slider_image/public/user/2849/11144.jpg?itok=6yL_Nbqk
- https://radiomed.ru/sites/default/files/styles/case_slider_image/public/user/2849/11145.jpg?itok=LO0ZasDu
- https://radiomed.ru/sites/default/files/styles/case_slider_image/public/user/2849/11147.jpg?itok=cPsefwxF
- https://radiomed.ru/sites/default/files/styles/case_slider_image/public/user/2849/11148.jpg?itok=kwhQBmAN
- https://radiomed.ru/sites/default/files/styles/case_slider_image/public/user/2849/11150.jpg?itok=iNbo8yXY
- https://radiomed.ru/sites/default/files/styles/case_slider_image/public/user/2849/11153.jpg?itok=iy59xonx
- https://radiomed.ru/sites/default/files/styles/case_slider_image/public/user/2849/22228.jpg?itok=iVGY_RNh
- https://radiomed.ru/sites/default/files/styles/case_slider_image/public/user/2849/22229.jpg?itok=-y5-Iuv-
- https://radiomed.ru/sites/default/files/styles/case_slider_image/public/user/2849/22231.jpg?itok=f76hpMEN
- https://radiomed.ru/sites/default/files/styles/case_slider_image/public/user/2849/22231_0.jpg?itok=Gq_yUIGx
- https://radiomed.ru/sites/default/files/styles/case_slider_image/public/user/2849/22232.jpg?itok=R7HDvARg
- https://radiomed.ru/sites/default/files/styles/case_slider_image/public/user/2849/22233.jpg?itok=JlX8CrJi
- https://radiomed.ru/sites/default/files/styles/case_slider_image/public/user/2849/22234.jpg?itok=5uIKtCOP
ID:37282