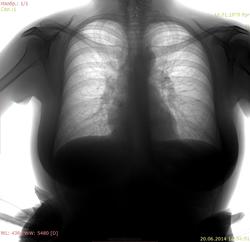
Пациентка 1979 г.р., жалоб активно не предъявляла. Есть ли признаки нарушения бронхиальной проходимости (гиперпневматизация верхушек, уплощение диафрагмы)?
Есть ли признаки нарушения бронхиальной проходимости (гиперпневматизация верхушек, уплощение диафрагмы)?
Уплощение диафрагмы можно лишь на скопии или на вдохе-выдохе, двумя снимками поймать. Гиперпневматизацию оценить сейчас проблематично. Цифра играет совсем не режимно, и это бывает критично. А ещё бывает форма грудной клетки такая, конституциональная.)) Поэтому архив хорошо, а насмотренность вариативности нормы - лучше!)
"Лишь утратив всё до конца, мы обретаем свободу." F.C.
Я бы норму писала.
"Слушай всех, прислушивайся к немногим, решай сам".©
Норма, просто не глубоко вдохнула, по сравнению с архивом.
Фигурка вродь ниче
Норма.
+3
Уплощение диафрагмы можно лишь на скопии или на вдохе-выдохе, двумя снимками поймать. Гиперпневматизацию оценить сейчас проблематично. Цифра играет совсем не режимно, и это бывает критично. А ещё бывает форма грудной клетки такая, конституциональная.)) Поэтому архив хорошо, а насмотренность вариативности нормы - лучше!)
"Лишь утратив всё до конца, мы обретаем свободу." F.C.