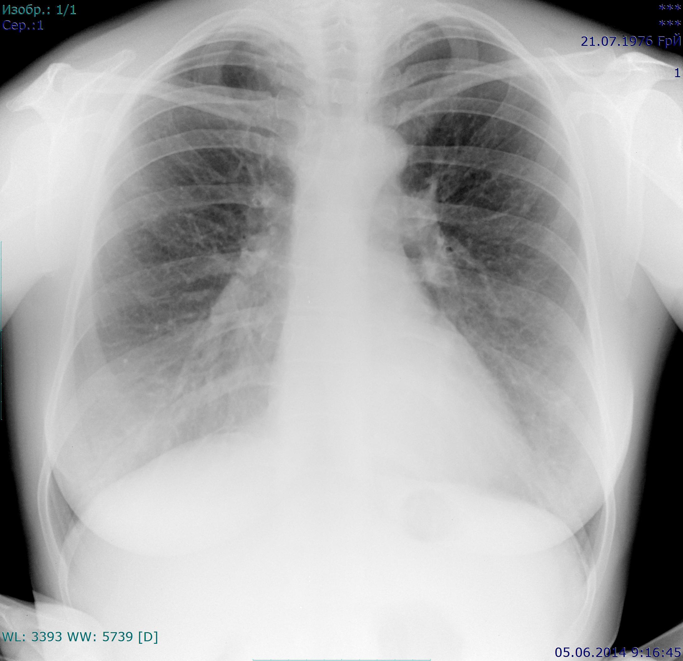
Пациентка 1948 г.р., жалоб нет, проф флг, твс в анамнезе отрицает. Тень в верхне-медиальном отделе справа - доля непарной вены? С фиброзом? На ателектаз вроде непохоже, на ВПВ тоже не очень. Архива нет, последнее флг около 4 лет назад, не вызывали.
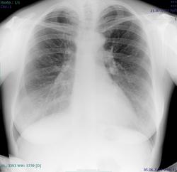
Если можно, довеском. Пациентка 1976 г.р., жалоб нет, проф флг. Требует ли дообследования тень в проекции 3 р слева? Последний - архив 2009г.
- https://radiomed.ru/sites/default/files/styles/case_slider_image/public/user/18954/zlt_pr00001_1.jpg?itok=3wkZIa7i
- https://radiomed.ru/sites/default/files/styles/case_slider_image/public/user/18954/zlt_bok00001.jpg?itok=k-3mozS8
- https://radiomed.ru/sites/default/files/styles/case_slider_image/public/user/18954/zlt_bok00001_1.jpg?itok=Qy9i4eVc
- https://radiomed.ru/sites/default/files/styles/case_slider_image/public/user/18954/fdn_0900001.jpg?itok=v-JpHQAa
- https://radiomed.ru/sites/default/files/styles/case_slider_image/public/user/18954/fdn_sil00001.jpg?itok=U4D9CyLe
- https://radiomed.ru/sites/default/files/styles/case_slider_image/public/user/18954/fdn0000_11.jpg?itok=F7m_LiZ6
- https://radiomed.ru/sites/default/files/styles/case_slider_image/public/user/18954/fdn_sil00001_0.jpg?itok=juXUyZov
- https://radiomed.ru/sites/default/files/styles/case_slider_image/public/user/18954/fdn_sil00001_1.jpg?itok=W-KPTp7w
- https://radiomed.ru/sites/default/files/styles/case_slider_image/public/user/18954/fdn_0900001_0.jpg?itok=h2WtkGhF
ID:46333
Эх,schlyapa, schlyapa
! Просили же, не надо "два в одном". Сразу коллапс мозгов от обилия предложенных снимков.
Выскажусь пока только по второму. Очаговая тень появилась.На архивном снимке её не было. Поэтому : или дообследование, или хотя бы заднюю проекцию (с отведенными лопатками) стоит доделать
"Слушай всех, прислушивайся к немногим, решай сам".©
Да, насчет лопаток, не очень получается, надо чтобы они как можно сильнее руки разворачивали (как Вы описывали), чтобы плечевые суставы как бы вперед и медиально смещались?
Ну тогда остаётся - кисти тыльными сторонами на пояс и локти вперёд (старый прорверенный способ). Если лаборант захочет локти убрать - найдёт как. А пока Вы миритесь с тем, что Вам предлагают - будете "кушать", что подают.
"Слушай всех, прислушивайся к немногим, решай сам".©
Лаборанты хотят меньше дообследований и больные тоже, уже жалобы руководству поступают.
Пусть" проблемы индейцев шерифа не волнуют". Ваша задача не попустить и не запустить. Пациентам всегда не ленюсь сказать, что очень рада за них, что мои подозрения не подтвердились.И что лучше лишний раз перепроверить, чем получить проблемы со здоровьем. Как правило, люди относятся с пониманием.
А лаборанты... пусть добросовестнее делают своё дело, тогда и дообследований будет меньше. По своим сужу : человеческий фактор имеет значение. Бояться их Вы не должны. Вы - выше рангом, даже если менее опытны.
По первому случаю, просто мысли вслух: похоже на долю непарной вены с утолщённой плеврой
"Слушай всех, прислушивайся к немногим, решай сам".©
Согласна со всем вышесказанным - про "индейцев " и т.п. Как Вы организуете работу, так и будет. Лаборанты тоже люди ), просто надо найти к ним подход.
№ 1 скорее да, доля v.azygos, № 2 норма -сосуд,разница в установке.
Не нам судить…
Может и сосуды, а может и нет (крупновато). Я с такими тенюшками, выявленными впервые, предпочитаю разобраться, чем потом меня, как плохого котёнка , будут носом тыкать в моё..... и интересоваться, куда ж я смотрела.
"Слушай всех, прислушивайся к немногим, решай сам".©
А здесь в 1 м/р слева - сосуд?
Это может быть плотным очагом или эностозом в заднем отрезке V ребра. Эта тень интенсивная. Тревоги не вызывает.
"Слушай всех, прислушивайся к немногим, решай сам".©
При чем здесь лаборанты, и мало ли, что они хотят!
Если Вы их не поставите на место, что очень плохо, то они будут Вами погонять, а это очень не есть хорошо для ДОКТОРА!