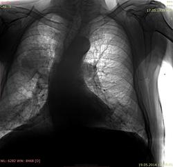
ФЛГ

Пациент 1939 г.р., обследуется с подозрением на нео ротовой полости, диагноз не верифицирован. Легочный анамнез - без особенностей. Исследование ОГК не проводилось несколько лет, архива нет. Жалоб нет, температура нормальная. Сколиоз.

 

Наверное, это не очень похоже на мтс? Скорее cr легкого или м.б. tbc?

  • https://radiomed.ru/sites/default/files/styles/case_slider_image/public/user/18954/pr00001_1_3.jpg?itok=Ji3y3sZE
  • https://radiomed.ru/sites/default/files/styles/case_slider_image/public/user/18954/pr_sil00001_0.jpg?itok=eMrS28rN
  • https://radiomed.ru/sites/default/files/styles/case_slider_image/public/user/18954/pr_sil00001_1_0.jpg?itok=dKE4dpwT
  • https://radiomed.ru/sites/default/files/styles/case_slider_image/public/user/18954/bok_sil00001_1.jpg?itok=hurxbSPK
  • https://radiomed.ru/sites/default/files/styles/case_slider_image/public/user/18954/bok_sil00001.jpg?itok=soGdY0N6
ID:46609
NIL аватар
NIL
Не на сайте
Был на сайте: 1 месяц 2 недели назад
Зарегистрирован: 25.11.2013 - 20:50
Публикации: 18208

Я - за С-r.


"Слушай всех, прислушивайся к немногим, решай сам".©

vladgess аватар
Не на сайте
Был на сайте: 4 года 9 месяцев назад
Зарегистрирован: 01.09.2012 - 02:55
Публикации: 50

Периферический с централизацией, уж близко к корню прилежит, хотя по боковому больше похоже на центральный ВДБ с  неполным ателектазом S1.

atexta аватар
Не на сайте
Был на сайте: 2 года 11 месяцев назад
Зарегистрирован: 08.02.2014 - 18:41
Публикации: 4842

Мне кажется больше на мтс похоже, структура какая-то размытая для образования и гиповентиляции не вижу. Скажите потом результат, если будет дообследвание.

Не нам судить…

алкс аватар
Не на сайте
Был на сайте: 10 лет 2 месяцев назад
Зарегистрирован: 24.10.2012 - 22:55
Публикации: 2915

vladgess wrote:

Периферический с централизацией, уж близко к корню прилежит, хотя по боковому больше похоже на центральный ВДБ с  неполным ателектазом S1.

Это справа, а слева корень имеет мт из из правого? ИМХО - если не МТ , то лимфомаdevil, или другая ома , но не рак...