ФЛГ

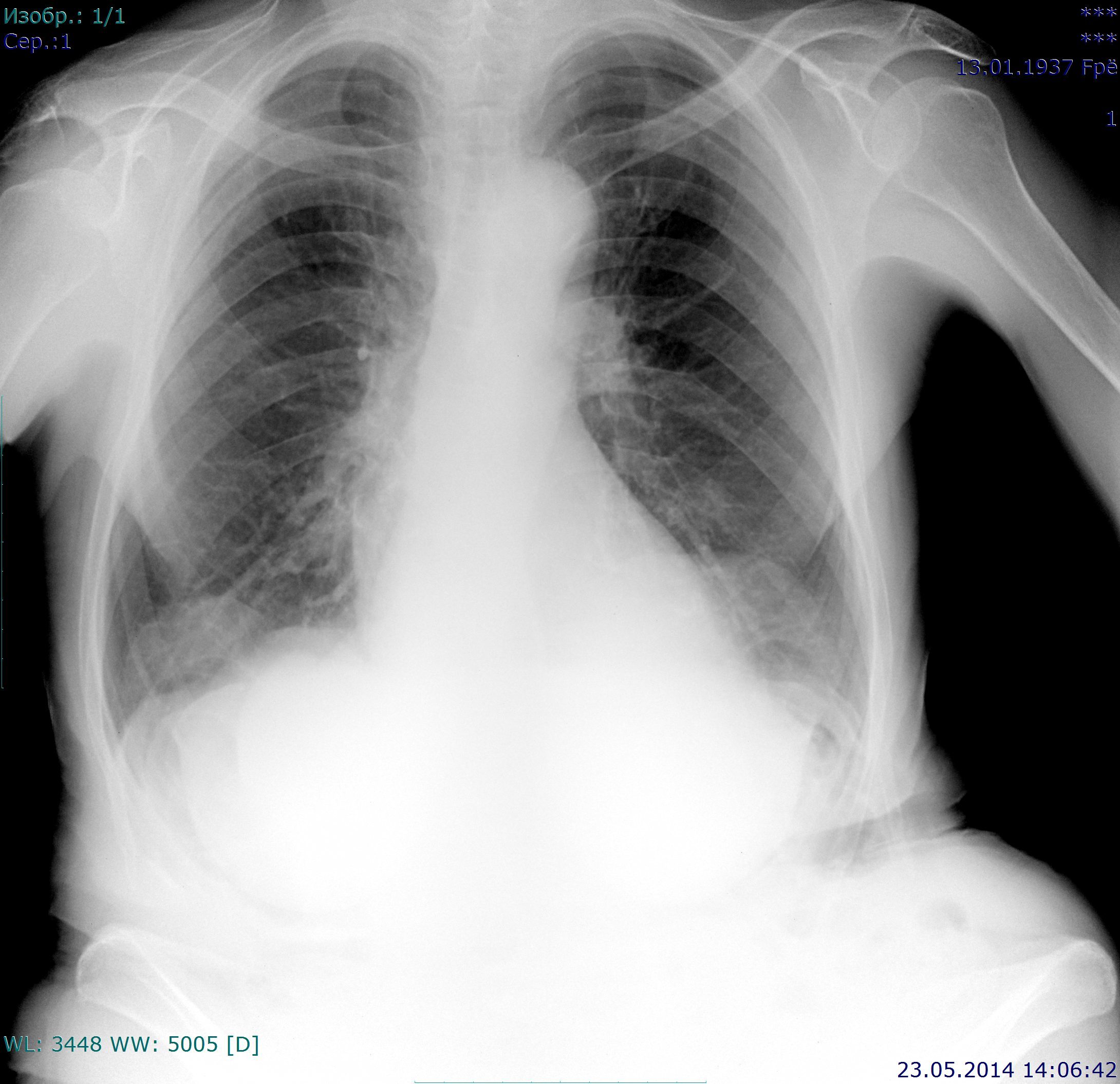
Пациентка 1937 г.р., проф флг. Архива нет. Пневмосклероз.

Тени, отмеченные красным - частичная релаксация куполов диафрагмы (передних её отделов)?

  • https://radiomed.ru/sites/default/files/styles/case_slider_image/public/user/18954/pr00001_1_2.jpg?itok=0_8jkJdx
  • https://radiomed.ru/sites/default/files/styles/case_slider_image/public/user/18954/bok00001_1_2.jpg?itok=NKDp3NpC
  • https://radiomed.ru/sites/default/files/styles/case_slider_image/public/user/18954/bok00001_3.jpg?itok=XxiJ5qFT
  • https://radiomed.ru/sites/default/files/styles/case_slider_image/public/user/18954/pr00001_2_0.jpg?itok=AV_vX-i0
ID:46603
NIL аватар
NIL
Не на сайте
Был на сайте: 23 часа 49 минут назад
Зарегистрирован: 25.11.2013 - 20:50
Публикации: 18203

По боковому релаксации не видно. Считаю, что отмеченные Вами тени это задние отделы куполов диафрагмы (снимки выполнены с наклоном)

Приложения: 
bok00001_1_2.jpg


"Слушай всех, прислушивайся к немногим, решай сам".©

Любовь С. аватар
Не на сайте
Был на сайте: 9 лет 5 месяцев назад
Зарегистрирован: 23.12.2010 - 01:58
Публикации: 2324

Грыжи Богдалека скорее.

"Предоставляя весь смысл и совершенство в распоряжение одного только Бога, вы избавляете себя от бездны хлопот." Джон Уитборн.

Nobody аватар
Не на сайте
Был на сайте: 11 лет 3 недели назад
Зарегистрирован: 15.03.2014 - 20:29
Публикации: 2013

NIL wrote:

По боковому релаксации не видно. Считаю, что отмеченные Вами тени это задние отделы куполов диафрагмы (снимки выполнены с наклоном)

Напротив, отмеченное - тени передних отделов куполов диафрагмы. Точно не грыжи, которые с Любовью рекомендовались Вам.;)

"Лишь утратив всё до конца, мы обретаем свободу." F.C.