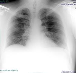
Пациент 1974 г.р., кашель, повышение температуры. Увеличение бронхопульмональных ЛУ справа. Можно ли, предполагая, что гиперплазия ЛУ может быть вызвана вирусной инфекцией (например, инфекционный мононуклеоз) назначить контроль или желательна конс фтизиатра? Архива нет. Изменинения 1 р справа - посттравматические?
Охота вам так голову ломать с инфекционным мононуклеозом. Пишите "р-признаки лимфоаденопатии", к "конс фтизиатра" можете добавить "конс. онколога" и успокоиться. Р-контроль вряд ли будет информативен.
Остановился бы на стрессовом переломе.
Андрей Юрьевич
Учитывая поломанную ключицу, перелом I ребра справа вполне может быть травматическим.
"Слушай всех, прислушивайся к немногим, решай сам".©
Вот это правильно! А Андрей Юрьевич не смотрит на перелом ключицы, нравится ему стрессовый перелом, которому никак не суждено случится.))
И отчего лимфоаденопатия односторонняя?.. Либо - с обеих сторон, либо... - очередной поворот!))
"Лишь утратив всё до конца, мы обретаем свободу." F.C.
Моё мнение - патологический на фоне зоны патологической перестройки или как пишут стрессовой.
Досняли. Первый снимок был с неполным вдохом. Уже собиралась отправлять в ПТД.
Надеюсь, полегчало?
"Слушай всех, прислушивайся к немногим, решай сам".©
Нет. Мне непонятно, как дифференцировать расширение корней за счет сосудов и лу. По боковому не всегда получается. Если я всех с подозрением на лимфаденопатию буду переснимать нарушится работа кабинета.
Если есть возможность, почитайте 2-х томнк Л.С.Розенштраух,М.Г.Виннер "Дифференциальная рентгенодиагенростика заболеваний органов дыхания и средостения". замечательная моногрфия и очень Вам поможет.
"Слушай всех, прислушивайся к немногим, решай сам".©
Т.е. по первому снимку сразу можно было сказать, что это сосуды?
Да сложно. Если вас утешит, при застое могут быть и т.н. "опухолеподобные" корни.
Андрей Юрьевич
Конечно.
Пожалуйста, скажите, по каким признакам. Только по неполному вдоху и одностороннему поражению?
[/quote] Здесь нет одностороннего поражения. А на полноту вдоха-выдоха ( смотрите- на каком уровне купол диафрагмы) всегда обращайте внимание и небольшой разворот, особенно у детей- сразу " вылечите" от многих болезней![/quote] ++
Вот видите, как легко и просто. А КТ-шники даже на нативе, зачастую, не могут ответить на этот вопрос. Только законтрастировав.
Андрей Юрьевич
Правильнее было бы, изредка.)) Режимами умело пользуются КТ-шники, и без контрастирования сосудов видят они лимфоузлы.)
"Лишь утратив всё до конца, мы обретаем свободу." F.C.
Только Никто может мнение спокойно своё изменить. Ведь Никто он, ему так легче жить.)
Подумав чутка, решил, что поторопился слегка. Наталья Ивановна, от версии Вашей немного подвинусь. Нет, к Андрею Юрьевичу в стресс-перелом не шагну)), в версию варианта развития 1 ребра я, пожалуй, уйду.:)
"Лишь утратив всё до конца, мы обретаем свободу." F.C.
Ну, и на структуру самих корней внимание обращайте. Старайтесь различить сосуды, спокойно, не торопясь... Книгу Вам уже посоветовали. И нормы побольше в память откладывайте. Без этого и Никто никак.:)
"Лишь утратив всё до конца, мы обретаем свободу." F.C.