- https://radiomed.ru/sites/default/files/styles/case_slider_image/public/user/18954/img-0001-000y01_0.jpg?itok=bMhy8RN-
- https://radiomed.ru/sites/default/files/styles/case_slider_image/public/user/18954/200001_0.jpg?itok=hmdpAcgG
- https://radiomed.ru/sites/default/files/styles/case_slider_image/public/user/18954/2000011.jpg?itok=my5rqK-o
- https://radiomed.ru/sites/default/files/styles/case_slider_image/public/user/18954/arh00001.jpg?itok=-Kbc2Znh
- https://radiomed.ru/sites/default/files/styles/case_slider_image/public/user/18954/arh000y01.jpg?itok=Z0kp0T4K
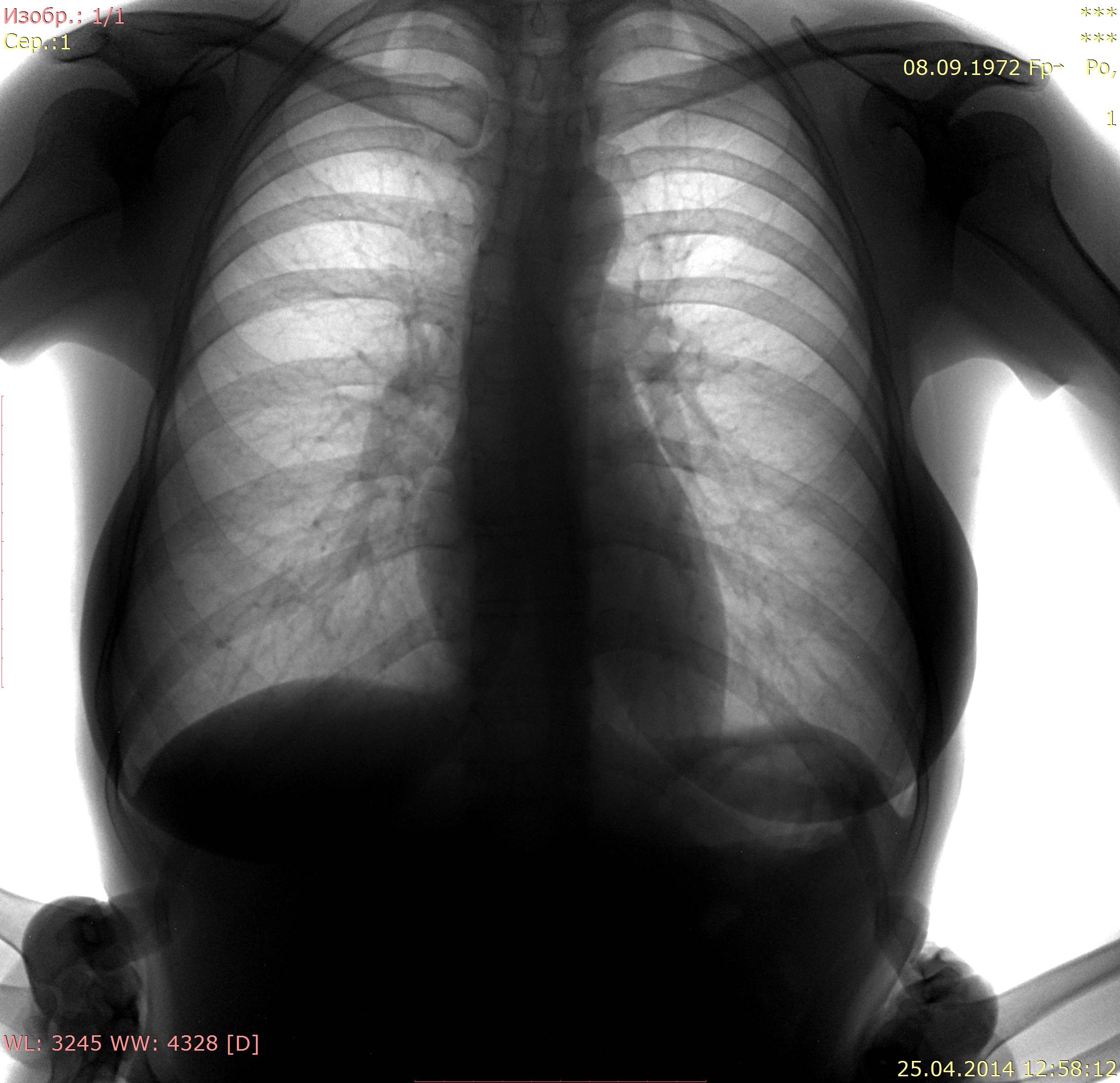
ID:46777
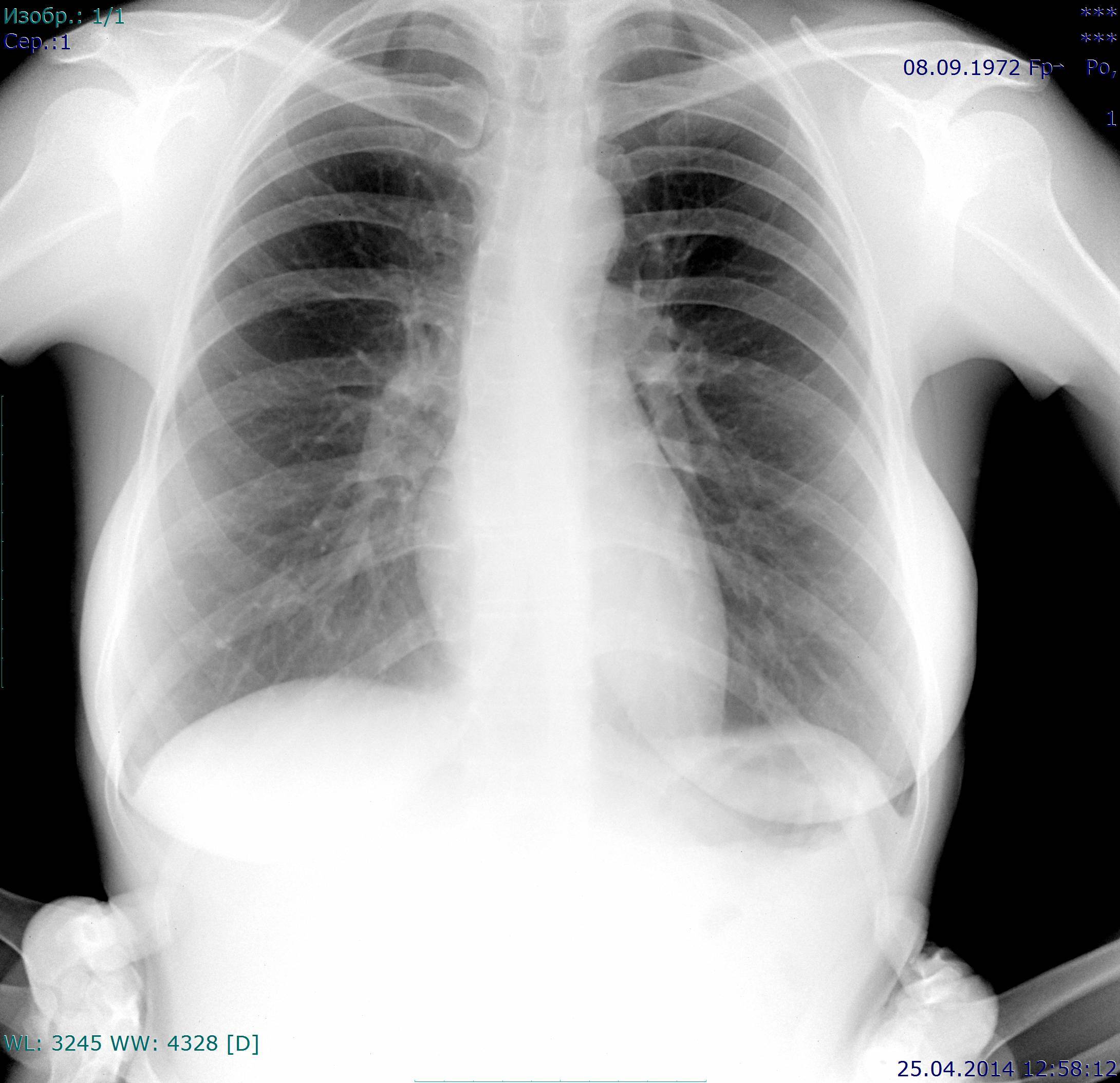
Мне кажется здесь норма.
Да, какой-то кругляш-овал есть. Спросите лаборантов, а лучше пациентку-полностью раздели или нет? Это может быть на одежде-уж больно четко очерчен.Или скиалогия шутки шутит.Может, еще коллеги выскажутся.
Вроде сосуды.Завтра на работе посмотрю на большом мониторе.
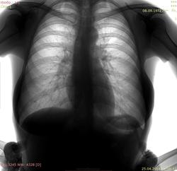
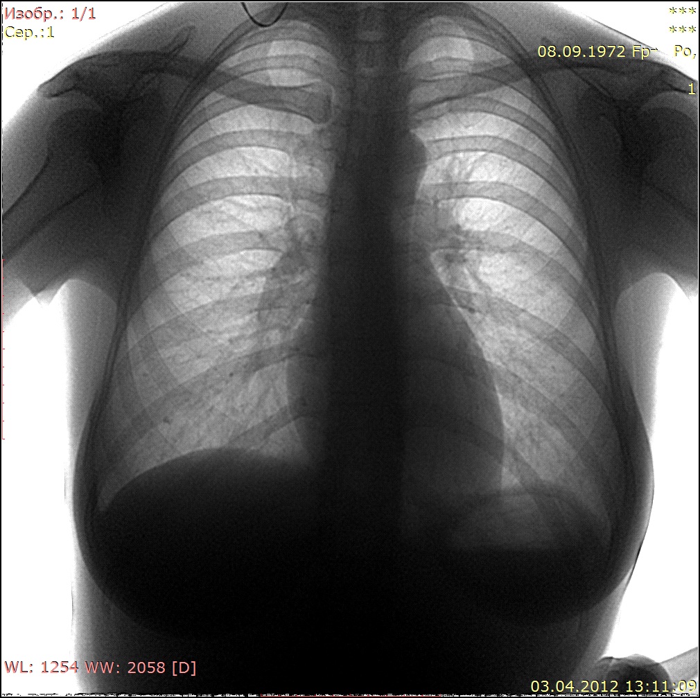
На архивных снимках этой тени нет.
Тоже вижу округлую тень
"Слушай всех, прислушивайся к немногим, решай сам".©
И что будем делать - дообследовать, то есть пациентку томографом нужно порезать? А в направлении обозначим как дообследование того, что призначилось нам?)
"Лишь утратив всё до конца, мы обретаем свободу." F.C.
"Слушай всех, прислушивайся к немногим, решай сам".©
Пересняли
Теперь ничего криминального не вижу. Пусть живёт долго и счастливо!
"Слушай всех, прислушивайся к немногим, решай сам".©
Норма.
Все равно кажется тонкостенная воздушная полость есть-но тут глубокое ИМХО.Сосудистый рисунок, видимо. Но на боковой тоже есть.Очень ИМХО. Но и с этим можно жить долго и счастливо.Не будем придираться.
Такая вот штука - скиалогия. Захваченный за десятую долю секунды момент жизни пациента не всегда говорит правду. О нём, о пациенте.
На втором снимке, в отличие от первого, задний отрезок 4-го ребра справа расположен выше ключицы, а на первом снимке - на ключице. На втором снимке наружные синусы больше прикрыты тенями молочных желез, на первом снимке - меньше. Значит центральный луч при съёмке во втором случае располагался выше, чем в первом случае, и видимая на первом снимке тень на втором сместилась книзу. Потеряла четкость, располагается там же, на 6-м ребре, но ниже. И все равно линия сосудистого рисунка здесь как бы замыкает овал.
Может и не прав, но как-то хочется объяснить феномен?
С Уважением, Дмитрий.
Когда сумневаюсь, переделываю, только в задней прямой проекции и в 3/4. Иногда + на максимальном вдохе и выдохе. Пока вроде прокатывало. Если оно есть, то есть. Отправляю на КТ. Если оно нет, то пусть живет. Опять же через год, сравнивая архив и усматривая не совсем стандартные проекции, понятно, что что-то не нравилось и тогда - повод подумать.
Я вообще только учусь, но тут на сайте кроме линеек, почему-то редко кто делает косые.
...... еще бы в рентгенологии что-нибудь понимать.
"Слушай всех, прислушивайся к немногим, решай сам".©
Дмитрий, доброго времени суток! Так какой феномен нужно объяснить-то - скиалогический?) Ведь Вы его отлично уже объяснили. Только вот тень, призначившуюся, отчего-то не отпустили.)
"Лишь утратив всё до конца, мы обретаем свободу." F.C.