флг

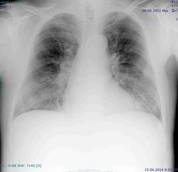
Страдает бр астмой, 1955 г.р., повышение температуры до 39 градусов, есть ли пневмония (2-сторонняя н\долевая?)?

Архив - декабрь 2013

  • https://radiomed.ru/sites/default/files/styles/case_slider_image/public/user/18954/04_1400001.jpg?itok=5xP6KGLS
  • https://radiomed.ru/sites/default/files/styles/case_slider_image/public/user/18954/img-0002-00001_v.jpg?itok=ATlOIdg3
  • https://radiomed.ru/sites/default/files/styles/case_slider_image/public/user/18954/img-0002-00001.jpg?itok=r3OSXylq
  • https://radiomed.ru/sites/default/files/styles/case_slider_image/public/user/18954/img-0001-0y0001.jpg?itok=VVnok4-_
  • https://radiomed.ru/sites/default/files/styles/case_slider_image/public/user/18954/img-0001-00001_0.jpg?itok=a9o0xC9q
ID:46687
largooowinch аватар
Не на сайте
Был на сайте: 10 лет 3 месяцев назад
Зарегистрирован: 29.10.2013 - 22:07
Публикации: 65

я бы смело написал 2-сторонняя н\долевая пневмония

Сергей Кузьминов аватар
Не на сайте
Был на сайте: 1 год 4 месяцев назад
Зарегистрирован: 06.10.2012 - 15:51
Публикации: 11813

Вроде есть.

schlyapa аватар
Не на сайте
Был на сайте: 8 лет 4 месяцев назад
Зарегистрирован: 27.09.2013 - 22:15
Публикации: 613

Можно ли ее назвать мелкоочаговой?

Сергей Кузьминов аватар
Не на сайте
Был на сайте: 1 год 4 месяцев назад
Зарегистрирован: 06.10.2012 - 15:51
Публикации: 11813

А зачем на ФГР такие тонкости?

Сольвейг аватар
Не на сайте
Был на сайте: 3 года 9 месяцев назад
Зарегистрирован: 05.02.2013 - 20:25
Публикации: 2239

Саркоидоз бегом исключайте!

schlyapa аватар
Не на сайте
Был на сайте: 8 лет 4 месяцев назад
Зарегистрирован: 27.09.2013 - 22:15
Публикации: 613

Архив за 2009 и 2010 г соответственно

Приложения: 
200900001.jpg201000001.jpg
Сольвейг аватар
Не на сайте
Был на сайте: 3 года 9 месяцев назад
Зарегистрирован: 05.02.2013 - 20:25
Публикации: 2239

schlyapa wrote:
Можно ли ее назвать мелкоочаговой?
Вы просто описываете эту картину как диссеминированный процесс, лимфааденопатию под знаком "?", т.к. при бронхиальной астме бывают такие корни и без увеличенных л/у. А дальше клиницист уже разберется, что-куда.Может, и пневмонию сначала полечит.

maker4ik аватар
Не на сайте
Был на сайте: 8 лет 11 месяцев назад
Зарегистрирован: 19.10.2011 - 17:49
Публикации: 2682

Сомнительные пневмонии.

schlyapa аватар
Не на сайте
Был на сайте: 8 лет 4 месяцев назад
Зарегистрирован: 27.09.2013 - 22:15
Публикации: 613

Пациент в начале года проходил КТ, доктору, смотревшему декабрьскую флг, не понравилась тень в среднем легочном поле слева, (где консолид перелом заднего отрезка ребра), на КТ (диска нет), кроме уплотнения в нижних отделах правого легкого, связанного с плеврой и расцененного как постпневмонический фиброз, ничего не нашли.

Дмитрий Волегов аватар
Не на сайте
Был на сайте: 3 года 10 месяцев назад
Зарегистрирован: 22.05.2013 - 00:32
Публикации: 1148

Что в анализах крови? Пневмонии не видно. Есть усиление легочного рисунка. Усиление легочного рисунка с 2009 года для БА не характерно, возможно прогрессирование диффузного интерстициального процесса. Наверное нужно КТ в динамике.

С Уважением, Дмитрий.

atexta аватар
Не на сайте
Был на сайте: 3 года 2 месяцев назад
Зарегистрирован: 08.02.2014 - 18:41
Публикации: 4842

Полечите пневмонию, а дальше уж по  динамике 

Не нам судить…

schlyapa аватар
Не на сайте
Был на сайте: 8 лет 4 месяцев назад
Зарегистрирован: 27.09.2013 - 22:15
Публикации: 613

Посмотрим на контроле, а сегодня мне попался случай верифицированного саркоидоза

Приложения: 
img-0003-00001.jpg300001.jpg
Дмитрий Волегов аватар
Не на сайте
Был на сайте: 3 года 10 месяцев назад
Зарегистрирован: 22.05.2013 - 00:32
Публикации: 1148

schlyapa wrote:

Посмотрим на контроле, а сегодня мне попался случай верифицированного саркоидоза

Спасибо. Красивые снимки.

С Уважением, Дмитрий.

schlyapa аватар
Не на сайте
Был на сайте: 8 лет 4 месяцев назад
Зарегистрирован: 27.09.2013 - 22:15
Публикации: 613

Контроль, наверное, все же пневмония.

Приложения: 
100001.jpg10000y1.jpg
Сольвейг аватар
Не на сайте
Был на сайте: 3 года 9 месяцев назад
Зарегистрирован: 05.02.2013 - 20:25
Публикации: 2239

schlyapa wrote:

Контроль, наверное, все же пневмония.

Не факт. Саркоидоз нельзя исключить.