ФЛГ

Жалобы на кашель, около 40 лет, в анамнезе твс, тень в наддиафрагмальной области - плевральные наслоения? Пока написала пневмонию и контроль. Подмывает направить к фтизиатру. Последний снимок - архив .

 

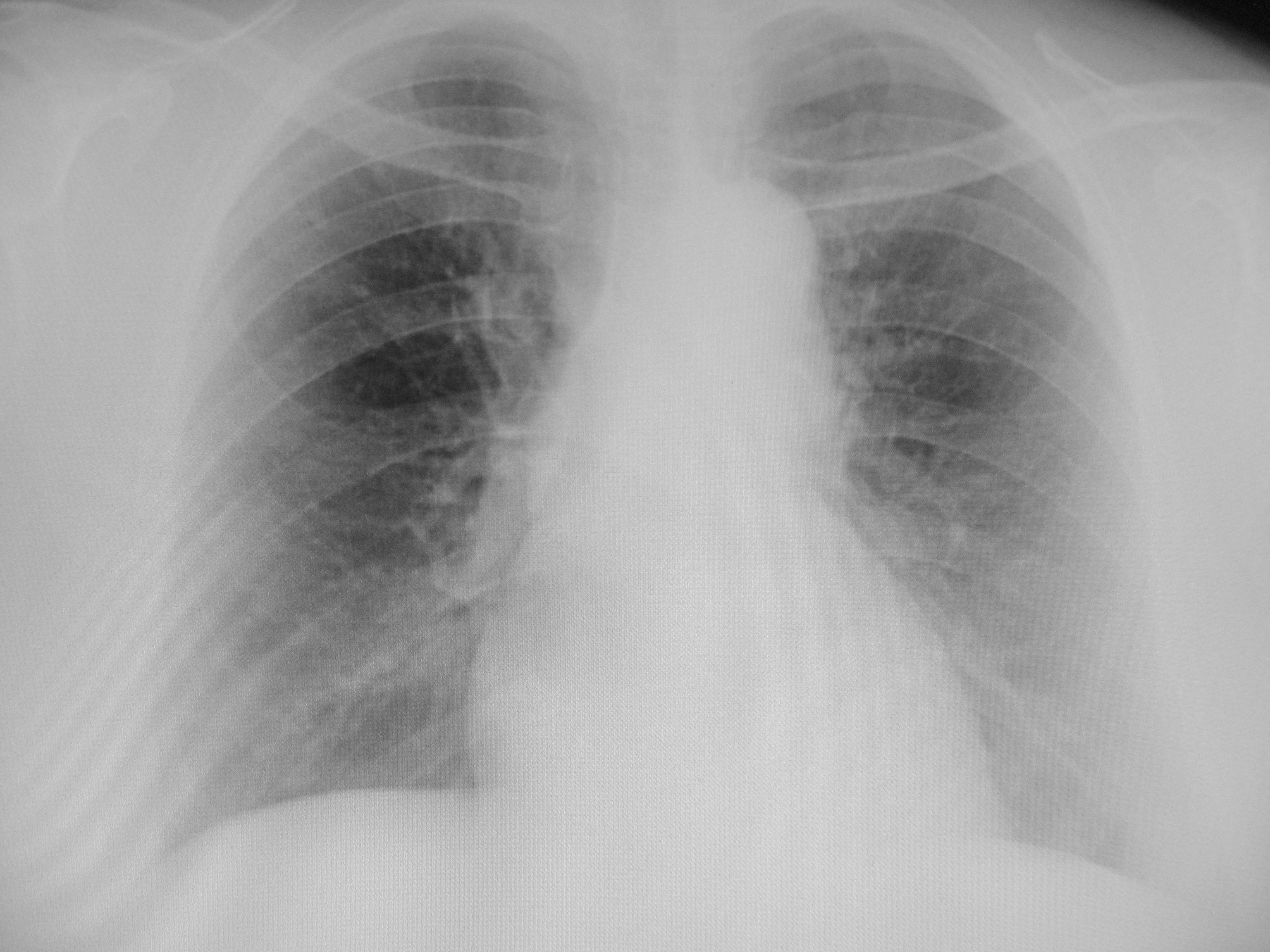
Проф флг, женцина около 50 лет, увеличение размеров правого предсердия, левого предсердия и желудочка. Не должен ли быть при такой картине застой по мкк? Последний - архив.

 

Очаговый твс? Последний - архив.

 

Пациентка 1926 гр, жалобы на кашель, боль в пр боку. Пока написала пневмонию и контроль, но, наверное, сr периферический? Может ли так выглядеть инф твс?

 

Пациент 1975 гр, страдает ревмат артритом, для ВТЭК, есть ли диффузный пневмосклероз?

  • https://radiomed.ru/sites/default/files/styles/case_slider_image/public/user/18954/img_2820.jpg?itok=4_AgsEK3
  • https://radiomed.ru/sites/default/files/styles/case_slider_image/public/user/18954/img_2823.jpg?itok=EtWBfnXA
  • https://radiomed.ru/sites/default/files/styles/case_slider_image/public/user/18954/img_2824.jpg?itok=rHYTMoEh
  • https://radiomed.ru/sites/default/files/styles/case_slider_image/public/user/18954/img_2821.jpg?itok=O-Q8b34Y
  • https://radiomed.ru/sites/default/files/styles/case_slider_image/public/user/18954/img_2825.jpg?itok=VjoDO5hd
  • https://radiomed.ru/sites/default/files/styles/case_slider_image/public/user/18954/img_2826.jpg?itok=mM7VY_3l
  • https://radiomed.ru/sites/default/files/styles/case_slider_image/public/user/18954/img_2827.jpg?itok=0QK_r5iz
  • https://radiomed.ru/sites/default/files/styles/case_slider_image/public/user/18954/img_2828.jpg?itok=RJRJNw-D
  • https://radiomed.ru/sites/default/files/styles/case_slider_image/public/user/18954/img_2829.jpg?itok=LyoT50Md
  • https://radiomed.ru/sites/default/files/styles/case_slider_image/public/user/18954/img_2831.jpg?itok=I_GNG6nq
  • https://radiomed.ru/sites/default/files/styles/case_slider_image/public/user/18954/img_2834.jpg?itok=cv3sw-Pc
  • https://radiomed.ru/sites/default/files/styles/case_slider_image/public/user/18954/img_2835.jpg?itok=lHCP6jdp
  • https://radiomed.ru/sites/default/files/styles/case_slider_image/public/user/18954/img_2836.jpg?itok=gK9Gxrje
  • https://radiomed.ru/sites/default/files/styles/case_slider_image/public/user/18954/img_2837.jpg?itok=-4c_s8Zb
  • https://radiomed.ru/sites/default/files/styles/case_slider_image/public/user/18954/img_2838.jpg?itok=U9Nw-oA9
  • https://radiomed.ru/sites/default/files/styles/case_slider_image/public/user/18954/img_2832.jpg?itok=8zH1rKva
  • https://radiomed.ru/sites/default/files/styles/case_slider_image/public/user/18954/img_2833.jpg?itok=W61sH7DX
ID:46955
И.Бондаренко аватар
Не на сайте
Был на сайте: 2 дня 20 часов назад
Зарегистрирован: 13.09.2011 - 22:55
Публикации: 9213

1. Поставил пневмонию. Контроль после лечения.

2. За левое предсердие не уверен. Нужен боковой,а лучше эхокардиография.

3. Очаговый тбц в ст. обызвествления.

4. Бабушке контроль.

5. Не придирался

Сергей Кузьминов аватар
Не на сайте
Был на сайте: 1 год 5 месяцев назад
Зарегистрирован: 06.10.2012 - 15:51
Публикации: 11813

Первый-похоже-плевральные дела.Второй-не знаю,к кардиологам.Третий-похож на очаговый.Четвёртый-не пневмония(онко или ТБ).У последнего-есть пневмосклероз.Если возможно,выкладывайте по одному,можно запутаться.

 

schlyapa аватар
Не на сайте
Был на сайте: 8 лет 5 месяцев назад
Зарегистрирован: 27.09.2013 - 22:15
Публикации: 613

По №1 - почему такой ровный верхний контур, разве это характерно для пневмонии? Как быть при отсутствии динамики, а то направлю к фтизиатру, а там плевральные наслоения, может быть.

"Очаговый тбц в ст. обызвествления." Но если в архиве не было - конс фтизиатра нужна? ФЛГ для ВТЭК, кстати.

Сергей Кузьминов аватар
Не на сайте
Был на сайте: 1 год 5 месяцев назад
Зарегистрирован: 06.10.2012 - 15:51
Публикации: 11813

schlyapa wrote:
По №1 - почему такой ровный верхний контур, разве это характерно для пневмонии? Как быть при отсутствии динамики, а то направлю к фтизиатру, а там плевральные наслоения, может быть. "Очаговый тбц в ст. обызвествления." Но если в архиве не было - конс фтизиатра нужна? ФЛГ для ВТЭК, кстати.
Не стесняйтесь направлять в ПТД.Это наша с ними совместная работа.Оба пациента достойны внимания фтизиатра. 

NIL аватар
NIL
Не на сайте
Был на сайте: 9 часов 26 минут назад
Зарегистрирован: 25.11.2013 - 20:50
Публикации: 18217

Ваши снимки трудно оценивать. Муаровасть какая-то  (или это только у меня?).

№1 - возможно уплотнение участка главной междолевой плевры в нижнем отделе. Раньше не было. Оцените на контроле.Консультация фтизиатра - не смерть, а Вам поддержка.
№2 - гипертрофия камер сердца не обязательно сопровождается застоем.
№3 -Проконсультируйте у фтизиатра. Обязательно, учитывая, что изменения выявлены впервые.( Вы не указали, в каком году делался архивный снимок)
№4 -Может оказаться чем угодно, скорее - онко. Контроль поможет.
№5 -Норма


"Слушай всех, прислушивайся к немногим, решай сам".©

JJ аватар
JJ
Не на сайте
Был на сайте: 11 лет 9 месяцев назад
Зарегистрирован: 03.04.2014 - 20:35
Публикации: 102

№1 -согласна с Вами, рентгенконтроль и консультация фтизиатра

№2 -  застойные изменения в малом круге кровообращения здесь представлены расширенными корнями, которые в таких случаях описываются как гомогенизированные, если сравнить с архивной ФГ видно увеличение расширения корней с обеих сторон в динамике, усилен сосудистый рисунок в прикорневых отделах (увеличение калибра сосудов)

№3 - есть интенсивные очаговые тени в верхней доле справа, которые на архивной ФГ не определяются, лучше проконсультировать у фтизиатра от греха подальше

№4 - больше похоже на утолщение междолевой плевры, данных за с-ч и твс не вижу - Ваша тактика верна - рентгенконтроль после лечения

№5 - есть сетчатость рисунка и усиление его, я бы написала диффузный пневмосклероз

NIL аватар
NIL
Не на сайте
Был на сайте: 9 часов 26 минут назад
Зарегистрирован: 25.11.2013 - 20:50
Публикации: 18217

JJ wrote:

№4 - больше похоже на утолщение междолевой плевры, данных за с-ч и твс не вижу - Ваша тактика верна - рентгенконтроль после лечения

С утолщением междолевой плевры согласиться не могу. Оно выглядит, как чёткая линейная тень, и на боковом снике видна была бы. На представленном снике тень неправильной формы, мне кажется, и лучитстость имеется.


"Слушай всех, прислушивайся к немногим, решай сам".©

schlyapa аватар
Не на сайте
Был на сайте: 8 лет 5 месяцев назад
Зарегистрирован: 27.09.2013 - 22:15
Публикации: 613

Прошло немного времени и пациентка №1 пришла на контроль

Приложения: 
img-0001-00001.jpg
NIL аватар
NIL
Не на сайте
Был на сайте: 9 часов 26 минут назад
Зарегистрирован: 25.11.2013 - 20:50
Публикации: 18217

А боковую проекцию?


"Слушай всех, прислушивайся к немногим, решай сам".©

schlyapa аватар
Не на сайте
Был на сайте: 8 лет 5 месяцев назад
Зарегистрирован: 27.09.2013 - 22:15
Публикации: 613

Боковой не делали. Вам что-то не нравится на прямой (норма вроде бы)?

NIL аватар
NIL
Не на сайте
Был на сайте: 9 часов 26 минут назад
Зарегистрирован: 25.11.2013 - 20:50
Публикации: 18217

schlyapa wrote:
Боковой не делали. Вам что-то не нравится на прямой (норма вроде бы)?
Всё нравится. Но стандарт - это святое. 


"Слушай всех, прислушивайся к немногим, решай сам".©