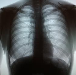
Пол пациента: Женский пол Тип патологии: Другое Область исследования: Грудная клетка и верхние дыхательные пути Методы исследования: Rg Пациентка, 22 года. Мед. осмотр. https://radiomed.ru/sites/default/files/styles/case_slider_image/public/user/18609/img_20130821_111923.jpg?itok=CBCcY0bh ID:30974 Ср, 21/08/2013 - 18:17 #1 Сергей Кузьминов Не на сайте Был на сайте: 1 год 2 месяцев назад Зарегистрирован: 06.10.2012 - 15:51 Публикации: 11813 Обе верхушки томографировать по поводу очаговых теней. Ср, 21/08/2013 - 19:06 #2 maker4ik Не на сайте Был на сайте: 8 лет 9 месяцев назад Зарегистрирован: 19.10.2011 - 17:49 Публикации: 2682 Не вижу патологии. Ср, 21/08/2013 - 21:36 #3 Dr. X-ray Не на сайте Был на сайте: 9 лет 8 месяцев назад Зарегистрирован: 19.07.2013 - 21:06 Публикации: 505 а средостение в верхнем отделе справа не расширено? Ср, 21/08/2013 - 22:20 #4 Сергей Кузьминов Не на сайте Был на сайте: 1 год 2 месяцев назад Зарегистрирован: 06.10.2012 - 15:51 Публикации: 11813 ИМХО Доля непарной вены.А очагульки не получается что-то пометить в пайнте. Ср, 21/08/2013 - 22:57 #5 Nikolas Не на сайте Был на сайте: 1 месяц 26 минут назад Зарегистрирован: 21.12.2010 - 20:37 Публикации: 4560 лимфомы Ходжкина необходимо исключить в первую очередь у молодой женщины. О верификации диагноза прошу сообщить на сайт. Чт, 22/08/2013 - 06:52 #6 Глазков Игорь А... Не на сайте Был на сайте: 11 месяцев 1 неделя назад Зарегистрирован: 19.12.2008 - 20:41 Публикации: 1597 напоминает лимфогранулёматоз. В верхушках лёгких ничего плохого не увидел. Прийди к Себе
Обе верхушки томографировать по поводу очаговых теней.
Не вижу патологии.
а средостение в верхнем отделе справа не расширено?
ИМХО Доля непарной вены.А очагульки не получается что-то пометить в пайнте.
лимфомы Ходжкина необходимо исключить в первую очередь у молодой женщины. О верификации диагноза прошу сообщить на сайт.
напоминает лимфогранулёматоз. В верхушках лёгких ничего плохого не увидел.
Прийди к Себе