ФЛГ3

Пол пациента: 
Тип патологии: 
Методы исследования: 

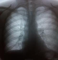
Пациентка, 41 г. Мед.осмотр. Есть ли изменения? И какая тактика?    25.04.14г.

 06.05.14 г.

01.2012 г.     2010 г.

  • https://radiomed.ru/sites/default/files/styles/case_slider_image/public/user/18609/img_20140506_123325.jpg?itok=zq62e4Mh
  • https://radiomed.ru/sites/default/files/styles/case_slider_image/public/user/18609/img_20140506_123308.jpg?itok=mJ26lGMc
  • https://radiomed.ru/sites/default/files/styles/case_slider_image/public/user/18609/img_20140506_123300.jpg?itok=5dPk0W50
  • https://radiomed.ru/sites/default/files/styles/case_slider_image/public/user/18609/img_20140506_123401.jpg?itok=6pbMdIPR
  • https://radiomed.ru/sites/default/files/styles/case_slider_image/public/user/18609/img_20140506_123408.jpg?itok=8B8_X9xq
ID:37740
NIL аватар
NIL
Не на сайте
Был на сайте: 5 дней 21 час назад
Зарегистрирован: 25.11.2013 - 20:50
Публикации: 18217

Одну тенюшечку откопала, которой нет на архивных снимках. К фтизиатру напрашивается.

Приложения: 
img_20140506_123317.jpg


"Слушай всех, прислушивайся к немногим, решай сам".©

Dr. X-ray аватар
Не на сайте
Был на сайте: 9 лет 11 месяцев назад
Зарегистрирован: 19.07.2013 - 21:06
Публикации: 505

NIL wrote:

Одну тенюшечку откопала, которой нет на архивных снимках. К фтизиатру напрашивается.

а как Вам это место?

Приложения: 
img_20140506_123317.jpg
atexta аватар
Не на сайте
Был на сайте: 3 года 3 месяцев назад
Зарегистрирован: 08.02.2014 - 18:41
Публикации: 4842

Мне кажется кальцинаты без особой динамики, а если правый корень смущает ( у меня тоже глаз зацепился), то досмотреть на Р-скопии. Вопрос: почему 25.04 и 6.05 -в чем разница ? 

Не нам судить…

Сергей Кузьминов аватар
Не на сайте
Был на сайте: 1 год 5 месяцев назад
Зарегистрирован: 06.10.2012 - 15:51
Публикации: 11813

Я как-то ничего плохого не вижу.Левое поле лёгочное срезано.

соловей аватар
Не на сайте
Был на сайте: 2 года 11 месяцев назад
Зарегистрирован: 11.02.2013 - 15:48
Публикации: 26

А меня что-то левый корень смущает...

Dr. GreenThumb аватар
Не на сайте
Был на сайте: 2 года 7 месяцев назад
Зарегистрирован: 29.05.2010 - 10:16
Публикации: 239

Dr. X-ray wrote:

NIL wrote:

Одну тенюшечку откопала, которой нет на архивных снимках. К фтизиатру напрашивается.

а как Вам это место?

Не надо стесняться, покрутите под скопией, бока сделайте, верхушки, вдохи выдохи. Установка я смотрю хорошая...

The time has come, the rules have changed...

Nobody аватар
Не на сайте
Был на сайте: 11 лет 6 месяцев назад
Зарегистрирован: 15.03.2014 - 20:29
Публикации: 2013

соловей wrote:

А меня что-то левый корень смущает...

Странно... Я меня - что-то правый.)

"Лишь утратив всё до конца, мы обретаем свободу." F.C.