ФЛГ5

Пол пациента: 
Тип патологии: 
Методы исследования: 

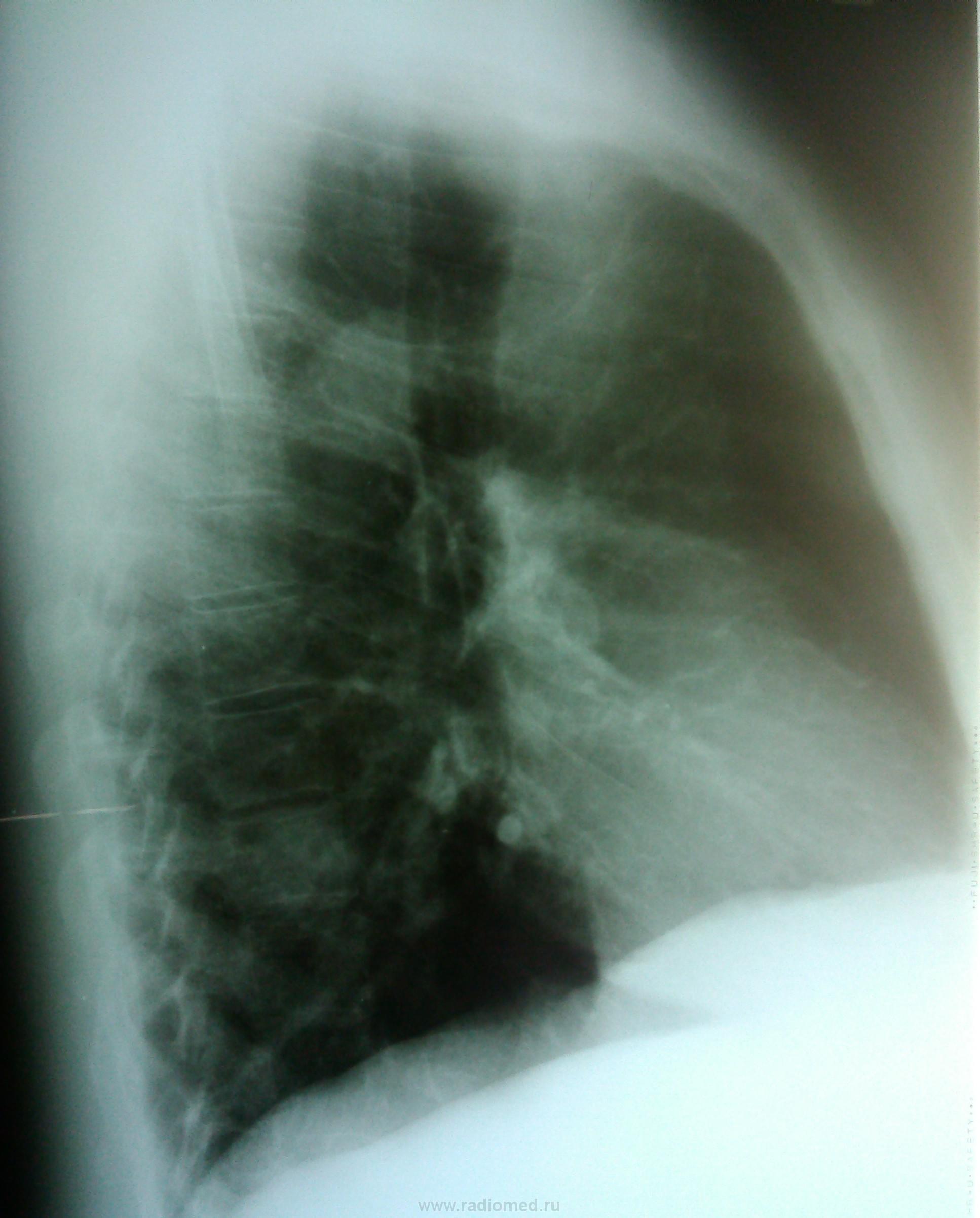
Пациент, 50 лет. Мед. осмотр. (извиняюсь за качество). Какие будут мнения?

май 2013 г. 

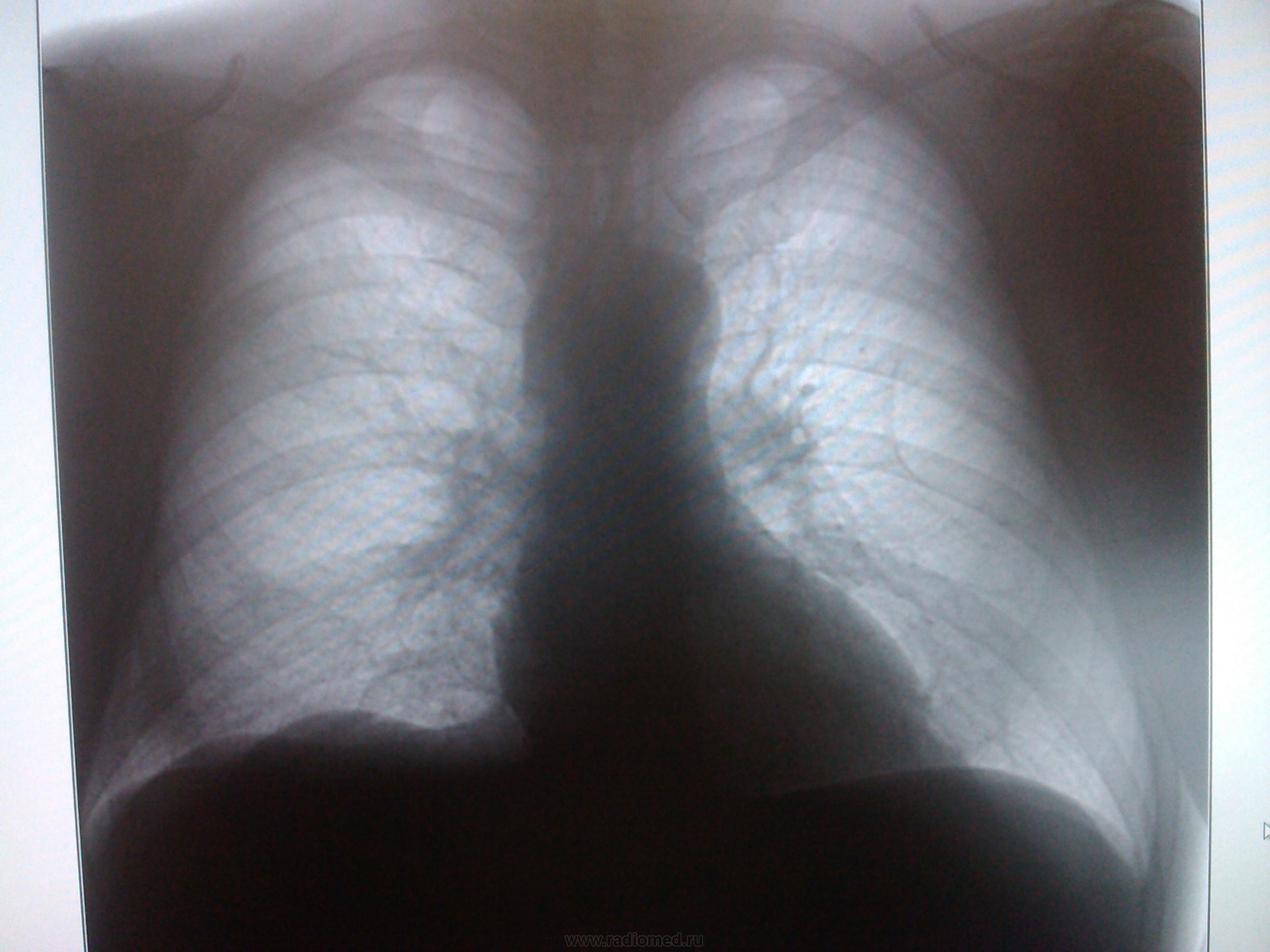
май 2014 г. 

Дообследование.

  • https://radiomed.ru/sites/default/files/styles/case_slider_image/public/user/18609/img_20140522_134452.jpg?itok=iGtGNAYY
  • https://radiomed.ru/sites/default/files/styles/case_slider_image/public/user/18609/img_20140522_134503.jpg?itok=rgDHfeUh
  • https://radiomed.ru/sites/default/files/styles/case_slider_image/public/user/18609/img_20140522_134516.jpg?itok=SwvdmWhZ
  • https://radiomed.ru/sites/default/files/styles/case_slider_image/public/user/18609/img_20140522_155645.jpg?itok=YdDIgx6i
  • https://radiomed.ru/sites/default/files/styles/case_slider_image/public/user/18609/img_20140522_155700.jpg?itok=VG7nj0Ng
ID:38052
Mila85 аватар
Не на сайте
Был на сайте: 3 года 1 месяц назад
Зарегистрирован: 15.03.2012 - 16:59
Публикации: 1790

Сначала ветку целиком не открыла, думала вопрос касается только первого снимка, высмотрела подозрительную тень на уровне 5 ребра, и правый корень не понравился. С учетом продолжения однозначно периферический

vladgess аватар
Не на сайте
Был на сайте: 4 года 7 месяцев назад
Зарегистрирован: 01.09.2012 - 02:55
Публикации: 50

Пермферический рак нижней доли правого легкого в S9-10(учитывая отрицательную динамику за год)

Nikolas аватар
Не на сайте
Был на сайте: 1 месяц 3 недели назад
Зарегистрирован: 21.12.2010 - 20:37
Публикации: 4559

позволяет заключить , что опухоль уже была.

Приложения: 
img_20140522_134431.jpg
NIL аватар
NIL
Не на сайте
Был на сайте: 8 часов 39 минут назад
Зарегистрирован: 25.11.2013 - 20:50
Публикации: 18203

Согласна с коллегами. Справа в S 10 периферическое образование, учитывая рост, более вероятно  C-r.  Cлева в среднем поле   воздушная киста


"Слушай всех, прислушивайся к немногим, решай сам".©

Nobody аватар
Не на сайте
Был на сайте: 11 лет 3 недели назад
Зарегистрирован: 15.03.2014 - 20:29
Публикации: 2013

Nikolas wrote:

позволяет заключить , что опухоль уже была.

Слова первого коммента радуют - не для всех опухоль ретроспективно только видна!

"Лишь утратив всё до конца, мы обретаем свободу." F.C.

Nobody аватар
Не на сайте
Был на сайте: 11 лет 3 недели назад
Зарегистрирован: 15.03.2014 - 20:29
Публикации: 2013

NIL wrote:

... Cлева в среднем поле - воздушная киста

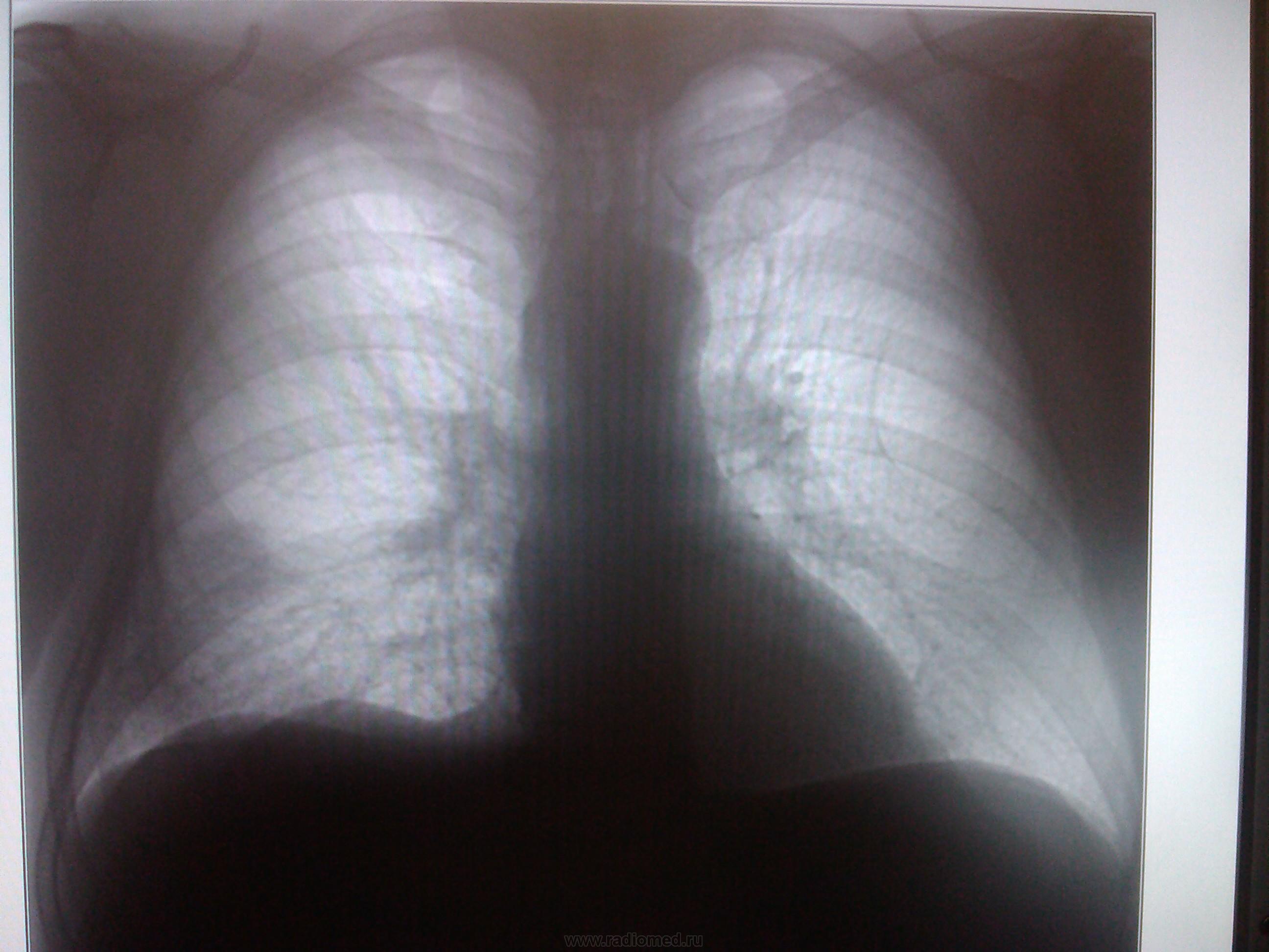
Если она там, тогда не одна.)

"Лишь утратив всё до конца, мы обретаем свободу." F.C.

NIL аватар
NIL
Не на сайте
Был на сайте: 8 часов 39 минут назад
Зарегистрирован: 25.11.2013 - 20:50
Публикации: 18203

Я одну вижу. Добавите?

Приложения: 
img_20140522_155645.jpg


"Слушай всех, прислушивайся к немногим, решай сам".©

Сергей Кузьминов аватар
Не на сайте
Был на сайте: 1 год 1 неделя назад
Зарегистрирован: 06.10.2012 - 15:51
Публикации: 11813

Рак.Опоздал я к началу обсуждения.

Nobody аватар
Не на сайте
Был на сайте: 11 лет 3 недели назад
Зарегистрирован: 15.03.2014 - 20:29
Публикации: 2013

NIL wrote:

Я одну вижу. Добавите?

Доцент добавит!)) Миргалина придёт - насквозь снимок взглядом прочтёт и скажет Вам с достоверной уверенностью, что кист в базальных сегментах пирамиды слева несколько да живёт.)

"Лишь утратив всё до конца, мы обретаем свободу." F.C.

Доктор Ре. аватар
Не на сайте
Был на сайте: 10 лет 1 месяц назад
Зарегистрирован: 15.04.2014 - 16:37
Публикации: 129

         периферический рак справа + кисты в левом легком  в средних и нижних отделах                 

Сольвейг аватар
Не на сайте
Был на сайте: 3 года 5 месяцев назад
Зарегистрирован: 05.02.2013 - 20:25
Публикации: 2239

Господи! Какой ретроспективный анализ? Она-оно (зло) растет себе и растет, кстати, на фоне этих кист в обоих легких ( Nobody, Вам-особенный респект!)