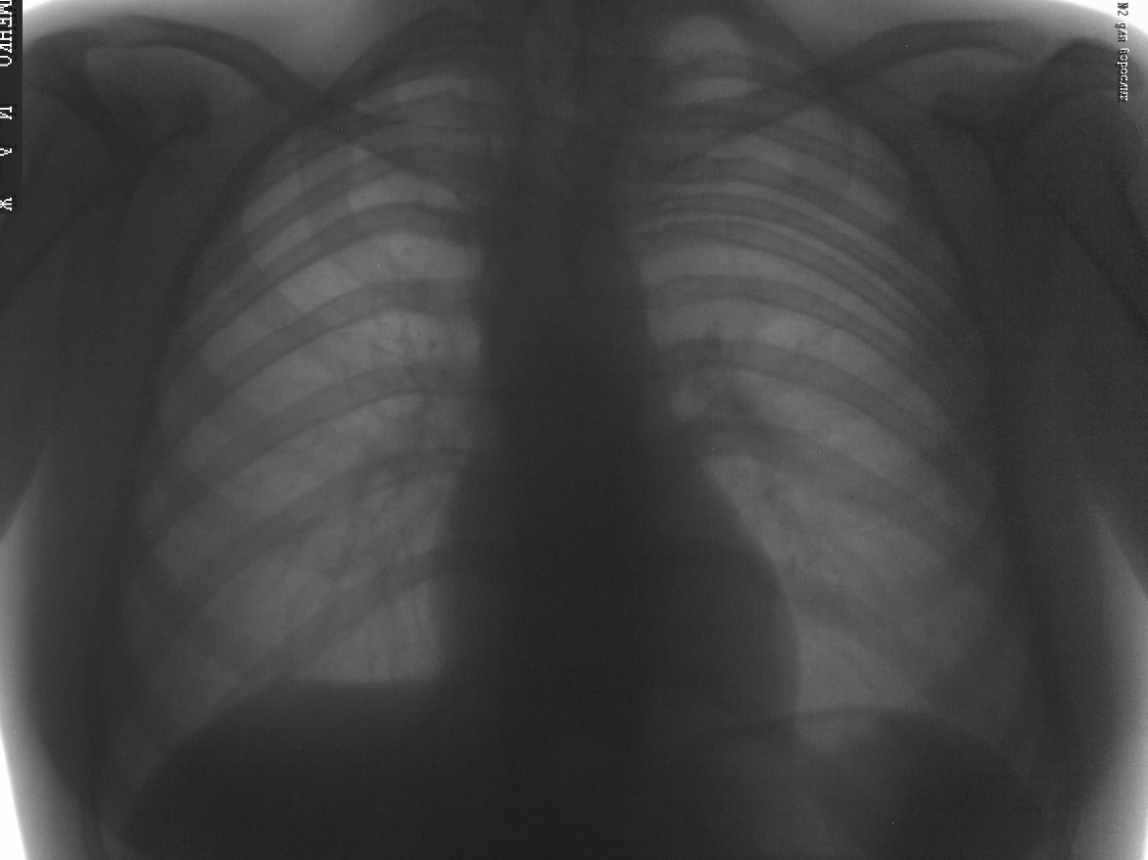
День добрый уважаемые коллеги. Прошу оценить качество выполненной "флюшки". (Флюшка не обрабатывалась. В чем причина такой "зашумленности" изображения?). Всем заранее спасибо за ответы.
Коллега, когда задается вопрос, краткость - не всегда сестра таланта. Чем более подробно Вы напишите, тем выше вероятность, что Вам помогут советом. Во-первых: на каком аппарате получен этот снимок?
Андрей Юрьевич! А как Вам добавочное ребро слева? А вопросы Вы правильные поставили. Мне лично, видиться серый малоконтрастный снимок за счет перебора киловольт.
Спасибо за замечания. Скажу что помню : Аппарат "Индиарс - 12ф7 с цифровой обработкой изображения" Разрешающая способность 2 пар лин. (На счет режимов съемки: 70 кв 0.05мс ). Завтра выложу прямые проекции и боковые.
Снимок показался интересным из-зане часто встречающейся локализации добавочного ребра
ВОПРОС был и есть "В чем причина такой "зашумленности" изображения?".
Дело в том что все снимки на флюорографе "шумят" одни больше другие меньше. Хотелось бы узнать так должно быть? Снимок нормы выставлять не хотелось, хотел выставить что-то поинтереснее. Если что то не так прошу извинить.
Пункт первый: аппарат дерьмою Самому приходится читать снимки на подобной цифре Актюбинского производства.
Пункт второй: но улучшить можно. Для начала увеличьте киловольтаж, 70 кВ - это мало. У меня меньше 80 вообще не ставят. Если аппарат еще на гарантии, то приглашайте представителй, пусть налаживают.
Для уменьшения шума, первое средство - увеличение экспозиции, представленный снимок кажется мне недоэкспонирорванным. Устройство аппарата надо знать, какой приемник (размеры в см, пикселях)? Не совсем понятен режим съемки: "70 кв 0.05мс", вероятно ошибка, не 0.05 мс, а 50 мс, т.е. 0.05 сек? 70 кв для однофазного, двухполупериодного питающего устройства, ИМХО, недостаточно, мы такое напряжение ставим только на дистрофиков..
Здравствуйте, уважаемые коллеги. Разорву ваш дружный круг. Считаю, что надо больше экспериментировать, в пределвх разумного, конечно и постоянно учить Р-лаборантов. Учитывая мин. дозы на "цифре" иногда заставляю переснимать. Один раз попросил оставить труп на столе, и отработали параметры для позвоночника (у тучных). С уважением П.А.
Мои зрительные бугры находятся в мозолистом теле..
Ну конечно "труп на столе", и отработка на нем экспозиций - это "Квази уна фантази".
Уважаемый Павел Анатольевич!
Вы поднимаете довольно актуальную и нужную тему - процесс обучения лаборантов, выработка физико - технических условий экспонирования и прочего, что касается "лаборантского процесса". Важнейшая тема для практического врача рентгенолога, ибо от качества "лаборантской продукции" - 90 % правильности заключения врача-рентгенолога.
Мои дорогие рентгенолаборанты, практически по процессу экспонирования, полностью исключили брак, и уже в течение двух лет мы не знаем, что это такое. Конечно, бывают "проколы" с укладками, но проколов фактически становится все меньше, практически, они сведены на нет.
Здравствуйте, уважаемые коллеги. Цифровой у меня флюорограф. ФЦС-РЕНТЕХ, почти два года, на нём и переснимали. Ну а труп был после ДТП, успели донести до рентгена, который уже не потребовался. Воспользовался ситуацией, так сказать. Считаю что не зря. Аппарат был старый, трубка изношена, а я был молодой, в смысле рентгенологии. Да я и сейчас особо не созрел, считаю. Варюсь в собственном соку. За 6 лет однажды попал снимок эндопротеза коленного сустава, обалдел. Описал соосность, состояние кости вокруг, не знал больше чего ИМ надо, а вчера с удовольствием узнал - всё правильно. С удовольствием посещаю ваш сайт и учусь. Очень много случаев, ситуаций знакомых. Я тоже работаю в ЦРБ. Нас полтора рентгенолога (вторая -бабушка 76 лет, и лопатку описывает пневмонией и т. п.) Поэтому пр. вся работа на мне. А еще я УЗИст. Тоже один. За год в среднем 6-7тыс. исследований. В общем работы хватает. Немного субурно. Извиняюсь.
С уважением П.А.
Мои зрительные бугры находятся в мозолистом теле..
Доброй ночи Валентин Львович. А выхода особо и нет. Хоть рутину уменьшает и то хорошо. Один я долго не выдержу. С утра до обеда на УЗИ, потом плёнки, потом думаю - пора отдохнуть, и иду на флюорограф. Там "отдыхаю" до 6-7 вечера, и так постоянно. Сегодня, кстати, у меня юбилей. Я закончил ровно 14 века работать в своей ЦРБ.
П.А.
Мои зрительные бугры находятся в мозолистом теле..
С юбилеем, конечно, поздравляю. Выхода, конечно нет. Я у себя 3 года тому сделал маленький "взрыв" - заменил аппаратуру на достойную, ушли пенсионеры лаборанты на заслуженный отдых, набрал молодежь. Молодежь (лаборанты) оказалась умненькой, рукастой, понятливой. Сейчас на работе среди них балдею, хотя нагрузки не меряно. А вот и моя молодежь из рентгенодиагностики - Юлия Ивановна, Татьяна Александровна, Людмила Николаевна.
По нац. проекту мы тоже получили СИМЕНС (в стационар) на 2 раб. места, флюорограф, проявочную машину. Ну а на счет уважения - не знаю. На день медика хотели на доску почета "повесить", но я отказался фоткаца. Не люблю быть на глазах даже в виде фото. Как говориться "помогли-бы материально", но как раз этого и не дождёшся.
Кстати, Валентин Львович, Вы пишите что нет брака по экспозиции, это вероятнее всего качественное цифровое оборудование "виновато", хотя я не умаляю ни в коей мере опыт р-лаборантов.
Мои зрительные бугры находятся в мозолистом теле..
Конечно, Вы правы. Цифра, есть цифра - флюорограф, маммограф, диагностический аппарат на 3 рабочих места - все цифра. Проявочные машины отдыхают, разве, что "на ургенте" делается снимок. Но когда мои лаборанты были на специализации, специально договорился с руководителями курсов, чтобы их "прогнали" по всему, что можно и где можно, так это кстати и было. Экспозиции вырабатывались почти год, но выработали исключительно хорошо с поправками на возраст и "худобу - полноту" объекта. Заменил все кассеты на стандарт - зеленочувствительный "Кодак", пленку берем только "зеленочувствительный Кодак" и все нормально.
Хотя раньше проблемы были - таких-то размеров - "Ретина", других "Сиа", третьих "Кодак", одна зеленочувствительная, другая синечувствительная, и понятно, что экспозиция "плясала" в больших пределах. Но сейчас, когда технология одна (уже 2-3 года брака нет). Да и кассеты меняем не дожидаясь "регламентированного срока".
Я думаю Вы умеете кулаком по столу. Менее вероятно что начальство входит в положение. Я так не могу. Уже несколько месяцев добиваюсь новой трубки, а что толку. Старая ещё работает!!! слышу в ответ. А что ей почти 20 лет и луч бьёт непонятно как, и качество ни к черту (извините) им дела нет. А сейчас вообще хорошая отговорка - Кризис.
Мои зрительные бугры находятся в мозолистом теле..
"Кулаком по столу" для закоренелого администратора - это писк комара, которого он к тому - же и не слышит. Приходится пускаться во "все тяжкие", а это не всегда благотворно сказывается на нас - практических врачах, в смысле последствий. "Кризис" - это такая отговорка, которая весьма воворемя подана. Структуры "вышележащие и вышестояшие" благоденствуют, создаются даже новые структуры. Я как-то подсчитал, сколько надо мной начальников. Старинная русская пословица - "Один с сошкой - семеро с ложнкой" - отдыхает и весьма основательно.
Коллега, когда задается вопрос, краткость - не всегда сестра таланта. Чем более подробно Вы напишите, тем выше вероятность, что Вам помогут советом. Во-первых: на каком аппарате получен этот снимок?
Андрей Юрьевич
Андрей Юрьевич! А как Вам добавочное ребро слева? А вопросы Вы правильные поставили. Мне лично, видиться серый малоконтрастный снимок за счет перебора киловольт.
dok
Спасибо за замечания. Скажу что помню : Аппарат "Индиарс - 12ф7 с цифровой обработкой изображения" Разрешающая способность 2 пар лин. (На счет режимов съемки: 70 кв 0.05мс ). Завтра выложу прямые проекции и боковые.
Снимок показался интересным из-зане часто встречающейся локализации добавочного ребра
ВОПРОС был и есть "В чем причина такой "зашумленности" изображения?".
Дело в том что все снимки на флюорографе "шумят" одни больше другие меньше. Хотелось бы узнать так должно быть? Снимок нормы выставлять не хотелось, хотел выставить что-то поинтереснее. Если что то не так прошу извинить.
Пункт первый: аппарат дерьмою Самому приходится читать снимки на подобной цифре Актюбинского производства.
Пункт второй: но улучшить можно. Для начала увеличьте киловольтаж, 70 кВ - это мало. У меня меньше 80 вообще не ставят. Если аппарат еще на гарантии, то приглашайте представителй, пусть налаживают.
Андрей Юрьевич
Для уменьшения шума, первое средство - увеличение экспозиции, представленный снимок кажется мне недоэкспонирорванным. Устройство аппарата надо знать, какой приемник (размеры в см, пикселях)? Не совсем понятен режим съемки: "70 кв 0.05мс", вероятно ошибка, не 0.05 мс, а 50 мс, т.е. 0.05 сек? 70 кв для однофазного, двухполупериодного питающего устройства, ИМХО, недостаточно, мы такое напряжение ставим только на дистрофиков..
Зри в корень!
Здравствуйте, уважаемые коллеги. Разорву ваш дружный круг. Считаю, что надо больше экспериментировать, в пределвх разумного, конечно и постоянно учить Р-лаборантов. Учитывая мин. дозы на "цифре" иногда заставляю переснимать. Один раз попросил оставить труп на столе, и отработали параметры для позвоночника (у тучных). С уважением П.А.
Мои зрительные бугры находятся в мозолистом теле..
А какая у Вас "цифра"?
Павел Анатольевич, ну Вы экстремал! Для того, чтобы ///оставить труп на столе///, надо его сначала заполучить на столе. Как Вам это удалось?
Андрей Юрьевич
Ну конечно "труп на столе", и отработка на нем экспозиций - это "Квази уна фантази".
Уважаемый Павел Анатольевич!
Вы поднимаете довольно актуальную и нужную тему - процесс обучения лаборантов, выработка физико - технических условий экспонирования и прочего, что касается "лаборантского процесса". Важнейшая тема для практического врача рентгенолога, ибо от качества "лаборантской продукции" - 90 % правильности заключения врача-рентгенолога.
Мои дорогие рентгенолаборанты, практически по процессу экспонирования, полностью исключили брак, и уже в течение двух лет мы не знаем, что это такое. Конечно, бывают "проколы" с укладками, но проколов фактически становится все меньше, практически, они сведены на нет.
Здравствуйте, уважаемые коллеги. Цифровой у меня флюорограф. ФЦС-РЕНТЕХ, почти два года, на нём и переснимали. Ну а труп был после ДТП, успели донести до рентгена, который уже не потребовался. Воспользовался ситуацией, так сказать. Считаю что не зря. Аппарат был старый, трубка изношена, а я был молодой, в смысле рентгенологии. Да я и сейчас особо не созрел, считаю. Варюсь в собственном соку. За 6 лет однажды попал снимок эндопротеза коленного сустава, обалдел. Описал соосность, состояние кости вокруг, не знал больше чего ИМ надо, а вчера с удовольствием узнал - всё правильно. С удовольствием посещаю ваш сайт и учусь. Очень много случаев, ситуаций знакомых. Я тоже работаю в ЦРБ. Нас полтора рентгенолога (вторая -бабушка 76 лет, и лопатку описывает пневмонией и т. п.) Поэтому пр. вся работа на мне. А еще я УЗИст. Тоже один. За год в среднем 6-7тыс. исследований. В общем работы хватает. Немного субурно. Извиняюсь.
С уважением П.А.
Мои зрительные бугры находятся в мозолистом теле..
Здравствуйте Павел Анатольевич!
Я Вас могу понять, но особенно сочувствую, что рядом "бабушка". Я бы бабушку уже не смог-бы выдержать, с учетом, что сам почти дедушка.
Доброй ночи Валентин Львович. А выхода особо и нет. Хоть рутину уменьшает и то хорошо. Один я долго не выдержу. С утра до обеда на УЗИ, потом плёнки, потом думаю - пора отдохнуть, и иду на флюорограф. Там "отдыхаю" до 6-7 вечера, и так постоянно. Сегодня, кстати, у меня юбилей. Я закончил ровно 14 века работать в своей ЦРБ.
П.А.
Мои зрительные бугры находятся в мозолистом теле..
Мда! Снимаю шляпу, коллега! Начальство-то, хоть ценит, или "стой там, иди сюда"...
Андрей Юрьевич
С юбилеем, конечно, поздравляю. Выхода, конечно нет. Я у себя 3 года тому сделал маленький "взрыв" - заменил аппаратуру на достойную, ушли пенсионеры лаборанты на заслуженный отдых, набрал молодежь. Молодежь (лаборанты) оказалась умненькой, рукастой, понятливой. Сейчас на работе среди них балдею, хотя нагрузки не меряно. А вот и моя молодежь из рентгенодиагностики - Юлия Ивановна, Татьяна Александровна, Людмила Николаевна.
По нац. проекту мы тоже получили СИМЕНС (в стационар) на 2 раб. места, флюорограф, проявочную машину. Ну а на счет уважения - не знаю. На день медика хотели на доску почета "повесить", но я отказался фоткаца. Не люблю быть на глазах даже в виде фото. Как говориться "помогли-бы материально", но как раз этого и не дождёшся.
Кстати, Валентин Львович, Вы пишите что нет брака по экспозиции, это вероятнее всего качественное цифровое оборудование "виновато", хотя я не умаляю ни в коей мере опыт р-лаборантов.
Мои зрительные бугры находятся в мозолистом теле..
Администрация, как правило, материально помогает сама-себе - закон железный.
Скорее да чем нет.
Мои зрительные бугры находятся в мозолистом теле..
Конечно, Вы правы. Цифра, есть цифра - флюорограф, маммограф, диагностический аппарат на 3 рабочих места - все цифра. Проявочные машины отдыхают, разве, что "на ургенте" делается снимок. Но когда мои лаборанты были на специализации, специально договорился с руководителями курсов, чтобы их "прогнали" по всему, что можно и где можно, так это кстати и было. Экспозиции вырабатывались почти год, но выработали исключительно хорошо с поправками на возраст и "худобу - полноту" объекта. Заменил все кассеты на стандарт - зеленочувствительный "Кодак", пленку берем только "зеленочувствительный Кодак" и все нормально.
Хотя раньше проблемы были - таких-то размеров - "Ретина", других "Сиа", третьих "Кодак", одна зеленочувствительная, другая синечувствительная, и понятно, что экспозиция "плясала" в больших пределах. Но сейчас, когда технология одна (уже 2-3 года брака нет). Да и кассеты меняем не дожидаясь "регламентированного срока".
Я думаю Вы умеете кулаком по столу. Менее вероятно что начальство входит в положение. Я так не могу. Уже несколько месяцев добиваюсь новой трубки, а что толку. Старая ещё работает!!! слышу в ответ. А что ей почти 20 лет и луч бьёт непонятно как, и качество ни к черту (извините) им дела нет. А сейчас вообще хорошая отговорка - Кризис.
Мои зрительные бугры находятся в мозолистом теле..
"Кулаком по столу" для закоренелого администратора - это писк комара, которого он к тому - же и не слышит. Приходится пускаться во "все тяжкие", а это не всегда благотворно сказывается на нас - практических врачах, в смысле последствий. "Кризис" - это такая отговорка, которая весьма воворемя подана. Структуры "вышележащие и вышестояшие" благоденствуют, создаются даже новые структуры. Я как-то подсчитал, сколько надо мной начальников. Старинная русская пословица - "Один с сошкой - семеро с ложнкой" - отдыхает и весьма основательно.