Пол пациента:
Тип патологии:
Область исследования:
Методы исследования:
- https://radiomed.ru/sites/default/files/styles/case_slider_image/public/user/18609/img_20130801_131428.jpg?itok=RafxJ-qM
- https://radiomed.ru/sites/default/files/styles/case_slider_image/public/user/18609/img_20130801_131441.jpg?itok=V4UGA8fu
- https://radiomed.ru/sites/default/files/styles/case_slider_image/public/user/18609/img_20130801_131505.jpg?itok=iRZonBUd
- https://radiomed.ru/sites/default/files/styles/case_slider_image/public/user/18609/img_20130808_114207.jpg?itok=8Zjx8C-s
- https://radiomed.ru/sites/default/files/styles/case_slider_image/public/user/18609/img_20130808_114235.jpg?itok=7ZhwKY6x
- https://radiomed.ru/sites/default/files/styles/case_slider_image/public/user/18609/img_20130808_114254.jpg?itok=YBLxmi8T
ID:30518
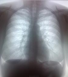
Сначала, в 11 году, был плотный очаг. К 2013 очевидно подрос, вполне может оказаться периферической опухолью.
Андрей Юрьевич
Да,оно растёт и оно не в ребре.Необходимо дообследование(клиническое и РКТ).
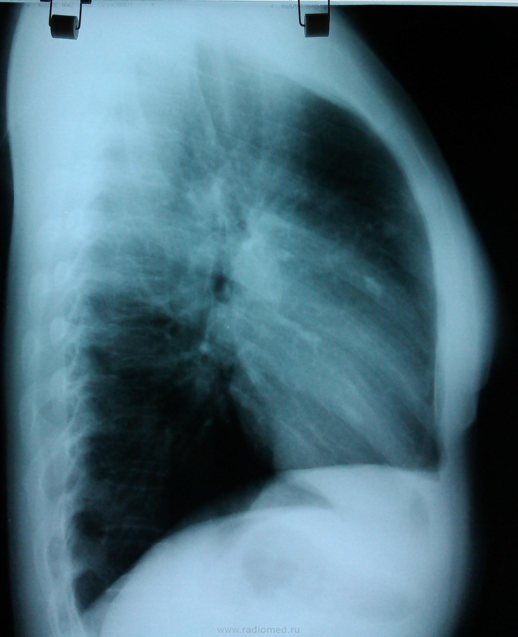
Я опять за своё. Даже предположу, что не факт изображения на прямом и боковом одной и той же тени.
На прямой р-грамме могут быть ретростернальные и парамаммарные регионарные л/у обеих молочных желез. Думаю: сначала в маммоцентр, потом КТ.
С Уважением, Дмитрий.
Вначале осмотрел бы при скопии, определиться где же очаг. Может с маммолога начинать надо.
Если теоретически предположить, что плотная тень, видимая на прямой рентгенограмме - тень пара (ретро? интра?) маммарного (?) или ретростернального (?!!!) лимфоузла, патология которого обусловлена раком МЖ, возникает масса вопросов. 1. Почему столь жиденькая динамика метастаза (у молодой дамы!!!) за 2г? 2. Что все это время делает первичная опухоль? Ну, и в принципе: тень четко видна на боковом снимке, видно, что в легком. Нормальная современная тактика предложена во 2м посте. Но, конечно, обследовать МЖ никак не помешает)).
С уважением,
Может, доброкачественная опухоль - гамартома например
легочный аффект в S3 правого легкого с очередной вспышкой. Показано обследование в ПТД.
Создается впечатление, что тень не одна.Есть еще и справа и слева.
Нет, коллега, слишком далеко от стернума.
Андрей Юрьевич
Петирфикат справа в S3 ( возможно в Sax )-если есть сомнения, возмите пациентку на R-скопию лёгких-определитесь с топографией изменённого участка ( имеет отношение к лёгочной ткани? какой сегмент ? и др.)
При всем уважении, не вижу в данном случае смысла в скопии. В конце концов, исследование не ради искусства, а клинической необходимости для. А клиническая необходимость - томография, делать её после скопии все равно придется. Так зачем излишне облучать и облучаться? (личное мнение).
С уважением,
Периферический растет...
На боковом интересные "очаговые" тени...
Девушка молодая,обидно пропустить патологию.Без сомнений,нечего гадать,надо делать РКТ.
Очаговые тени в переднем сегменте. В дифряд - мальформация.
При всем уважении, не вижу в данном случае смысла в скопии. В конце концов, исследование не ради искусства, а клинической необходимости для. А клиническая необходимость - томография, делать её после скопии все равно придется. Так зачем излишне облучать и облучаться? (личное мнение).
С уважением,
-----------------------------------------------------------------------------------------------------------------------------------------------------------------------------------------------------------------------------------------------------
Алексей Станиславович, может быть вы и правы. С каких проекций и на какой глубине начали бы выполнять томографические срезы? И какую задачу должна решить линейная томография?
Я бы на правом боку резал.
А срезы 6, 7, 8 сделал бы обязательно, ну а там далее... согласно обстоятельствам
Хотя бы нивелировать суммацию теней. На мой взгляд, прямая и боковая разнятся...
Прямая и боковая разнятся (на мой взгляд) за счет суммации изображений обоих легких на боковой рентгенограмме. При всем уважении к линейной ТГ - в конкретном случае (молодая женщина, визуальный рост "очага", относительно малые его размеры, три года наблюдения, доверие клиницистов к КТ) сразу постарался бы найти возможность для КТ.
С уважением,
Ловить такие мелкие очаги на томо - замучаешься сам и заоблучаешь пациента. Сегодня только смотрел подобный очаг на СКОПИИ (насчет целесообразности) - эностоз ребра, который не так уж и редок. Здесь несколько другое, очаги плотные и с обеих сторон - надо КТ ОГК и диаскин-тест. А насчет маммарных лимфоузлов - ни разу не видел их на обзорных снимках ОГК.
Verum plus uno esse non potest.
А мне сдается, все это "звенья одной цепи"))))
Болезни ног: виды, симптомы, причины, профилактика и лечение
А почему бы и не один, а несколько?
Болезни ног: виды, симптомы, причины, профилактика и лечение
Потому люблю скопию при мелких очагах :)
Verum plus uno esse non potest.
Обработанные снимки.