Гайморография

Вашему вниманию представляется несколько случаев контрастной гайморографии...Ваше мнение?...продолжение следует...

 

 

  • https://radiomed.ru/sites/default/files/styles/case_slider_image/public/user/2667/gaym2.jpg?itok=V-jpdvUK
  • https://radiomed.ru/sites/default/files/styles/case_slider_image/public/user/2667/gaym22.jpg?itok=6nV8FnqF
  • https://radiomed.ru/sites/default/files/styles/case_slider_image/public/user/2667/gaym33.jpg?itok=mSlayKc0
ID:56480
stovbav аватар
Не на сайте
Был на сайте: 2 года 8 месяцев назад
Зарегистрирован: 20.12.2009 - 17:28
Публикации: 7066

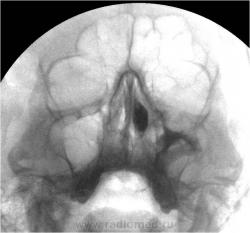
ГАЙМОРОГРАФИЯ (гайморо- + греч. grapho писать, изображать; син. максиллография) – рентгенологическое исследование верхнечелюстных синусов после введения в них контрастного вещества путем прокола ее стенки, через лунку удаленного зуба (при наличии сообщения с синусом) или через свищевой ход. После аспирации содержимого пазухи вводят 3-7 мл слегка подогретого контраста (йодолипол, йодипин, липийодол и др.). Снимки выполняют в носо-подбородочной и боковой проекциях. Методика показана для диагностики кист, полипов пазух, продуктивных форм гайморита, опухолевых заболеваний.

 http://www.medy.ru/pages.php?id=2&page=2

Приложения: 
k2.jpgk22.jpgk3.jpgk33.jpg
Катенёв Валентин Львович аватар
Не на сайте
Был на сайте: 7 лет 6 месяцев назад
Зарегистрирован: 22.03.2008 - 22:15
Публикации: 54876

Это хорошо, что "продолжение следует", у нас этот информативный методо исследования, незаслужено "отодвинут" в сторону. А у Вас много материала по "Гайморографии"?

stovbav аватар
Не на сайте
Был на сайте: 2 года 8 месяцев назад
Зарегистрирован: 20.12.2009 - 17:28
Публикации: 7066

Катенёв Валентин Львович wrote:

Это хорошо, что "продолжение следует", у нас этот информативный методо исследования, незаслужено "отодвинут" в сторону. А у Вас много материала по "Гайморографии"?

Материала много, правда в основном это кисты, реже - продуктивный гайморит, еще реже - острый гайморит (если проколы с показаниями или дифдиагностика)

 

Приложения: 
k4.jpgk44.jpgk5.jpgk55.jpgk6.jpgk66.jpg
Катенёв Валентин Львович аватар
Не на сайте
Был на сайте: 7 лет 6 месяцев назад
Зарегистрирован: 22.03.2008 - 22:15
Публикации: 54876

С гайморографией "сталкивался" весьма редко.

Это по всей видимости, кистозные образования?

Приложения: 
1.GAYM_.jpg2.GAYM_.jpg3.GAYM_.jpg4.GAYM_.jpg
Катенёв Валентин Львович аватар
Не на сайте
Был на сайте: 7 лет 6 месяцев назад
Зарегистрирован: 22.03.2008 - 22:15
Публикации: 54876

А, эти иллюстрации - опухолевый рост?

 

Приложения: 
11.GAYM_.jpg12.GAYM_.jpg
Катенёв Валентин Львович аватар
Не на сайте
Был на сайте: 7 лет 6 месяцев назад
Зарегистрирован: 22.03.2008 - 22:15
Публикации: 54876

А эти иллюстрации - резкая гиперплазия слизистой оболочки в результате воспалительного процесса?

 

Приложения: 
21.GAYM_.jpg22.GAYM_.jpg
stovbav аватар
Не на сайте
Был на сайте: 2 года 8 месяцев назад
Зарегистрирован: 20.12.2009 - 17:28
Публикации: 7066

Катенёв Валентин Львович wrote:

С гайморографией "сталкивался" весьма редко.

Это по всей видимости, кистозные образования?

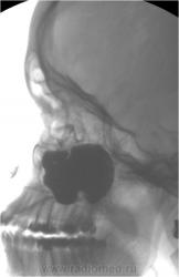
Да - это кисты.

stovbav аватар
Не на сайте
Был на сайте: 2 года 8 месяцев назад
Зарегистрирован: 20.12.2009 - 17:28
Публикации: 7066

Катенёв Валентин Львович wrote:

А, эти иллюстрации - опухолевый рост?

 

Это двухкамерная киста.

stovbav аватар
Не на сайте
Был на сайте: 2 года 8 месяцев назад
Зарегистрирован: 20.12.2009 - 17:28
Публикации: 7066

Катенёв Валентин Львович wrote:

А эти иллюстрации - резкая гиперплазия слизистой оболочки в результате воспалительного процесса?

 

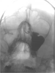
Да - это выраженый подушкообразный отек слизистой по всем стенкам.

stovbav аватар
Не на сайте
Был на сайте: 2 года 8 месяцев назад
Зарегистрирован: 20.12.2009 - 17:28
Публикации: 7066

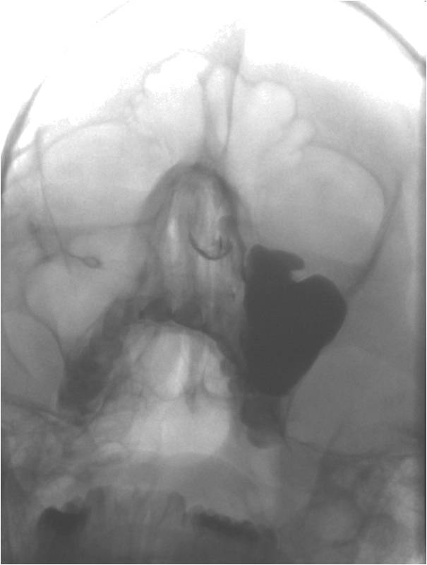
Пример двойной локализации кист правой гайморовой полости - верхне-наружная и передне-базальная...

 

Приложения: 
k8.jpgk88.jpg