Пол пациента:
Тип патологии:
Область исследования:
Методы исследования:
- https://radiomed.ru/sites/default/files/styles/case_slider_image/public/user/9121/mo4.jpg?itok=O6bChHGr
- https://radiomed.ru/sites/default/files/styles/case_slider_image/public/user/9121/mo5.jpg?itok=PfHCxbzO
- https://radiomed.ru/sites/default/files/styles/case_slider_image/public/user/9121/mo6.jpg?itok=EPItFKnv
- https://radiomed.ru/sites/default/files/styles/case_slider_image/public/user/9121/mo7.jpg?itok=zwtG7Z7I
- https://radiomed.ru/sites/default/files/styles/case_slider_image/public/user/9121/mo8.jpg?itok=hHoxGQDE
ID:18119
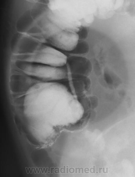
Такое ощущение, что слепая до конца не заполнилась. По-моему, я выставлял этот случай на сайте, но уж очень похоже. Никакими усилиями не возможно было заполнить слепую, хотя подозрения были. Только после т.н. опорожнения барий заполнил раковый канал.
Вполне может быть рак слепой кишки.
Вероятно и очень, что ошибаюсь, но мне кажется есть изменение восходящей кишки.
Спасибо. Может кто нибудь еще выскажется?
Речь идет о пожилом коллеге. Колонокопия будет выполнена во вторник.
Согласен: купол слепой кишки выглядит ненормально, но возможно в результате операции. Вообще-то для большей ясности полагается контрастировать терминальный отд. подвздошной кишки. А колоноскопия здесь помогает не всегда.
Неоднозначно всё
Сомневаюсь в успехе ФКС.Предлагаю выполнить пассаж.Поймать заполнение перехода С другой стороны-образование этой локализации должно пальпироваться.
Был случай, но у молодого, также заполнение слепой кишки с дефектом. Потом оказалось, что это прилежал так червеобразный отросток (после его заполнения).
ИМХО: слепая заполнена т.к. чётко видно обмазнный контрастом купол слепой кишки. Жаль, что не представлены R- граммы всех отделов толстой кишки.Показана фиброколоноскопия. При её безуспешности- РКТ брюшной полости, как компромиссный вариант УЗИ брюшной полости, для исключения синдрома поражения полого органа.
Несколько раз в таких случаях пользовался досмотром кишечника после приема бария per os, и могу признаться, не безуспешно. Был рак поперечки, который не прошел при ирриго, а на досмотре очень показательный получился циркулярный дефект. Конечно, это к добавлению ирригоскопии. И здесь может получиться удачная картина - ддист. отделы подвздошной с слепой. Только не через 24 часа, а где-то 5-8 час. Главное не пропустить момент.
Спасибо уважаемые коллеги за комментарии.
Лучше бы быть не правым.
К сожалению все были правы. Спасибо.
Краткость - сестра таланта.... Только я не понял, кто прав.