Мужчина 1981 года рождения. Жалоб нет. Проходил пофосмотр в поликлинеике. Когда проходил флюорографию сказал лаботанту: "...у меня киста там где-то была..." и убёг. Не успел я его поймать сразу, да боком поставить)), но можт поймаю еще.
Ваше мнение, коллеги?

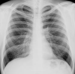
Да,справа в S6 округлой формы кистозная полость-врожденная патология.
В 6-ке полость? Может что-то другое?
Почему то снимок не увеличивается. Кольцевидная тень в среднем отделе правого легкого,тонкостенная полость, без бокового принадлежность к сегменту сказать нельзя.
Он просто тяжелый очень...надо подождать пока подгрузит. В следующий раз учту это....
Поймать и доснять бок.
Бок доснял снимок пока выложить не могу, но на словах: булла(киста?) в S3. Выглядит точно ткаже как и на прямом снимке. Прилежит к передней грудной стенке.
Со слов пациента - перенес пневмоторакс...хирург при выписке сказал: "...расслабься, а то взорвется..."
Ну, и я примерно тоже сказал.
Тоже слабое место.
Да, спасибо. Я обратил внимание на это. Слабое в каком смысле?
Со слов пациента - перенес пневмоторакс. Уплотнение апикальной плевры вполне может быть как остаточные изменения после него. Нет?