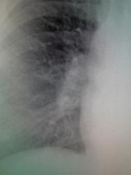
Женщина 1952 г.р.,направлена терапевтом на контрольную ФЛГ после перенесенной пневмонии.Инфильтрации вроде как уже нет,но нормально ли то,что сохраняются увеличенные внутригрудные лимфоузлы?прилагаю два снимка-первый- до лечения,второй- после(контрольный).



Коллега, пусть будет это не лимфоузлы?
А просто корень, т.е. артериально-венозный компонент корня.
И это не страшно.Такое бывает.
А пневмония действительно была? Я бы внимательно жалобы и анамнез поспрашивала, посмотрела бы архив, как-то это все на саркоидоз похоже
Да, очень похоже. Но ведь бывает и сочетание.
Ну так и возраст не юный. А динамика положительная. Думаю, окончательные выводы можно будет сделать после очередного контроля дней через 10.
"Слушай всех, прислушивайся к немногим, решай сам".©
пневмония точно была ,здесь похуже конечно видно,чем на экране
Солидарен с версией о саркоидозе. А через 10 дней он не изменится, Вы это знаете не хуже меня.
"Лишь утратив всё до конца, мы обретаем свободу." F.C.
+1! Саркоидоз.
Анатолий Петрович
+1. Например: при сердечных делах.
Ну, если желание увидеть динамику есть, то можно ещё подождать - так сказать, дать поспеть...
"Лишь утратив всё до конца, мы обретаем свободу." F.C.
Ждем! Пусть спеет...