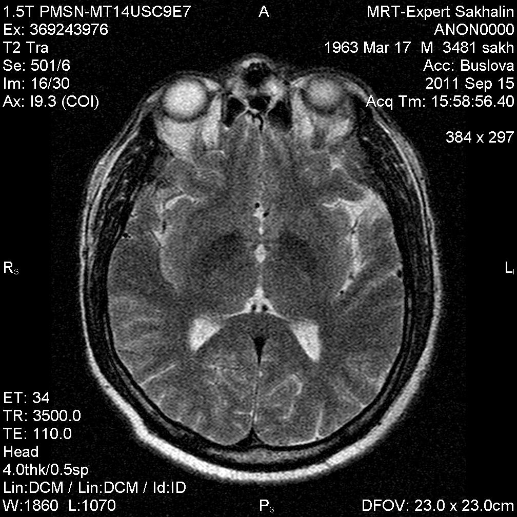
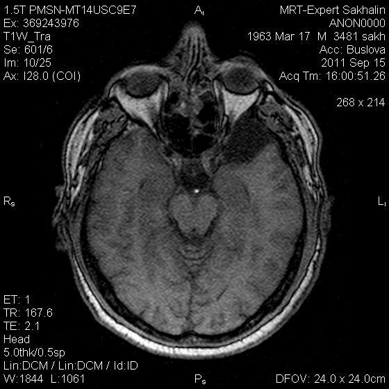
Глаз тигра?

Пациент с жалобами на головную боль.В направлении  дисциркуляторная энцефалопатия.

 

    

  • https://radiomed.ru/sites/default/files/styles/case_slider_image/public/user/5662/sha2.jpg?itok=7sxcdEgL
  • https://radiomed.ru/sites/default/files/styles/case_slider_image/public/user/5662/sha3.jpg?itok=RW7iOaLc
  • https://radiomed.ru/sites/default/files/styles/case_slider_image/public/user/5662/sha4_0.jpg?itok=f9zTmI_6
  • https://radiomed.ru/sites/default/files/styles/case_slider_image/public/user/5662/sha5_0.jpg?itok=sjw2ereD
  • https://radiomed.ru/sites/default/files/styles/case_slider_image/public/user/5662/sha6.jpg?itok=OCRJMLZK
  • https://radiomed.ru/sites/default/files/styles/case_slider_image/public/user/5662/sha7.jpg?itok=X_l0dkoR
  • https://radiomed.ru/sites/default/files/styles/case_slider_image/public/user/5662/shcha8.jpg?itok=_g3eKH_V
  • https://radiomed.ru/sites/default/files/styles/case_slider_image/public/user/5662/sha9.jpg?itok=hKpyHhy_
  • https://radiomed.ru/sites/default/files/styles/case_slider_image/public/user/5662/sha10.jpg?itok=YDQ_EZBh
ID:53046
Танюша аватар
Не на сайте
Был на сайте: 14 лет 4 месяцев назад
Зарегистрирован: 08.09.2011 - 15:55
Публикации: 175

А можете добавить флаер. Я так понимаю вам не нравиться область базальных ядер.

Helios аватар
Не на сайте
Был на сайте: 10 месяцев 2 недели назад
Зарегистрирован: 06.08.2010 - 15:16
Публикации: 4417

Первые 3 скана и есть флайер.Не только область базальных ядер ,но левая височная область.

Танюша аватар
Не на сайте
Был на сайте: 14 лет 4 месяцев назад
Зарегистрирован: 08.09.2011 - 15:55
Публикации: 175

Извиняюсь не распознала флаер. В области полюса левой височной доли арахноидальная киста. Признаков масс- эффекта не вижу. Что касается базальных ядер не уверена что это есть патология. Но еще посмотрю подумаю.

Танюша аватар
Не на сайте
Был на сайте: 14 лет 4 месяцев назад
Зарегистрирован: 08.09.2011 - 15:55
Публикации: 175

Уж больно бросается в глаза симметричный пониженный сигнал от подкорковых образований. Я так понимаю вы пытаетесь исключить болезнь галлервордена- шпатца?

Евгений Второй аватар
Не на сайте
Был на сайте: 2 месяцев 2 недели назад
Зарегистрирован: 13.09.2011 - 22:00
Публикации: 1772

Тогда зрачка не хватает в глазу.

irena аватар
Не на сайте
Был на сайте: 9 лет 9 месяцев назад
Зарегистрирован: 28.09.2009 - 13:00
Публикации: 289

симметричная дегенрация подкорковых ядер -отложение депозитов железа.