Головной мозг

Пол пациента: 
Тип патологии: 
Область исследования: 
Методы исследования: 

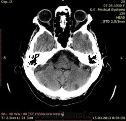
Будьте любезны! Помогите с описанием)) Женщина 1930года рождения поступила в стационар с диагнозом - Повторное ОНМК на фоне атеросклероза и АГ. Сахарный диабет 2 тип.

  • https://radiomed.ru/sites/default/files/styles/case_slider_image/public/user/17758/img-0002-00008.jpg?itok=Ht4NR4ef
  • https://radiomed.ru/sites/default/files/styles/case_slider_image/public/user/17758/img-0002-00009.jpg?itok=GMCwAJxo
  • https://radiomed.ru/sites/default/files/styles/case_slider_image/public/user/17758/img-0002-00010.jpg?itok=DDJc8aFE
  • https://radiomed.ru/sites/default/files/styles/case_slider_image/public/user/17758/img-0002-00011_0.jpg?itok=fF1mljp_
  • https://radiomed.ru/sites/default/files/styles/case_slider_image/public/user/17758/img-0002-00012.jpg?itok=YQGNQLN5
  • https://radiomed.ru/sites/default/files/styles/case_slider_image/public/user/17758/img-0002-00013.jpg?itok=Bcu8DAKn
  • https://radiomed.ru/sites/default/files/styles/case_slider_image/public/user/17758/img-0002-00014_0.jpg?itok=4gOPVcVX
  • https://radiomed.ru/sites/default/files/styles/case_slider_image/public/user/17758/img-0002-00015_0.jpg?itok=sclrdvbm
  • https://radiomed.ru/sites/default/files/styles/case_slider_image/public/user/17758/img-0002-00016_0.jpg?itok=Za7iJJ75
  • https://radiomed.ru/sites/default/files/styles/case_slider_image/public/user/17758/img-0002-00017.jpg?itok=kWQLyALA
  • https://radiomed.ru/sites/default/files/styles/case_slider_image/public/user/17758/img-0002-00018.jpg?itok=JxWt2meY
  • https://radiomed.ru/sites/default/files/styles/case_slider_image/public/user/17758/img-0002-00019_0.jpg?itok=863FY4Cz
  • https://radiomed.ru/sites/default/files/styles/case_slider_image/public/user/17758/img-0002-00020_0.jpg?itok=kNo8LUMQ
  • https://radiomed.ru/sites/default/files/styles/case_slider_image/public/user/17758/img-0002-00021.jpg?itok=NKvzbLg5
  • https://radiomed.ru/sites/default/files/styles/case_slider_image/public/user/17758/img-0002-00022.jpg?itok=2QoPDvUf
  • https://radiomed.ru/sites/default/files/styles/case_slider_image/public/user/17758/img-0002-00023.jpg?itok=V4DtAvMq
  • https://radiomed.ru/sites/default/files/styles/case_slider_image/public/user/17758/img-0002-00024.jpg?itok=ezVsB7hM
  • https://radiomed.ru/sites/default/files/styles/case_slider_image/public/user/17758/img-0002-00025.jpg?itok=Nwfn8mnU
  • https://radiomed.ru/sites/default/files/styles/case_slider_image/public/user/17758/img-0002-00026.jpg?itok=xQlOMsaJ
  • https://radiomed.ru/sites/default/files/styles/case_slider_image/public/user/17758/img-0002-00027.jpg?itok=B7p5Nih5
  • https://radiomed.ru/sites/default/files/styles/case_slider_image/public/user/17758/img-0002-00028.jpg?itok=TryrwN_i
  • https://radiomed.ru/sites/default/files/styles/case_slider_image/public/user/17758/img-0002-00029.jpg?itok=wtlAEX8A
  • https://radiomed.ru/sites/default/files/styles/case_slider_image/public/user/17758/img-0002-00030.jpg?itok=txvq2IyG
  • https://radiomed.ru/sites/default/files/styles/case_slider_image/public/user/17758/img-0002-00031.jpg?itok=yaKnSIjt
ID:27067
НАДЕЖДА ЮРЬЕВНА аватар
Не на сайте
Был на сайте: 7 лет 4 месяцев назад
Зарегистрирован: 30.07.2012 - 13:14
Публикации: 360

Попробую, но я не волшебник (тоже только учусь). Слева, перивентрикулярно в бассейне СМА определяются лакунарные инфаркты (или кто поправит- зона пониженной плотности размерами ..х.. мм, плотностью .. ед.Н). Заключение: КТ-признаки подострого ишемического инфаркта в бассейне левой СМА. Правильно?

Абай аватар
Не на сайте
Был на сайте: 7 лет 4 месяцев назад
Зарегистрирован: 28.01.2013 - 08:35
Публикации: 23

С лакунарными инфарктами(гиподенсными очагами) может согласен, а что значит гиперденсный очаг в проекции хвостатого ядра?...старый инсульт?..

алкс аватар
Не на сайте
Был на сайте: 10 лет 6 месяцев назад
Зарегистрирован: 24.10.2012 - 22:55
Публикации: 2915

Абай wrote:

С лакунарными инфарктами(гиподенсными очагами) может согласен, а что значит гиперденсный очаг в проекции хвостатого ядра?...старый инсульт?..

Как- то не видно лакунарных... Изменения в базальных ядрах слева имеют явно характер дегенеративных, возможно с кальцинозом, расширение переднего рога левого желудочка( относительное!) косвенно это подтвеждает ( по- моему)

Андрей Юрьевич аватар
Не на сайте
Был на сайте: 1 месяц 1 день назад
Зарегистрирован: 16.11.2008 - 22:16
Публикации: 18106

Использую термин "зоны патологической плотности". В данном случае, участки повышенной плотности в области базальных ядер левого полушария: головке и теле хвостатого ядра и лентиформном ядре. Более определенно не скажу, судить по джипегу сложновато, дайкомы нужны, но в кровоизлияние не укладывается, передний рог бокового желудочка не компремирован (наоборот, расширен), нет перифокального отека.

По поводу локального снижения плотности белого вещества у передних и задних рогов боковых желудочков - это лейкоареоз. Более правильно лейкоараиоз, но в русскоязычной литературе сложилось как-то так.

"Подострого ишемического инфаркта мозга" не бывает. Во-первых, одно из двух, либо "ишемического инсульта", либо "инфаркта мозга"; во-вторых, подосторая, острая и хроническая - это про оболочечные гематомы.

Андрей Юрьевич

алкс аватар
Не на сайте
Был на сайте: 10 лет 6 месяцев назад
Зарегистрирован: 24.10.2012 - 22:55
Публикации: 2915

Андрей Юрьевич wrote:

Использую термин "зоны патологической плотности". В данном случае, участки повышенной плотности в области базальных ядер левого полушария: головке и теле хвостатого ядра и лентиформном ядре. Более определенно не скажу, судить по джипегу сложновато, дайкомы нужны, но в кровоизлияние не укладывается, передний рог бокового желудочка не компремирован (наоборот, расширен), нет перифокального отека.

По поводу локального снижения плотности белого вещества у передних и задних рогов боковых желудочков - это лейкоареоз. Более правильно лейкоараиоз, но в русскоязычной литературе сложилось как-то так.

"Подострого ишемического инфаркта мозга" не бывает. Во-первых, одно из двух, либо "ишемического инсульта", либо "инфаркта мозга"; во-вторых, подосторая, острая и хроническая - это про оболочечные гематомы.

Абсолютно согласен.

Абай аватар
Не на сайте
Был на сайте: 7 лет 4 месяцев назад
Зарегистрирован: 28.01.2013 - 08:35
Публикации: 23

а возможно, что  очаги патологической плотности это признакт старого нарушения мозгового кровообращения? В анамнезе у пациентки было ранее ОНМК...

Андрей Юрьевич аватар
Не на сайте
Был на сайте: 1 месяц 1 день назад
Зарегистрирован: 16.11.2008 - 22:16
Публикации: 18106

Абай wrote:

а возможно, что очаги патологической плотности это признакт старого нарушения мозгового кровообращения...


Какие именно?

Андрей Юрьевич

doktor-rentgen аватар
Не на сайте
Был на сайте: 9 лет 8 месяцев назад
Зарегистрирован: 06.07.2010 - 20:56
Публикации: 640

Ну например обызвествление геморрагии?

Абай аватар
Не на сайте
Был на сайте: 7 лет 4 месяцев назад
Зарегистрирован: 28.01.2013 - 08:35
Публикации: 23

Андрей Юрьевич wrote:

Абай wrote:

а возможно, что очаги патологической плотности это признакт старого нарушения мозгового кровообращения...


Какие именно?

Гиперденсные очаги слева в проекции базальных ядер, что это такое? Кровь? Обызвествление? 

Любовь С. аватар
Не на сайте
Был на сайте: 9 лет 11 месяцев назад
Зарегистрирован: 23.12.2010 - 01:58
Публикации: 2324

Написала бы петехиальное кровоизлияние? базальных ядер слева 

- и на КТ-контроль через неделю. Контроль всё и прояснит. Остальные изменения старые и неинтересные.

Нашла похожее, хоть и менее интенсивное: http://translate.googleusercontent.com/translate_c?depth=1&hl=ru&langpair=en%7Cru&rurl=translate.google.ru&u=http://stroke.ahajournals.org/content/26/3/484.full&usg=ALkJrhgWU40L7Y8jxhnef7dlfQue8bT_Tw

"Предоставляя весь смысл и совершенство в распоряжение одного только Бога, вы избавляете себя от бездны хлопот." Джон Уитборн.

Андрей Юрьевич аватар
Не на сайте
Был на сайте: 1 месяц 1 день назад
Зарегистрирован: 16.11.2008 - 22:16
Публикации: 18106

Чрезвычайно благодарен Любови С. за расширение горизонтов (без шуток!), но вот с этим

Любовь С. wrote:
...Остальные изменения старые и неинтересные.


Лейкоареоз имеет значение в диагностике дисциркуляторных энцефалопатий.

Андрей Юрьевич

Андрей Юрьевич аватар
Не на сайте
Был на сайте: 1 месяц 1 день назад
Зарегистрирован: 16.11.2008 - 22:16
Публикации: 18106

Абай wrote:

Андрей Юрьевич wrote:

Абай wrote:

а возможно, что очаги патологической плотности это признакт старого нарушения мозгового кровообращения...


Какие именно?

Гиперденсные очаги слева в проекции базальных ядер...


Это не может быть признаком " старого нарушения". Старое - это всегда понижение плотности, вплоть до плотности ликвора.

Андрей Юрьевич

Абай аватар
Не на сайте
Был на сайте: 7 лет 4 месяцев назад
Зарегистрирован: 28.01.2013 - 08:35
Публикации: 23

"Заключение: КТ-признаки петехиального кровоизлияния базальных ядер слева. КТ- контроль через неделю. Лейкоареоз лобных долей. Гидроцефалия? "  

Вот так???