- https://radiomed.ru/sites/default/files/styles/case_slider_image/public/user/5374/se004_7.png?itok=6fYf4pJn
- https://radiomed.ru/sites/default/files/styles/case_slider_image/public/user/5374/se005_4.png?itok=SOxcZlyP
- https://radiomed.ru/sites/default/files/styles/case_slider_image/public/user/5374/se006_5.png?itok=ilo3emcH
- https://radiomed.ru/sites/default/files/styles/case_slider_image/public/user/5374/se007_6.png?itok=C7X0qriy
- https://radiomed.ru/sites/default/files/styles/case_slider_image/public/user/5374/t2_0.png?itok=uc89Opxm
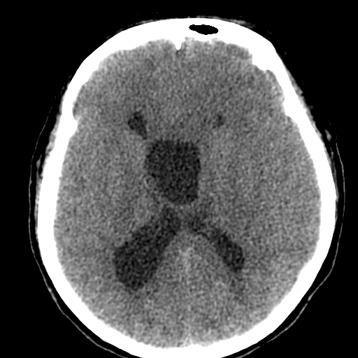
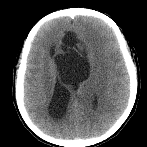
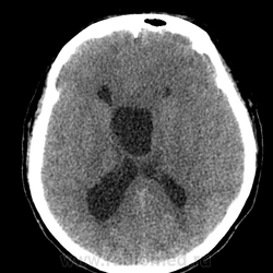
ID:53124
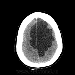
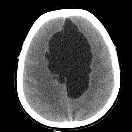
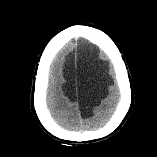
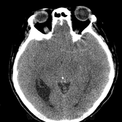
Мало что понимаю в КТ, но как то на ОНМК не тянет. Не могу понять почему сигнал (извините привыкла все сигналами оценивать) от образования какой же что и от желудочка?!
Спасибо большое, шутка удалась ))) Я хоть благодаря вам чему то да и научусь ))
А сколько лет пациенту? Если был бы ребенок я б подумала об врожденной патологии. Может еще чего придумаю, интересный случай.
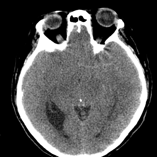
А сагиттальной плоскости нет , случайно ))))
На объем как то тоже не похоже. , сигнал равномерный и такой же как и от ликвора. Если расценивать как последствия ОНМК так это как должно было " рвануть" да еще и с поражением желудочков - не пациент бы вряд ли выжел. Как же сложно в этом к/т ! Не знаю может это глупо, но у меня пока впечатление о врожденной патологии мозга. А с контрастом не делали ? Или вам и так все понятно, Сергей Николаевич , тогда поделитесь мыслями пожалуйста.
Создается впечатление о нехватке/недостатке мозгового вещества.
Для любителей МРТ, наверное, будет и достаточно одного скана, а для изучателей маловато.
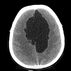
Действительно любопытно! Только сканов мало. Пока мысль о кисте полости межжелудочковой перегородки. Нет ли там где препятствия или изолированная киста?))
https://www.youtube.com/channel/UCBGxoBUOqUT_bFhSeUgtWEw
Эпидермоидная киста?
Я бы может сказала что здесь агенезия мозолистого тела. Как мне не хватает МРТ данных (. Агенезия ? Перегородки. Сергей Николаевич подскажите возраст пожалуйста. Здесь должна быть выраженная неврологическая клиника. Расскажите побольше о пациенте.
А кисту куда девать? Попадалось заключение КТ "Агенезия мозолистого тела" у пациента с кистой прозрачной перегородки.
Эпидермоид может расти, при ТИА может быть случайной находкой. А тут ещё окклюзионная гидроцефалия.
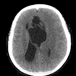
Кстати насчёт шутки. Это же негатив КТ вместо МРТ?
Может, это две межполушарные арахноидальные кисты?
https://www.instagram.com/pediatricradiology/
Вот как в моем наблюдении (правда, там одна киста)
https://www.instagram.com/pediatricradiology/
Сергей Николаевич, сжальтесь))), дайте побольше сканов! А то мы тут такого напридумываем
https://www.youtube.com/channel/UCBGxoBUOqUT_bFhSeUgtWEw
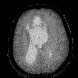
Сравните очертания кист в первом и последнем наблюдениях...
Да, интрига затянулась...
Видать пропустил... Давно выставили наблюдание Ola-la?
Какие необычные картинки. Я бы тоже предположил кисту - эпидермоидную.
2Popovpavel
см выше :)
в пятницу
https://www.instagram.com/pediatricradiology/
Где именно выше?)
Моё сообщение от 15:15
Да, это негатив КТ, специально для Танюши, чтобы проще сориентироватся.
С уважением, С.Н. Нагорный
Больному около 55 лет, клинику дает не сколько само образование, а компрессия структур мозга, базально вообще беда (отчасти видно компреммию некоторых базальных цистерн мозга). Сразу скажу насчет эпидермоидной кисты - ДВИ не будет :)
Однозначно киста, значит, осталось выяснить какая, холестеатома или арахноидальная?
С уважением, С.Н. Нагорный
Я конечно знала что мало что знаю, но еще пару дней на сайте, и я буду думать, что вообще ничего не знаю и не понимаю )
Все-таки лучше сделать МРТ. А то нейрохирурги быстро ножи наточат;)