Госсипибома.

Пол пациента: 
Область исследования: 
Методы исследования: 

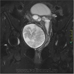
Госсипибома, или текстилома - это название группы осложнений после хирургических вмешательств в результате оставленных в теле пациента инородных предметов. Термин "Госсипибома" состоит из латинского слова gossypium (хлопок) и слова из языка суахили boma (место, где что-то спрятано), по другим данным - греческого "oma" - частицы, обозначающей опухоль. Так или иначе, госсипибома представляет собой матрикс из хлопка, окруженный гранулемой инородного тела. Термин текстилома появился позже и стал использоваться вместо термина "госсипибома", когда в хирургии вместо хлопка начали применять синтетические материалы.

Ж, 35 лет. Состояние после субтотальной гистерэктомии без придатков по поводу осложненных родов около полугода назад. Обратилась на МРТ в связи с болями и неприятными ощущениями в области малого таза.

Вот такая картинка.

  • https://radiomed.ru/sites/default/files/styles/case_slider_image/public/user/1/gp_s2_i11.jpg?itok=wkdJnjF3
  • https://radiomed.ru/sites/default/files/styles/case_slider_image/public/user/1/gp_s3_i11.jpg?itok=7r4RQqHf
  • https://radiomed.ru/sites/default/files/styles/case_slider_image/public/user/1/gp_s4_i11.jpg?itok=YxWp8hxi
  • https://radiomed.ru/sites/default/files/styles/case_slider_image/public/user/1/gp_s5_i11.jpg?itok=BavDPYfW
  • https://radiomed.ru/sites/default/files/styles/case_slider_image/public/user/1/gp_s7_i9.jpg?itok=FwTTyN47
  • https://radiomed.ru/sites/default/files/styles/case_slider_image/public/user/1/gp_s10_i56.jpg?itok=dX6vLALW
  • https://radiomed.ru/sites/default/files/styles/case_slider_image/public/user/1/gp_s11_i8.jpg?itok=5f0ATlwY
  • https://radiomed.ru/sites/default/files/styles/case_slider_image/public/user/1/gp_s13_i40.jpg?itok=1l9LZm8y
ID:13974
Верификация: 
Helios аватар
Не на сайте
Был на сайте: 10 месяцев 2 недели назад
Зарегистрирован: 06.08.2010 - 15:16
Публикации: 4417

Интересный случай.Спасибо.Название красивое.

Катенёв Валентин Львович аватар
Не на сайте
Был на сайте: 7 лет 3 месяцев назад
Зарегистрирован: 22.03.2008 - 22:15
Публикации: 54876

Название "Gossipiboma" - медицинский термин, как реакции организма  на оставленные в результате "интервенции"  ватные тампоны и салфетки.

Какой интересный случай!

Вот иллюстрация с "буржуинского сайта"

 

 

gossipyboma gossipyboma
Катенёв Валентин Львович аватар
Не на сайте
Был на сайте: 7 лет 3 месяцев назад
Зарегистрирован: 22.03.2008 - 22:15
Публикации: 54876

А, вот еще.

a08fig01.jpg

a08fig02.jpg

 

a08fig03.jpg

a08fig04.jpg

Катенёв Валентин Львович аватар
Не на сайте
Был на сайте: 7 лет 3 месяцев назад
Зарегистрирован: 22.03.2008 - 22:15
Публикации: 54876

Оказывается "это явление" не столь редкое?

 

a08fig05.jpg

 

a08fig06.jpg

 

v42n6en_a16fig01.jpg

v42n6en_a16fig02.jpg

v42n6en_a16fig03.jpg

v42n6en_a16fig04.jpg

Николай аватар
Не на сайте
Был на сайте: 2 года 12 месяцев назад
Зарегистрирован: 29.05.2009 - 04:38
Публикации: 554

тихий ужас

Катенёв Валентин Львович аватар
Не на сайте
Был на сайте: 7 лет 3 месяцев назад
Зарегистрирован: 22.03.2008 - 22:15
Публикации: 54876

Аналогичный случай был представлен нашим коллегой Виктором Григорьевичем Стовбой, описан случай выявления "забытой марлевой салфетки" в брюшной полости, при использовании методов классической рентгенологии.

Катенёв Валентин Львович аватар
Не на сайте
Был на сайте: 7 лет 3 месяцев назад
Зарегистрирован: 22.03.2008 - 22:15
Публикации: 54876

Еще пара иллюстраций.

Приложения: 
1.g.figure_toraksder_223_0.jpg2.g.figure_toraksder_223_1.jpg
Катенёв Валентин Львович аватар
Не на сайте
Был на сайте: 7 лет 3 месяцев назад
Зарегистрирован: 22.03.2008 - 22:15
Публикации: 54876

Ещё несколько "не хилых" иллюстраций...

Приложения: 
1.pseudo-fig2.jpg2.pseudo-fig1.jpg3.pseudo-fig4.jpg4.pseudo-fig3.jpg
Helios аватар
Не на сайте
Был на сайте: 10 месяцев 2 недели назад
Зарегистрирован: 06.08.2010 - 15:16
Публикации: 4417

Последние впечатлили особо...

Катенёв Валентин Львович аватар
Не на сайте
Был на сайте: 7 лет 3 месяцев назад
Зарегистрирован: 22.03.2008 - 22:15
Публикации: 54876

Если у кого, что подобное появится, выставляйте...

Вадим Анатольевич аватар
Не на сайте
Был на сайте: 2 года 7 месяцев назад
Зарегистрирован: 25.10.2009 - 10:48
Публикации: 38

Нет снимков, но при скопии салфетка после кесарева в прямой кишке! Людмила Григорьевна может подтвердить.

Вадим Анатольевич аватар
Не на сайте
Был на сайте: 2 года 7 месяцев назад
Зарегистрирован: 25.10.2009 - 10:48
Публикации: 38

 

А у  моего отца (рентгенолога) был случай: в тюрьму спирт проносили так: в презерватив наливался алкоголь, презерватив- в желудок (входило около литра) и презерватив привязывался крепкой ниткой к зубу курьера, на проверке заключённый психанул и откусил нитку, он признался, и его взяли в операционную…

Приложения: 
vlcsnap-181046.jpg
Катенёв Валентин Львович аватар
Не на сайте
Был на сайте: 7 лет 3 месяцев назад
Зарегистрирован: 22.03.2008 - 22:15
Публикации: 54876

К зубу, чтобы попасть в "больничку", на леске, или нитке много чего привязывали..., много было курьёзов с этим "фокусом"...

Вадим Анатольевич аватар
Не на сайте
Был на сайте: 2 года 7 месяцев назад
Зарегистрирован: 25.10.2009 - 10:48
Публикации: 38

А я думал Вас удивить... конечно, привязывали кусочек сала, и через некоторое время у зека - желтуха,и он - на больничку....ещё вдыхали угольную пыль,чтобы уйти на туб. зону...

Катенёв Валентин Львович аватар
Не на сайте
Был на сайте: 7 лет 3 месяцев назад
Зарегистрирован: 22.03.2008 - 22:15
Публикации: 54876

Контакт с УИНом имел довольно давно, лет этак 20 тому, тогда случаи не собирал, а только удивлялся...

Вадим Анатольевич аватар
Не на сайте
Был на сайте: 2 года 7 месяцев назад
Зарегистрирован: 25.10.2009 - 10:48
Публикации: 38

Валентин Львович, а для молодых врачей-рентгенологов было-бы здорово! Если каждый вспомнит по паре случаев... Думаю, хорошо сделать страничку про БАЙКИ! у меня набралось так много...да и у Вас,уверен. Назвать курьёзы или приколы и т.д...

Катенёв Валентин Львович аватар
Не на сайте
Был на сайте: 7 лет 3 месяцев назад
Зарегистрирован: 22.03.2008 - 22:15
Публикации: 54876

Можем сделать УИН-овский набор изображений.

Катенёв Валентин Львович аватар
Не на сайте
Был на сайте: 7 лет 3 месяцев назад
Зарегистрирован: 22.03.2008 - 22:15
Публикации: 54876