Да, интересное наблюдение. С "пролабированием" изолированным, части желудка в грудную полость встречаемся довольно часто, но, чтобы в таком сочетании ...?
Предлагаю назвать этот случай - "Грыжа ПОД - ГЕНЕРАЛ".
Конечно не против, Валентин Львович, распоряжайтеь на свое усмотрение. Постараюсь еще найти и параэзофагеальную да пару- тройку классических, но они...увы..на работе...так что с 4-го....
Очень интересная картинка, но такую картинку может обусловить, отнюдь, не одна патология. А посему, надо "колоться", уважаемый коллега", и выкладывать продолжение...
Извеняюсь с задержкой, проблема с интернетом, данный пациент поступал ещё пол года назад, с предворительным диагнозом: Диафрагмальная грыжа слева? Тотальный гидропневмоторакс слева? Мы просто дали ему рентген-контрастное под контролем скопии.
Его сразу взяли на операционный стол, в протоколе операции: "плевральной полости небольшое количество серозно-геморрагического выпота, легкое коллабировано и частично фиксировано плотными спайками к грудной стенке, в плевральной полости большой сальник, поперечноободочная кишка, желудок, селезенка сращенные с дефектом диафрагмы. Диафрагма прерастянута, истончена в области купола, замещена рубцовыми тканями. Сращения разделены, в кардиальном отделе желудка очаги некроза стенки до 4 см диаметром, на стенке поперечноободочной кишки и нисходящей ободочной кишки странгуляционная борозда белого цвета, истонченная. просвет толстой кишки пуст. Диафрагма рассечена, выполнена проксимальная резекция желудка, резекция поперечноободочной кишки....."
А вот R-контроль после операции:
Окончательно после проведения оперативного вмешательства, диагоноз звучал так : Ущемленная рецидивная грыжа левого купола диафрагмы, некроз желудка, поперечноободочной кишки.
"Знаешь, у некоторых врачей есть комплекс мессии — им необходимо спасать мир. А у тебя комплекс Рубика — тебе необходимо решать головоломки."
А на Ваш взгляд в результате чего, все-таки возникла грыжа - пролабирование жулка в грудную полость?
Кстати, пациенту было 68лет, и в анамнезе он якобы указывает на наличие ранне проведенной операции 1960г. по поводу диафрагмальной грыжи, но дело в том что на кануне перед поступлением к нам, он злоупотреблял алкоголем около 2х недель, поэтому я больше придерживаюсь как следствие травматического воздествие, хотя всё может быть.
"Знаешь, у некоторых врачей есть комплекс мессии — им необходимо спасать мир. А у тебя комплекс Рубика — тебе необходимо решать головоломки."
Я задал этот вопрос, так как считаю, что пол года тому была травма, и не хилая, были и переломы ребер слева, которые видны на снимках, и как следствие пневмоторакс, трансформировавшийся позднее в гидропневмоторакс, я даже допускаю, что был травматический радрыв (разрыв) диафрагмы, что послужило воротами для пролабирования желудка в грудную полость.
К сожелению Валентин Львович остается только гадать, у пациента были после операционные осложнение: расхождение толстокишечного анатомоза, энвентерация, 2хсторонняя пневмония, сепсис, боилогическая смерть.
"Знаешь, у некоторых врачей есть комплекс мессии — им необходимо спасать мир. А у тебя комплекс Рубика — тебе необходимо решать головоломки."
Согласен с Валентином Львовичем, травма конечно была, это и было первопричиной всего...заворот желудка, очевидно, был неполным, потому так долго и тянулась история. При остом завороте через пару суток он остался бы без желудка.....имел несчастье наблюдать молодого пловца, у которого диафрагмальные проблемы и заворот случились после прыжка в бассейн и удара об его стенку, прооперирован был поздно, тотальная резекция желудка....
Еще пример грыжи ПОД в сочетании с язвенной болезнью желудка. Сейчас уже частичное рубцевание. По данным ЭФГДС при поступлении язва была около 2,0*1,5 см....
Да, интересное наблюдение. С "пролабированием" изолированным, части желудка в грудную полость встречаемся довольно часто, но, чтобы в таком сочетании ...?
Предлагаю назвать этот случай - "Грыжа ПОД - ГЕНЕРАЛ".
Согласен! Тем более, что Вы правы...из всего многообразия грыж такую видел всего один раз....
Болезни ног: виды, симптомы, причины, профилактика и лечение
Я с Вашего позволения, заберу этот "случай" в набор на сайте - "Грыжи ПОД"? Вы не против?
Конечно не против, Валентин Львович, распоряжайтеь на свое усмотрение. Постараюсь еще найти и параэзофагеальную да пару- тройку классических, но они...увы..на работе...так что с 4-го....
Болезни ног: виды, симптомы, причины, профилактика и лечение
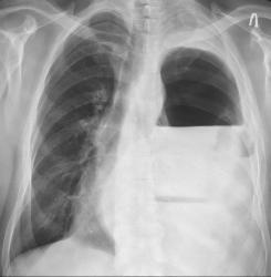
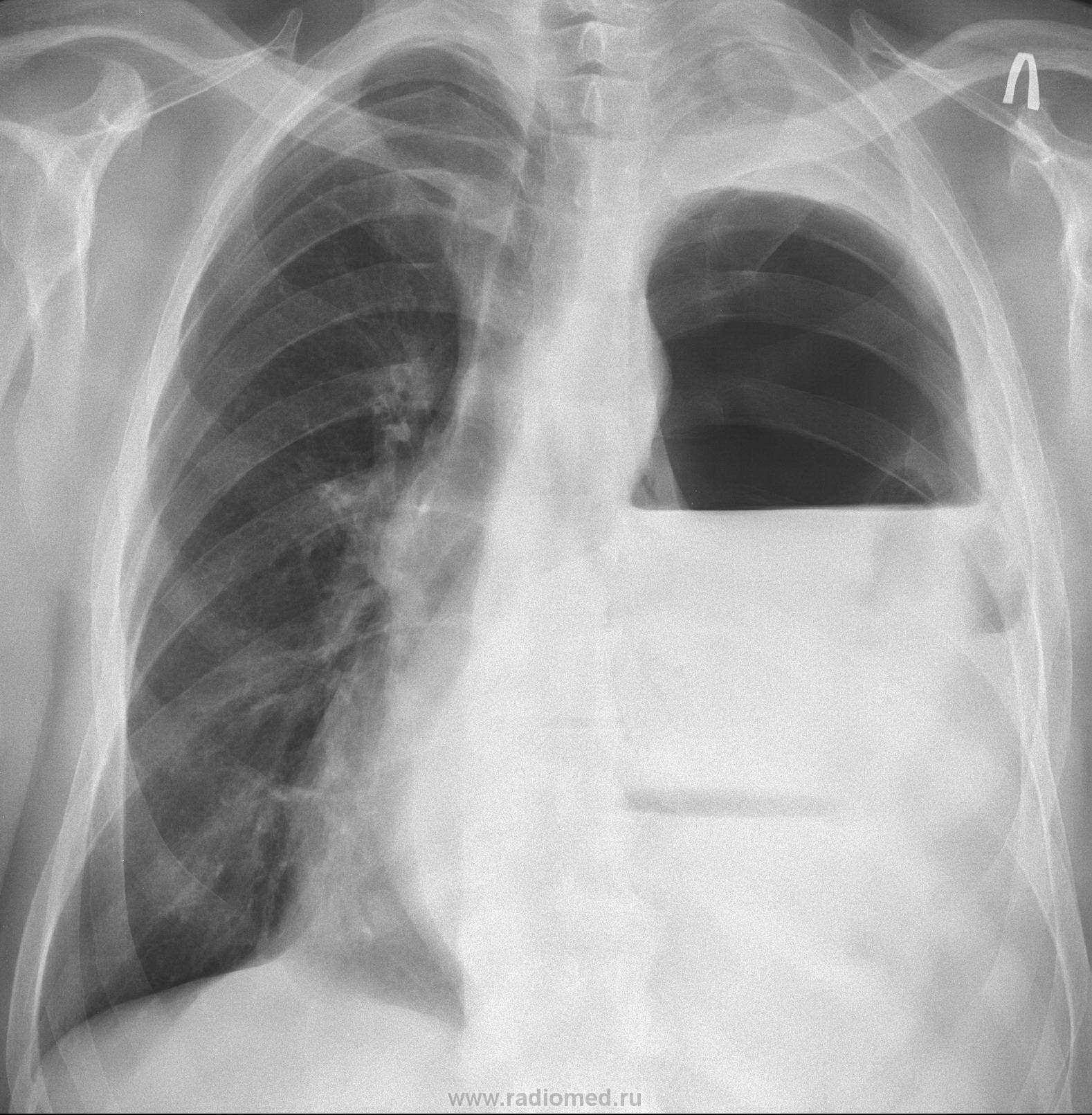
А вот кстати тоже итересный демонстрационный случай:
"Знаешь, у некоторых врачей есть комплекс мессии — им необходимо спасать мир. А у тебя комплекс Рубика — тебе необходимо решать головоломки."
Очень интересная картинка, но такую картинку может обусловить, отнюдь, не одна патология. А посему, надо "колоться", уважаемый коллега", и выкладывать продолжение...
Смею предположить реласацию левого купола диафрагмы и заворот желудка. По крайней мере были подобный случаи (дважды).
Болезни ног: виды, симптомы, причины, профилактика и лечение
Извеняюсь с задержкой, проблема с интернетом, данный пациент поступал ещё пол года назад, с предворительным диагнозом: Диафрагмальная грыжа слева? Тотальный гидропневмоторакс слева? Мы просто дали ему рентген-контрастное под контролем скопии.
Его сразу взяли на операционный стол, в протоколе операции: "плевральной полости небольшое количество серозно-геморрагического выпота, легкое коллабировано и частично фиксировано плотными спайками к грудной стенке, в плевральной полости большой сальник, поперечноободочная кишка, желудок, селезенка сращенные с дефектом диафрагмы. Диафрагма прерастянута, истончена в области купола, замещена рубцовыми тканями. Сращения разделены, в кардиальном отделе желудка очаги некроза стенки до 4 см диаметром, на стенке поперечноободочной кишки и нисходящей ободочной кишки странгуляционная борозда белого цвета, истонченная. просвет толстой кишки пуст. Диафрагма рассечена, выполнена проксимальная резекция желудка, резекция поперечноободочной кишки....."
А вот R-контроль после операции:
Окончательно после проведения оперативного вмешательства, диагоноз звучал так : Ущемленная рецидивная грыжа левого купола диафрагмы, некроз желудка, поперечноободочной кишки.
"Знаешь, у некоторых врачей есть комплекс мессии — им необходимо спасать мир. А у тебя комплекс Рубика — тебе необходимо решать головоломки."
А "тотальный гидропневмоторакс слева" пол года том имел место, в результате чего?
В качестве диф.диагностики Валентин Львович, у пациента была отдышка, общая слабость всё это соправождалось дисфагией.
"Знаешь, у некоторых врачей есть комплекс мессии — им необходимо спасать мир. А у тебя комплекс Рубика — тебе необходимо решать головоломки."
А на Ваш взгляд в результате чего, все-таки возникла грыжа - пролабирование жулка в грудную полость?
Кстати, пациенту было 68лет, и в анамнезе он якобы указывает на наличие ранне проведенной операции 1960г. по поводу диафрагмальной грыжи, но дело в том что на кануне перед поступлением к нам, он злоупотреблял алкоголем около 2х недель, поэтому я больше придерживаюсь как следствие травматического воздествие, хотя всё может быть.
"Знаешь, у некоторых врачей есть комплекс мессии — им необходимо спасать мир. А у тебя комплекс Рубика — тебе необходимо решать головоломки."
Я задал этот вопрос, так как считаю, что пол года тому была травма, и не хилая, были и переломы ребер слева, которые видны на снимках, и как следствие пневмоторакс, трансформировавшийся позднее в гидропневмоторакс, я даже допускаю, что был травматический радрыв (разрыв) диафрагмы, что послужило воротами для пролабирования желудка в грудную полость.
К сожелению Валентин Львович остается только гадать, у пациента были после операционные осложнение: расхождение толстокишечного анатомоза, энвентерация, 2хсторонняя пневмония, сепсис, боилогическая смерть.
"Знаешь, у некоторых врачей есть комплекс мессии — им необходимо спасать мир. А у тебя комплекс Рубика — тебе необходимо решать головоломки."
Согласен с Валентином Львовичем, травма конечно была, это и было первопричиной всего...заворот желудка, очевидно, был неполным, потому так долго и тянулась история. При остом завороте через пару суток он остался бы без желудка.....имел несчастье наблюдать молодого пловца, у которого диафрагмальные проблемы и заворот случились после прыжка в бассейн и удара об его стенку, прооперирован был поздно, тотальная резекция желудка....
Болезни ног: виды, симптомы, причины, профилактика и лечение
Вот те переломы, которые имели место на последнем снимке.
Вот те переломы, которые имели место на последнем снимке.
1. Классическая грыжа ПОД
2. Параэзофагеальная грыжа (вариант)
3. Параэзофагеальная грыжа (вариант)
Конечно, параэзофагеальные грыжи встречаются реже, но клиника, как правило, особенно болевой симптом, выражена более значительно.
Болезни ног: виды, симптомы, причины, профилактика и лечение
Еще пример грыжи ПОД в сочетании с язвенной болезнью желудка. Сейчас уже частичное рубцевание. По данным ЭФГДС при поступлении язва была около 2,0*1,5 см....
Болезни ног: виды, симптомы, причины, профилактика и лечение
Интересный и показательный случай.
Еще одно наблюдение параэзофагеальной грыжи ПОД достаточно больших размеров
Болезни ног: виды, симптомы, причины, профилактика и лечение