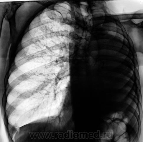
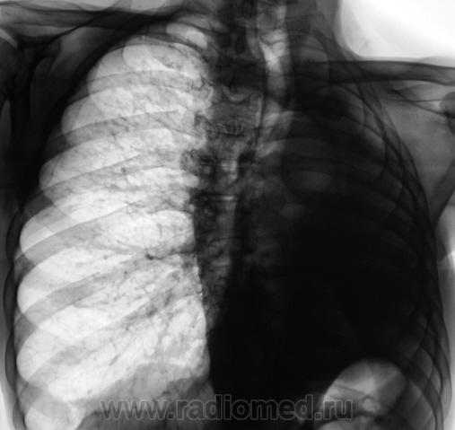
Пациент, заслуженный в прошлом, подданный "Его Величества", 10 лет тому был прооперирован - левосторонняя пульмонэктомия по поводу фиброзно-кавернозного туберкулёза. Вроде-бы все было нормально, время - от времени шел на встречу к работникам фтизиатрической службы, являясь после неоднократных напоминаний, делая им одолжение... Но в последние 3 года пропал. 2 месяца тому был найден, приглашен и явился. Чувствовал себя хорошо, даже не стал возражать против рентгенографии. Но смутили очаги, которых ранее не было в верхней доле правого лёгкого.
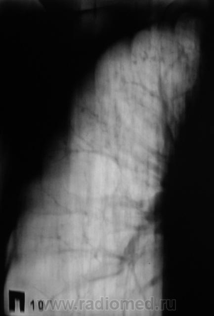
Решили произвести томографию. Но господин "тубарь" всех нас послал, сделав акцент, что он имел очень близкие, интимные отношения не только с нами, но и со всеми нашими родственниками.
Но. оказалась, что Земля круглая. И, вот прижало бедолагу - температура за 40 и прочие прелести.
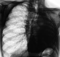
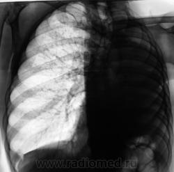
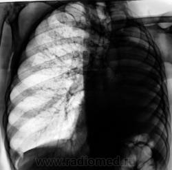
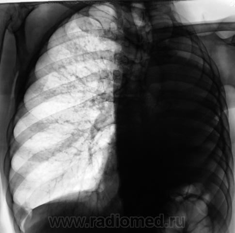
Повторили и "прямую", и произвели томограммы.
Очаговый туберкулез верхней доли?
Tbc, ещё может и в нижней есть засев
--------------
"Просто, по видимости, не видеть логики в очевидных вещах - это тоже одно из свойств некоторых умов, наряду с грустными думами о свойствах ума других." © Vega 08/10/2011
туберкулёз правого лёгкого.
Прийди к Себе
А, не большая-ли площадь для очагового?
.....При гематогенном генезе подострого диссеминированого туберкулеза однотипная очаговая диссеминация локализуется в верхних и кортикальных отделах легких....
Болезни ног: виды, симптомы, причины, профилактика и лечение
Вот-вот - диссеменация..
Виктор.
Очаги крупноваты для диссеминированного Tbc.
--------------
"Просто, по видимости, не видеть логики в очевидных вещах - это тоже одно из свойств некоторых умов, наряду с грустными думами о свойствах ума других." © Vega 08/10/2011
Так не миллиарный же, а просто - дисеминированый...если так посмотреть на вопрос?
Болезни ног: виды, симптомы, причины, профилактика и лечение
Мы тоже склонились в пользу диссеминированного.
Так не миллиарный же, а просто - дисеминированый...если так посмотреть на вопрос?
[/quote]
Согласен, спутал, но тогда не гематогенным путём - сами себе противоречите
.
--------------
"Просто, по видимости, не видеть логики в очевидных вещах - это тоже одно из свойств некоторых умов, наряду с грустными думами о свойствах ума других." © Vega 08/10/2011
Согласен, спутал, но тогда не гематогенным путём - сами себе противоречите
.
[/quote]
Очаги будут мономорфны только при свежей диссеминации, а в динамике какому очагу как повезет:)
Всякое бывает
Болезни ног: виды, симптомы, причины, профилактика и лечение
Важно то, что мы "посылальщика" упаковали. Выставлен диссеминированный туберкулёз.