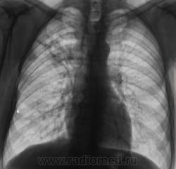
И откуда он берется? Очередной контроль после флюорографии.

Пол пациента: 
Тип патологии: 
Методы исследования: 

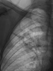
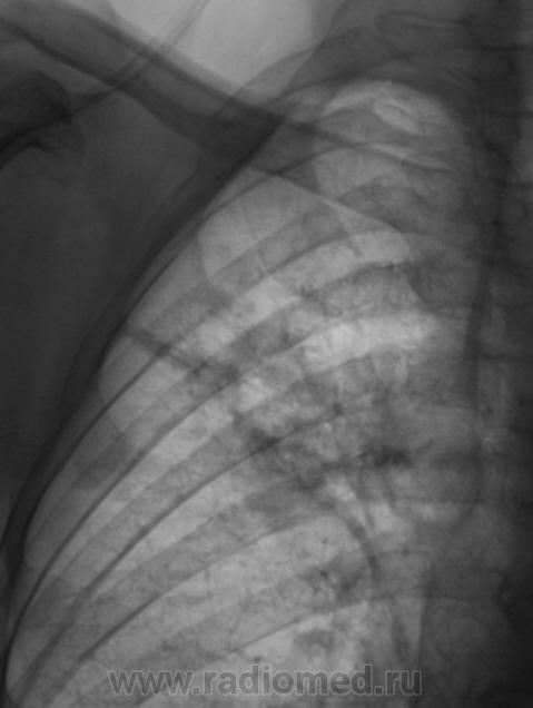
Контроль передвижного флюорографа.

Сегодня дообследовали.

  • https://radiomed.ru/sites/default/files/styles/case_slider_image/public/user/12/22.P5240142.JPG?itok=btGWPZAo
  • https://radiomed.ru/sites/default/files/styles/case_slider_image/public/user/12/23.P5240143.JPG?itok=iueNMboL
  • https://radiomed.ru/sites/default/files/styles/case_slider_image/public/user/12/24.P5240144.JPG?itok=Oe4sM72S
  • https://radiomed.ru/sites/default/files/styles/case_slider_image/public/user/12/25.P5240145.JPG?itok=rVJfM_zk
  • https://radiomed.ru/sites/default/files/styles/case_slider_image/public/user/12/25.P5240146.JPG?itok=3TwVuyyN
ID:4071
DR.RAD аватар
Не на сайте
Был на сайте: 11 лет 9 месяцев назад
Зарегистрирован: 25.03.2009 - 18:22
Публикации: 805

да тубркулеза у Вас хватает!

Vikkur аватар
Не на сайте
Был на сайте: 4 года 8 месяцев назад
Зарегистрирован: 24.09.2009 - 14:34
Публикации: 1749

Но может оказаться и пневмонией..

Виктор.

Катенёв Валентин Львович аватар
Не на сайте
Был на сайте: 7 лет 1 месяц назад
Зарегистрирован: 22.03.2008 - 22:15
Публикации: 54876

Не оказался "пневмонией". Сегодня пришел коллега фтизиатр записать изображения на диск, посылает пациента в ОПТД, палки найдены.

Vikkur аватар
Не на сайте
Был на сайте: 4 года 8 месяцев назад
Зарегистрирован: 24.09.2009 - 14:34
Публикации: 1749

Палки это палки..

Виктор.