И снова...профосмотр...

Пол пациента: 
Методы исследования: 

Женщина. Из другой страны. У родственников в гостях. Решила пройти ФГ. Что скажете, коллеги?

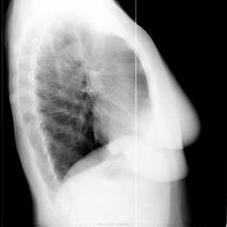
Конечно, как без боковых))))

  • https://radiomed.ru/sites/default/files/styles/case_slider_image/public/user/2667/qw2.jpg?itok=j5ktALig
  • https://radiomed.ru/sites/default/files/styles/case_slider_image/public/user/2667/qw3.jpg?itok=vDYgMnwi
  • https://radiomed.ru/sites/default/files/styles/case_slider_image/public/user/2667/qw4.jpg?itok=mxxPVA9S
ID:17913
stovbav аватар
Не на сайте
Был на сайте: 2 года 8 месяцев назад
Зарегистрирован: 20.12.2009 - 17:28
Публикации: 7066

Вот и позитивчик)))

Приложения: 
qw4.jpg
Катенёв Валентин Львович аватар
Не на сайте
Был на сайте: 7 лет 6 месяцев назад
Зарегистрирован: 22.03.2008 - 22:15
Публикации: 54876

Та, "ОНО" же сзади, на фоне "мягких тканей"

stovbav аватар
Не на сайте
Был на сайте: 2 года 8 месяцев назад
Зарегистрирован: 20.12.2009 - 17:28
Публикации: 7066

Катенёв Валентин Львович wrote:

Та, "ОНО" же сзади, на фоне "мягких тканей"

Все то Вы видите, Валентин Львович....эх, надо было боковушечку поприжать то)))))

Катенёв Валентин Львович аватар
Не на сайте
Был на сайте: 7 лет 6 месяцев назад
Зарегистрирован: 22.03.2008 - 22:15
Публикации: 54876

Нет не надо было придерживать, правильно сделали, что выставили все сразу. Случай интересный, показательный и поучительный.

Ну, а если бы ЗУБР - СТОВБА выставил бы одну проекцию, то всем стало бы понятно, что в боковой проекции собака зарыта. Я, лично просто уверен, что Вы не смогли бы манкировать железный стандарт - прямо и бок, на то Вы и ЗУБР.

stovbav аватар
Не на сайте
Был на сайте: 2 года 8 месяцев назад
Зарегистрирован: 20.12.2009 - 17:28
Публикации: 7066

Новообразование на коже спины, на короткой ножке, внешне не изменено, некоторое покраснение кожи вокруг.

К чести моих лаборантов сказать, "воевали" они вчера с этим образованием без меня (сдавал годовой отчет), но все осмотрели, ощупали, даже пытались вывести на контур, что, с некоторыми оговорками, можно им зачесть)))

Катенёв Валентин Львович аватар
Не на сайте
Был на сайте: 7 лет 6 месяцев назад
Зарегистрирован: 22.03.2008 - 22:15
Публикации: 54876

Отличные снимки, адекватные физико-технические условия "съёмки", ч то свидетельствует и о профессиональном уровне лаборантов. Что случай отличный указывал уже выше, НО хочу добавить, что именно Вами, случай преподнесен максимально корректно.

Большое СПАСИБО!

Игорь Иванович аватар
Не на сайте
Был на сайте: 4 года 3 месяцев назад
Зарегистрирован: 23.01.2010 - 14:56
Публикации: 3695

Гомогенность и четкость при полной индиферентности окружающей легочной ткани говорит о доброкачественности, так что опытного рентгенолога на мякине не проведешь, даже без бокового. Но при желании попить финансов с пациента можно крутить на КТ, МРТ и т.д., лишь бы бабок хватило.

Катенёв Валентин Львович аватар
Не на сайте
Был на сайте: 7 лет 6 месяцев назад
Зарегистрирован: 22.03.2008 - 22:15
Публикации: 54876

А, прямой похож...

Приложения: 
1.bronchial_ca2.jpg
anuta аватар
Не на сайте
Был на сайте: 14 лет 2 месяцев назад
Зарегистрирован: 11.10.2011 - 18:45
Публикации: 46

У нас в таких случаях лаборанты на эти "штучки" что-нибудь металлич. цепляют.

Катенёв Валентин Львович аватар
Не на сайте
Был на сайте: 7 лет 6 месяцев назад
Зарегистрирован: 22.03.2008 - 22:15
Публикации: 54876

А, наши лаборанты, с флюшки, в таких случаях врача-рентгенолога сразу зовут.

Катенёв Валентин Львович аватар
Не на сайте
Был на сайте: 7 лет 6 месяцев назад
Зарегистрирован: 22.03.2008 - 22:15
Публикации: 54876

А, как ресценили снижение прозрачности легочной ткани, помеченное стрелочками уважаемый Виктор Григорьевич?

Приложения: 
11.tenyushka.qw1_.jpg12.tenyushka.qw2_.jpg
Helios аватар
Не на сайте
Был на сайте: 1 год 1 месяц назад
Зарегистрирован: 06.08.2010 - 15:16
Публикации: 4417

Случайно не липома кардио-диафрагмального угла?

stovbav аватар
Не на сайте
Был на сайте: 2 года 8 месяцев назад
Зарегистрирован: 20.12.2009 - 17:28
Публикации: 7066

Helios wrote:
Случайно не липома кардио-диафрагмального угла?

Расценил, как целомическую кисту перикарда...а как мы ее от липомы отдифференцируем в данном случае, только по этим снимкам?

Петрович аватар
Не на сайте
Был на сайте: 7 лет 8 месяцев назад
Зарегистрирован: 22.03.2009 - 01:13
Публикации: 3908

Это – липома, целомическая киста перикарда должна быть плотнее, да и контур диафрагмы здесь размыт, ИМХО.

Неоднозначно всё

stovbav аватар
Не на сайте
Был на сайте: 2 года 8 месяцев назад
Зарегистрирован: 20.12.2009 - 17:28
Публикации: 7066

stovbav wrote:

Helios wrote:
Случайно не липома кардио-диафрагмального угла?

Расценил, как целомическую кисту перикарда...а как мы ее от липомы отдифференцируем в данном случае, только по этим снимкам?

Особо сопротивляться не буду))))), так поворчу сам на себя...для порядку))))

Катенёв Валентин Львович аватар
Не на сайте
Был на сайте: 7 лет 6 месяцев назад
Зарегистрирован: 22.03.2008 - 22:15
Публикации: 54876

stovbav wrote:

stovbav wrote:

Helios wrote:
Случайно не липома кардио-диафрагмального угла?

Расценил, как целомическую кисту перикарда...а как мы ее от липомы отдифференцируем в данном случае, только по этим снимкам?

Особо сопротивляться не буду))))), так поворчу сам на себя...для порядку))))

Не ворчите дорогой Виктор Григорьевич!

Согласен с Петровичем - липома это.

Приложения: 
1._ne_vorchite.qw3_.jpg