Инфаркт

Пол пациента: 
Тип патологии: 
Методы исследования: 

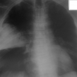
Пациент 1955г.р., асоциальный, поступил по скорой с предварительным диагнозом инфаркт. Снимок был сделан лёжа (бокового не делали)...плюс сфотографирован на телефон (извините за качество). Лёгочный рисунок прослеживается. Пациент умер под утро в реанимации. Что можно заключить в данном случае?

ID:56789
svetlana292929 аватар
Не на сайте
Был на сайте: 4 года 4 дня назад
Зарегистрирован: 18.06.2012 - 13:53
Публикации: 869

Вполне себе инфаркт

THERION аватар
Не на сайте
Был на сайте: 9 лет 10 месяцев назад
Зарегистрирован: 29.10.2014 - 21:18
Публикации: 102

Под инфаркт подходит, треугольная гомогенная интенсивная тень вершиной к корню, основанием к плевре, в проекции S3 правого легкого. ТЭЛА крупной ветви.

Сергей Кузьминов аватар
Не на сайте
Был на сайте: 1 год 4 месяцев назад
Зарегистрирован: 06.10.2012 - 15:51
Публикации: 11813

Инфарктная пневмония.

И.Бондаренко аватар
Не на сайте
Был на сайте: 16 часов 36 минут назад
Зарегистрирован: 13.09.2011 - 22:55
Публикации: 9211

Классически картина инфаркта лёгкого. Наверное нам повезло. Но рентгенологическая картина долго не держится и поймать её удача. Согласен с NIL: нужна боковая, предварительно пневмония. Не исключаю развития абсцесса. Ждём результатов вскрытия.

maker4ik аватар
Не на сайте
Был на сайте: 8 лет 11 месяцев назад
Зарегистрирован: 19.10.2011 - 17:49
Публикации: 2682

Пневмония в 3ке справа. При инфаркте такого размера у асоциального быстрее бы полиция нашла его труп, чем скорая привезла в больницу. А вообще для таких случае существуют истории болезни с объективными данными.

Mila85 аватар
Не на сайте
Был на сайте: 3 года 5 месяцев назад
Зарегистрирован: 15.03.2012 - 16:59
Публикации: 1790

В дифряд можно написать инфаркт-пневмонию

Игорь Иванович аватар
Не на сайте
Был на сайте: 4 года 1 месяц назад
Зарегистрирован: 23.01.2010 - 14:56
Публикации: 3695

Честно скажу - ни разу не написал диагноз ТЭЛА, ирфаркт пневмония, Может быть не вижу, может не знаю и т.д. Допустим тут тромбэмбол в S3 легочной артерии справа. Должен быть увеличен правый желудочек, легочной ствол (2-я дуга слева), до этого обеднение легочного рисунка в данной зоне. А потом наступает  собственно инфаркт при вовлечении в процесс ветви бронхиальной артерии, т.к. от тромбоза ветви легочной артерии инфаркт в принципе наступает. Короче, запутался. Просто пневмонию написал бы. Хотя картинка похожа на инфарктпневмонию согласно книжек.

Almo аватар
Не на сайте
Был на сайте: 2 часа 19 минут назад
Зарегистрирован: 28.09.2008 - 18:50
Публикации: 8299

Не совсем понятно, инфаркт чего лёгкого или миокарда? Думаю, что если не было бы в направительном диагнозе слова  "инфаркт"-большинство рентгенологов вынесло бы заключение о пневмонии.

Dix аватар
Dix
Не на сайте
Был на сайте: 4 года 1 месяц назад
Зарегистрирован: 26.12.2013 - 17:53
Публикации: 1030

Almo, в направительном диагнозе фельдшеров скорой помощи значилось инфаркт миокарда. Когда СМП приехала на вызов, давление пациента было по нолям, в приёмнике - 60/20.

Almo аватар
Не на сайте
Был на сайте: 2 часа 19 минут назад
Зарегистрирован: 28.09.2008 - 18:50
Публикации: 8299

Понял, спасибо! 

Марина Сергеевна аватар
Не на сайте
Был на сайте: 10 месяцев 3 недели назад
Зарегистрирован: 26.04.2011 - 11:56
Публикации: 996

Инфаркт. Снимок, по видимому, лежа? Но насчет S3 в сомнениях, скорее Sax. Достаточно крупное поражение. Насчет признаков легочной гипертензии - пациену около 60 ти, но видимо серьезной кардиопатологи, либо ХОБЛа у него ранее не было? По этому думаю и нет выраженной легочной гипертензии, если было б ЭХО-КГ, можно было бы померять давление непостредственно в ЛА. Я видела случаи с острой массивной ТЭЛА, когла ствол и лег артерии не расширены. Но это у молодых (20-30-40л).Расширение правых отделов средца заподозрить можно. Через сколько времени от начала клиники снимок? что с димерами?

"There is no teacher, who can teach us anything new. He just can help us to remember the things we always knew" (c) Enigma.

Dix аватар
Dix
Не на сайте
Был на сайте: 4 года 1 месяц назад
Зарегистрирован: 26.12.2013 - 17:53
Публикации: 1030

Марина Сергеевна, да, снимок сделан лёжа. Подробного анамнеза пациента к сожалению не знаю. В пределах 1 часа была проведена R-графия. Остаётся ждать результатов вскрытия.

Марина Сергеевна аватар
Не на сайте
Был на сайте: 10 месяцев 3 недели назад
Зарегистрирован: 26.04.2011 - 11:56
Публикации: 996

спасибо за сведения. да, подождем.

"There is no teacher, who can teach us anything new. He just can help us to remember the things we always knew" (c) Enigma.

Dix аватар
Dix
Не на сайте
Был на сайте: 4 года 1 месяц назад
Зарегистрирован: 26.12.2013 - 17:53
Публикации: 1030

Врач с терапии сказала, что на вскрытии подтвердилась пневмония. Инфаркта сердца не было. Так же был поставлен рак гортани, терапевты подняли амб. карту, где значилось что проходил лечение по этому поводу и вроде как успешно. Вот гистология ещё не известно когда будет готова.