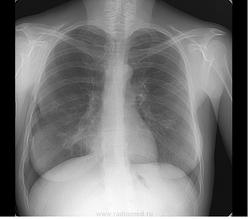
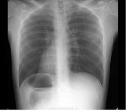
Пол пациента: Мужской пол Тип патологии: Другое Область исследования: Грудная клетка и верхние дыхательные пути Методы исследования: Другие Ж, 1976г. М, 1980 Скорее всего оба случая будут пропущены через туб. диспансер. Хотелось бы услышать ваши предварительные заключения) https://radiomed.ru/sites/default/files/styles/case_slider_image/public/user/5536/klementmd_82009_1.jpg?itok=rsgLS6s_ https://radiomed.ru/sites/default/files/styles/case_slider_image/public/user/5536/klementmd_82010_1.jpg?itok=1UPMmGH6 https://radiomed.ru/sites/default/files/styles/case_slider_image/public/user/5536/klementmd_82008_1.jpg?itok=wyVmKRJh ID:21496 Втр, 29/05/2012 - 22:06 #1 Катенёв Валенти... Не на сайте Был на сайте: 7 лет 3 недели назад Зарегистрирован: 22.03.2008 - 22:15 Публикации: 54876 Если Ж, последние три снимка, то необходима правая боковая томография в срезах 5,7,9 см. Втр, 29/05/2012 - 22:08 #2 Mitkampfer Не на сайте Был на сайте: 11 лет 1 месяц назад Зарегистрирован: 27.07.2010 - 07:43 Публикации: 1454 Ж. - первый снимок. Томография выполняется в тубдиспансере. Не ограничивайте свою мысль Живешь пока учишьсяEcrasez l’infame Втр, 29/05/2012 - 22:09 #3 Катенёв Валенти... Не на сайте Был на сайте: 7 лет 3 недели назад Зарегистрирован: 22.03.2008 - 22:15 Публикации: 54876 Линейная томография выполняется только в туб диспансере? Втр, 29/05/2012 - 22:10 #4 Mitkampfer Не на сайте Был на сайте: 11 лет 1 месяц назад Зарегистрирован: 27.07.2010 - 07:43 Публикации: 1454 ну у нас только цифровой флюорограф на станции) На дальнейшее дообследование отправляем в наш тубдиспансер. Не ограничивайте свою мысль Живешь пока учишьсяEcrasez l’infame Втр, 29/05/2012 - 22:11 #5 Катенёв Валенти... Не на сайте Был на сайте: 7 лет 3 недели назад Зарегистрирован: 22.03.2008 - 22:15 Публикации: 54876 А. что за "станция"? Втр, 29/05/2012 - 22:12 #6 Mitkampfer Не на сайте Был на сайте: 11 лет 1 месяц назад Зарегистрирован: 27.07.2010 - 07:43 Публикации: 1454 флюоростанция Не ограничивайте свою мысль Живешь пока учишьсяEcrasez l’infame Втр, 29/05/2012 - 22:19 #7 Катенёв Валенти... Не на сайте Был на сайте: 7 лет 3 недели назад Зарегистрирован: 22.03.2008 - 22:15 Публикации: 54876 Понятно. И, Вы работаете только на флюоростанции, или еще в рентгенодиагностике? Втр, 29/05/2012 - 22:22 #8 Mitkampfer Не на сайте Был на сайте: 11 лет 1 месяц назад Зарегистрирован: 27.07.2010 - 07:43 Публикации: 1454 На флюоростанции я совмещаю. но мы отвлеклись от темы) Не ограничивайте свою мысль Живешь пока учишьсяEcrasez l’infame Втр, 29/05/2012 - 22:24 #9 Катенёв Валенти... Не на сайте Был на сайте: 7 лет 3 недели назад Зарегистрирован: 22.03.2008 - 22:15 Публикации: 54876 Флюорограмма есть, патология есть, слово за томографией (в рентгеновском векторе). Втр, 29/05/2012 - 22:32 #10 Nikolas Не на сайте Был на сайте: 2 месяцев 9 часов назад Зарегистрирован: 21.12.2010 - 20:37 Публикации: 4559 случайные? Втр, 29/05/2012 - 22:42 #11 И.Бондаренко Не на сайте Был на сайте: 2 дня 6 часов назад Зарегистрирован: 13.09.2011 - 22:55 Публикации: 9206 В первом случае может что-то похуже выскочит. Во втором, в ПТД, возможно и пневмония. Ср, 30/05/2012 - 06:50 #12 Vikkur Не на сайте Был на сайте: 4 года 8 месяцев назад Зарегистрирован: 24.09.2009 - 14:34 Публикации: 1749 Ж архив, может и пост. измен, М в ПТД Виктор. Ср, 30/05/2012 - 13:20 #13 stovbav Не на сайте Был на сайте: 2 года 2 месяцев назад Зарегистрирован: 20.12.2009 - 17:28 Публикации: 7066 У Ж еще и 7-8-е ребра справа сломаны, причем - не очень давно)))) Болезни ног: виды, симптомы, причины, профилактика и лечение Ср, 30/05/2012 - 19:23 #14 Вылегжанина Юли... Не на сайте Был на сайте: 11 лет 5 месяцев назад Зарегистрирован: 15.05.2012 - 22:09 Публикации: 55 томография и направление в туб диспансер ,но там скорее всего поставят пневмонию и контроль после лечения Вылегжанина Юлия Ср, 30/05/2012 - 20:05 #15 Nikolas Не на сайте Был на сайте: 2 месяцев 9 часов назад Зарегистрирован: 21.12.2010 - 20:37 Публикации: 4559 комментарий, но не уверен в получении конечного результата, чтобы проверить правильность высказанных суждений. Ср, 30/05/2012 - 21:26 #16 Mitkampfer Не на сайте Был на сайте: 11 лет 1 месяц назад Зарегистрирован: 27.07.2010 - 07:43 Публикации: 1454 обоих направил в тубдиспансер результат должен быть. У Ж. плохой анамнез - наркомания, состояла на учете в ПТД какое то время, тбс не обнаружилось. У М. - нет жалоб. Не ограничивайте свою мысль Живешь пока учишьсяEcrasez l’infame Ср, 30/05/2012 - 21:43 #17 Mitkampfer Не на сайте Был на сайте: 11 лет 1 месяц назад Зарегистрирован: 27.07.2010 - 07:43 Публикации: 1454 stovbav wrote: У Ж еще и 7-8-е ребра справа сломаны, причем - не очень давно)))) согласен) +9 Не ограничивайте свою мысль Живешь пока учишьсяEcrasez l’infame
Если Ж, последние три снимка, то необходима правая боковая томография в срезах 5,7,9 см.
Ж. - первый снимок. Томография выполняется в тубдиспансере.
Не ограничивайте свою мысль
Живешь пока учишься
Ecrasez l’infame
Линейная томография выполняется только в туб диспансере?
ну у нас только цифровой флюорограф на станции) На дальнейшее дообследование отправляем в наш тубдиспансер.
Не ограничивайте свою мысль
Живешь пока учишься
Ecrasez l’infame
А. что за "станция"?
флюоростанция
Не ограничивайте свою мысль
Живешь пока учишься
Ecrasez l’infame
Понятно. И, Вы работаете только на флюоростанции, или еще в рентгенодиагностике?
На флюоростанции я совмещаю. но мы отвлеклись от темы)
Не ограничивайте свою мысль
Живешь пока учишься
Ecrasez l’infame
Флюорограмма есть, патология есть, слово за томографией (в рентгеновском векторе).
случайные?
В первом случае может что-то похуже выскочит. Во втором, в ПТД, возможно и пневмония.
Ж архив, может и пост. измен, М в ПТД
Виктор.
У Ж еще и 7-8-е ребра справа сломаны, причем - не очень давно))))
Болезни ног: виды, симптомы, причины, профилактика и лечение
томография и направление в туб диспансер ,но там скорее всего поставят пневмонию и контроль после лечения
Вылегжанина Юлия
комментарий, но не уверен в получении конечного результата, чтобы проверить правильность высказанных суждений.
обоих направил в тубдиспансер результат должен быть. У Ж. плохой анамнез - наркомания, состояла на учете в ПТД какое то время, тбс не обнаружилось. У М. - нет жалоб.
Не ограничивайте свою мысль
Живешь пока учишься
Ecrasez l’infame
согласен) +9
Не ограничивайте свою мысль
Живешь пока учишься
Ecrasez l’infame